查看更多
密码过期或已经不安全,请修改密码
修改密码
壹生身份认证协议书
同意
拒绝
同意
拒绝
同意
不同意并跳过
肠套叠(Intussusception),是儿童早期最常见的急腹症,指近端肠段(套入部)内陷入远端肠段(鞘部),约90%发生在回盲部,为回盲型,即回肠套入盲肠之中(并随之套入升结肠),其余的还有回肠-结肠型、结肠-结肠型、小肠-小肠型等。超过90%的肠套叠是没有病理导点(Lead Point)的,有学者认为可能与回肠末端增生扩张的淋巴滤泡有关,其余患儿的导点可为梅克尔憩室、肠息肉、肠重复囊肿、肠壁内血肿形成、淋巴瘤等。

图1 肠套叠的病理分型
肠套叠最常见于3个月至3岁的儿童,发病高峰在5~9个月之间,75%的儿童年龄在2岁以下。肠套叠的经典临床表现为阵发性腹痛、呕吐、果酱样大便(含血液和黏液)和可触及的腹部包块。
在超声上,肠套叠短轴表现为高低回声交替的环状结构,呈同心圆征、甜甜圈征、靶环征,黏膜及黏膜下层回声明显,呈高回声,而肌层呈低回声;直径可大于3cm;肠套叠长轴表现为套袖征、假肾征,特征为交替出现的高低回声带。此外,往往还可发现一些与肠套叠相关的其他表现,如梗阻部位近端小肠扩张、周边积液和负责供血的肠系膜血管位置异常、倒置等。
有时,我们还可在套入部观察到导点,即导致肠套叠发生的病变,多表现为低回声,可为肠重复囊肿、肠息肉、梅克尔憩室、肠壁内血肿或肿大淋巴结等。然而,更重要的是,要意识到困在肠套叠肠系膜周边的积液也是低无回声的,有时容易误认为是囊肿或病灶。此外,若同时腹腔出现大量腹腔积液,透声差,伴碎屑样回声时,应想到合并肠穿孔的可能。
CDFI显示肠壁内存在血流信号,提示肠套叠的可复性高,患儿肠管的存活率高,而无血流信号则表明肠管缺血的可能性较高,可复性较低。有文献指出,受累肠壁厚度大于1cm、套入部被困的积液量大和套入部存在直径大于1cm的淋巴结,均提示该肠套叠的可复性较低。
肠套叠的传统治疗方法是在X线引导下气灌肠复位或造影剂灌肠复位,如今超声也已用于引导复位,效果良好。超声可以动态地观察到灌注的气体或造影剂沿肠管流动,直至套叠处肠管完全疏通,回盲部、回肠末端充满空气或造影剂为止。此外,CDFI还可以通过显示造影剂流动通过回盲瓣时所产生的混叠射流来确认肠套叠复位成功。
另外,肠套叠自发性复位是一种众所周知的现象,超声有时还可捕捉到整个自发性复位的过程。但由于这个现象的存在,我们超声大夫在和患儿家长、儿科大夫交代病情时,一定要仔细说明情况,而尽量避免患儿往上级医院处理时肠套叠无故“消失”而对自己造成不必要的纠纷。总而言之,沟通是关键。
超声是诊断肠套叠的利器,敏感性95%~100%,特异性88%~100%,为临床所信赖。但也要注意与肠内容物如粪便、炎症性肠病和肠壁内血肿等相鉴别,仔细观察是否存在真的存在肠套叠,好提示给临床重要而准确的信息。

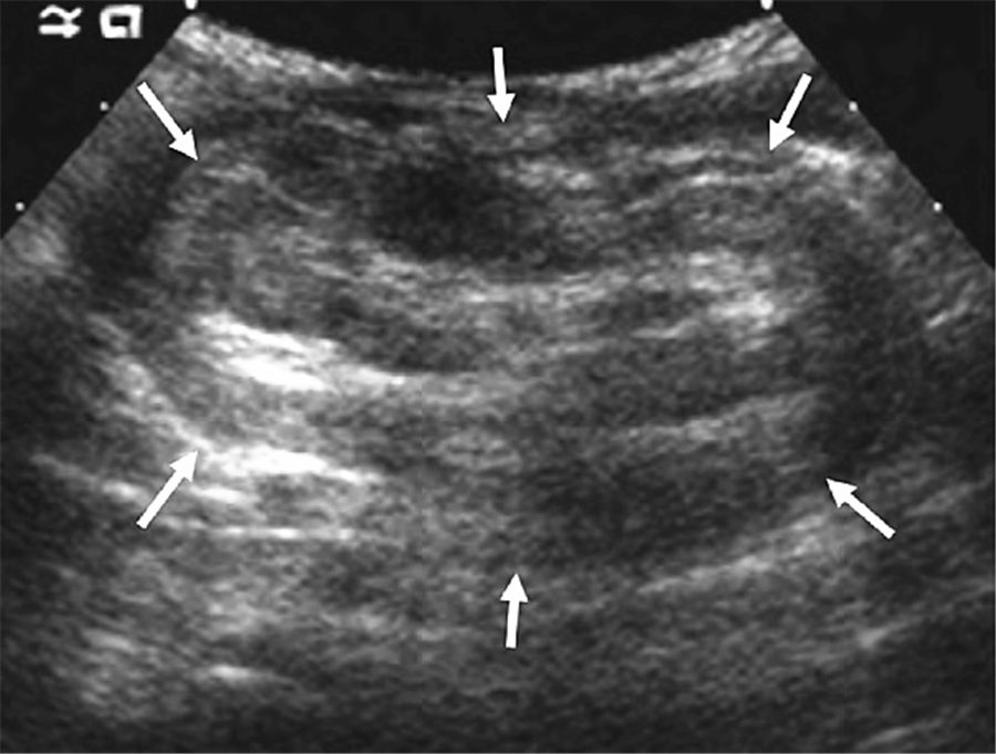
图2 肠套叠。黑色箭头所示为水肿的鞘部。白色箭头所示为套入部,套入部内可见淋巴结和脂肪样高回声

图3 肠套叠。短轴,同心圆征,套入部内可见肠系膜样高回声,呈新月状

图4 肠套叠。长轴,套袖征

图5 肠套叠。套入部可见多枚淋巴结

图6 肠套叠。箭头所示为套入部内被困住的积液,箭头所示。手术证实为梅克尔憩室所致肠套叠

图7 肠套叠。手术证实为Burkitt淋巴瘤所致


图8-9 肠套叠。手术证实为幼年型息肉所致,箭头所示

图10 肠套叠。箭头所示为梅克尔憩室所致的小肠肠套叠

图11 暂时性小肠肠套叠。可见鞘部肠壁较薄、清晰,回声也较高,套入部长度较短

图12 暂时性小肠肠套叠。动态观察有时可见套入部“进进出出”,患儿无症状

图13 肠套叠。CDFI显示套入部、鞘部肠壁可见血流信号,预示可复位。本例患儿复位成功,无并发症

图14 肠套叠。CDFI显示套入部、鞘部肠壁未见明显血流信号。手术切除坏死肠管

图15 肠套叠。短轴,靶环征,套入部(C)回声较高,鞘部(箭头所示)回声较低

图16 肠套叠。长轴,假肾征,箭头所示

图17 肠套叠。箭头所示为低回声鞘部,高回声套入部(C)内可见低回声结节(△所示),考虑为肠套叠的导点,后经手术证实为错构瘤。近端肠管扩张(B)

图18 肠套叠。箭头所示为鞘部,I为套入部,M为导点,后经手术证实为突入的梅克尔憩室

图19 肠套叠。箭头所示为鞘部,I为套入部,△所示为导点,后经手术证实为肠重复畸形

图20 肠套叠。箭头所示为鞘部,可见套入部内被困住的积液(F),有时不易与囊肿相鉴别

图21 肠套叠。CDFI显示鞘部、套入部内均可见血流信号,提示可复位。该患儿经气灌肠复位成功,无并发症

图22 肠套叠。CDFI显示套叠肠管内局部无明显血流信号,箭头所示,考虑存在肠坏死可能。手术探查证实存在肠坏死,病理导点为一枚息肉

图23 被误认为肠套叠的炎症性肠病,箭头所示。气灌肠时显示仅肠壁增厚,无肠套叠。细菌培养为大肠杆菌

图24 被误认为肠套叠。手术证实为阑尾炎穿孔继发的周边小肠壁增厚,形似肠套叠
来源:小于大夫的超声角
查看更多