查看更多
密码过期或已经不安全,请修改密码
修改密码
壹生身份认证协议书
同意
拒绝
同意
拒绝
同意
不同意并跳过


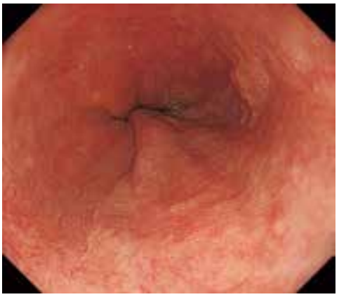
普通白光观察到一长约6 cm的平坦发红区域,从胸部下段食管延伸到腹部食管,表面黏膜粗糙。在其肛侧的右壁,见一约15 mm的发红隆起性病变。

近距离观察见蒂部较细,隆起黏膜表面呈乳头、颗粒状改变。

食管蠕动时,蒂部容易向肛侧伸展,且蒂部变低平,提示蒂部非常软。

胃底倒镜下观察,黏膜表面呈均一的乳头、颗粒状隆起。从隆起明显,隆起黏膜表面呈乳头、颗粒状,有蒂,蒂很软来看,浸润深度通常比0-Is型隆起性病变的浸润深度减浅一级,考虑本病变的浸润深度为Tla-MM。

NBI放大观察见隆起表面凹凸不平,呈大小均一的乳头、颗粒状改变,内部有环状血管聚集,考虑为B1型血管。这些被认为是鱼子状形态的B1型血管。

蒂部与周围平坦部同样呈点状的B1型血管,也可以确认部分非肿瘤性上皮。

通过碘液染色可以看到全周性不染区域,隆起部也同样呈现不染。稍微吸气,隆起性病变周围的平坦部分黏膜能观察到榻榻米征,而在隆起处观察不到。需要注意的是,当隆起性病变隆起较高时,肿瘤即使没有浸润到黏膜肌层,由病变较高的厚度导致无法观察到榻榻米征样改变的情况也多见。
食管鳞状细胞癌,0“Ⅱc”+Ⅰp+Ⅱb,T1a-LPM,ly(-),v(-),HM0,VM0,56mm×60mm,pCurA,Lt,Ae。

在隆起部分的切片13病理图像中,肿瘤组织和黏膜肌层(黑色虚线)上抬了黏膜层,黏膜下层组织构成增多,白色虚线处放大观察见黏膜固有层浸润,呈高中分化型鳞状细胞癌(SCC),并没有浸润到黏膜肌层,浸润深度为T1a-LPM。
本文摘自《食管癌ESD术前诊断》
活动页面累计签到4天获半年数字报
活动页面累计签到8天获1年数字报
活动页面累计签到15天同时阅读所有本书荐读章目者获实体书抽奖机会
[抽奖说明:本次活动抽奖名额根据书籍情况不同,本书抽奖限额1名,获奖者免费获赠《食管癌ESD术前诊断》实体书

查看更多