查看更多
密码过期或已经不安全,请修改密码
修改密码
壹生身份认证协议书
同意
拒绝
同意
拒绝
同意
不同意并跳过
< 病情回顾 >
诊疗经过
病情评估和初始治疗
进一步完善相关系统辅助检查,评估病情:① 7月20日G试验阳性,7月22日复查G试验仍为阳性。② 完善肿瘤系列、风湿系列及ANCA相关指标检查,均为阴性,排除大动脉炎可能。③再次行双侧血培养,结果为葡萄牙念珠菌,对棘白菌素和三唑类药物敏感。
抗细菌治疗:比阿培南0.6 g q12h。
控制心室率,改善心肌代谢。
营养支持、卧床并发症预防深静脉血栓形成。
完善检查及调整治疗
结合患者病史、辅助检查及病原学,给予卡泊芬净70 mg ivdrip st(首剂),50 mg ivdrip qd(维持)。需进一步明确感染部位,同时观察卡泊芬净的治疗效果。
患者有发热,同时伴有神经系统症状。入院后(2022年7月20日)完善颅脑CT+胸主动脉血管CTA检查,结果显示:右顶叶小出血灶,左颈总动脉及头臂干根部狭窄、头臂干近段内壁小充盈缺损,考虑小栓子形成。7月21日经食道超声示心脏各瓣膜听诊区未见明显赘生物。请心胸外科会诊,无法再次手术清除感染源。
鉴于之前治疗效果不甚理想,调整治疗方案为卡泊芬净:50 mg ivdrip qd(维持);氟康唑:800 mg ivdrip st(首剂),400 mg ivdrip qd(维持)。
易累及部位筛查
IDSA指南建议,所有念珠菌血症患者均应扩瞳行视网膜检查,最好由眼科医生进行,对于非中性粒细胞减少的患者,应于1周内进行,以确定是否存在眼内炎(强推荐,低级别证据)。
遂予患者进一步眼底照相和光学相干断层成像(OCT)检查。结果显示:右侧眼底:视盘界清色淡,视网膜动脉纤细,视网膜静脉迂曲、扩张,黄斑周围及眼底周边多处软性渗出及圆片状出血,可见Roth斑。

眼底照相图
眼科超声:右侧视网膜血管迂曲,全网膜可见斑片状、点状高荧光,随时间渗漏,小片状荧光遮挡,未见明显荧光渗漏。诊断印象:视网膜血管炎(右侧)炎性?感染性?
眼底荧光造影:右眼玻璃体腔内可探及细小点状的弱回声光点,聚集成片,其内可见团状、条状的强回声光斑,不与球壁光带相连,动度后运动(+)。诊断印象:右眼玻璃体浑浊,性质?
念珠菌眼内炎—伏立康唑眼内注射
根据《中国成人念珠菌病诊断与治疗专家共识》推荐,2022年7月25日患者于局麻下行右眼前房穿刺+玻璃体腔注药术,于鼻下角膜缘后4 mm穿刺入玻璃体,注射伏立康唑0.1 mg/0.1 ml。
崔俊昌教授:本例患者检出的葡萄牙念珠菌对棘白菌素或三唑类药物非常敏感,但在药物选择上,眼内炎的治疗可能与血流感染不完全相同,这就涉及药物穿透性的问题。该患者除了眼内炎,还有颅内感染,可能眼科医生认为棘白菌素的穿透性不好,才会调整为氟康唑。棘白菌素在颅内的浓度非常低,基本上不能透过血脑屏障,两性霉素B透过血脑屏障的能力也很差。氟康唑和伏立康唑的血脑屏障穿透率非常高,氟康唑可能超过50%,在脑脊液中的浓度>50%,而棘白菌素类可能<5%。如果考虑患者的病灶,选择氟康唑或伏立康唑会更好。从经济学角度出发,氟康唑是首选,剂量要大;如果联合用药,可选5-氟胞嘧啶,因为这两个药物血脑屏障穿透性都较好。颅内病灶可能与患者的预后密切相关。下一步可通过心脏超声再重点观察一下心内膜,排查感染性心内膜炎。
Doctor X:目前我也没有把握胸部CTA发现的小栓子是否为原发病灶。对于念珠菌血症,其治疗疗程并不统一,需要依据血培养转阴的时间以及原发病灶的清除来决定抗真菌治疗的疗程。所以对于该患者寻找原发灶非常重要。个人认为后续仍需要监测,通过监测治疗后菌栓的大小变化以及一些无创手段监测菌栓的变化,来帮助我们间接判断此处是否为原发灶。眼内炎分为内源性和外源性两种,治疗效果以及患者预后存在一定差异。内源性眼内炎发病是从后向前,从视网膜、脉络膜逐渐向玻璃体及角膜侵袭,而外源性眼内炎是从前向后发展。所以在选择抗生素时,对于内源性眼内炎,要考虑使用全身性治疗血流播散的抗生素,同时监测视网膜及脉络膜前的玻璃体、角膜、晶状体等有无异常,然后再评估是否结合腔内注射。本例患者后续可以继续监测玻璃体的情况。该患者单用棘白菌素可能存在组织浓度不足的问题,个人认为可以联合氟康唑。如果需要,可以进行房水和玻璃体的微生物检查。
孙恩华教授:怀疑念珠菌或真菌感染时,眼科会送检角膜刮片、房水、玻璃体进行真菌涂片和培养,我们实验室一般做涂片和免疫荧光染色,阳性率非常高。如果评估疗效,可以做血培养,此外还可以做G试验以及念珠菌抗原抗体检测,都可以评估抗真菌治疗的效果,以及进行动态观察。
病情变化
治疗后,7月24日7:13患者突发全身抽搐,呼之不应,抽搐持续时间约为1 min,心电监护显示心率145次/min,血压170/85 mmHg。血气分析示pH 7.23,PaO2 150 mmHg;Na+ 143 mmol/L,K+ 3.3 mmol/L,Ca2+ 1.30 mmol/L,Glu 6.0 mmol/L,Lac 8.9 mmol/L。考虑代谢性酸中毒可能。予以5%碳酸氢钠100 ml静滴,氯化钾2 g口服。7:20患者神志清醒,加强监护。
请神经内科急会诊,考虑为症状性癫痫发作,加用吡拉西坦和左乙拉西坦。进一步完善颅脑平扫+强化及腰椎穿刺检查。完善脑脊液检查,脑脊液常规球蛋白阳性,白细胞45×106,红细胞0,单核细胞比例为8.2%,多核细胞比例为91.8%。脑脊液生化未见明显异常。免疫球蛋白IgG和IgA升高,脑脊液mNGS检查阴性。MRI结果:右侧额、顶、枕叶及右侧小脑见多发小点片状、线条形、环形强化灶,较大病变呈长T1长T2信号,DWI呈高信号。结合病史,考虑脑内及脑膜局灶性感染灶。将氟康唑400 mg qd调整为800 mg qd。

MRI检查(红色箭头所指为病变部位)
讨论三:
神经系统念珠菌感染有何典型临床表现和实验室检查?其抗真菌药物应用有何不同?
专家讨论
崔俊昌教授:呼吸科医生在临床可能见得比较多的是诺卡菌和曲霉的颅内感染,神经系统念珠菌感染我们确实没有这方面的经验。曲霉和诺卡菌颅内感染后部分患者没有症状。这例患者出现了神经系统的症状,如抽搐、头痛等,常规筛查还是要做的。如果是脑实质的问题,脑脊液检查可能会出现阴性。
Doctor X:我们之前也没有遇到类似的患者,MRI检查所示病灶似乎都在右侧,胸主动脉血管CTA提示头臂干有小栓子形成,可能病原体并未侵袭脑脊液,因此在脑脊液中并未发现太多问题。考虑念珠菌脑膜炎的症状可能与急性细菌性脑膜炎有相似之处,如发热、颈强直、神志改变、头痛等。血流播散患者也可能合并其他播散征象。个人认为脑脊液中分离出念珠菌可能才是念珠菌脑膜炎的诊断金标准。该患者脑脊液中似乎也不是以中性粒细胞增多为主,所以脑膜炎的诊断是否成立?或者只是血流播散通过大脑中动脉直接上行而导致颅内的菌栓,进而形成梗死灶,可能引起周边出血。除了棘白菌素类药物,三唑类药物(氟康唑、伏立康唑)在脑脊液中的浓度均较高,所以这些药物用于治疗应该没有问题。
罗毅锋教授:通过血流播散发生中枢神经系统真菌感染在临床上的发生率确实不高。临床上我们可能更容易见到脑外科手术患者发生真菌颅内感染,在脑脊液中培养出念珠菌。中枢神经系统念珠菌感染可能与中枢神经系统感染类似,可能分为脑膜炎、脑膜脑炎、脑炎、脑脓肿等情况,临床表现和影像学可能都会有比较大的差异。如果是脑膜炎,个人认为应该主要以脑膜刺激征为主要表现。如果是脑脓肿,其临床表现以及定位表现可能与脓肿发生的位置有关。这例患者脑脊液常规、生化及mNGS都没有找到念珠菌,患者颅内也有多发的小斑片状病灶,我比较倾向于可能还是菌栓脱落后进入颅内,然后出现局部栓塞,导致局部病变。葡萄牙念珠菌应该不是毒性很强、坏死性炎症很严重的病原体,所以患者颅内并没有出现大片坏死及脑脓肿的表现。在脑膜也是一些局部表现,我也比较倾向脑膜一些供血的小血管可能有菌栓脱落,形成局部改变,而不是弥漫性的脑膜炎。抗真菌药物的选择,主要看药物透过血脑屏障的能力,首先棘白菌素类不考虑,三唑类药物中的伊曲康唑也不考虑,氟康唑、伏立康唑和艾沙康唑透过血脑屏障的能力较好。两性霉素B脂质体透过血脑屏障的能力优于两性霉素B去氧胆酸盐,该药也可用于中枢神经系统真菌感染。此外,5-氟胞嘧啶也可选用。
孙恩华教授:对于无菌体液(如血液、脑脊液、胸/腹水)培养出念珠菌,一般我们就怀疑其是致病菌。痰培养如果发现念珠菌,一般要考虑通过痰涂片判断标本是否合格,如果不合格就不予考虑。如果纯培养在镜下没有看到其他细菌,有大量念珠菌,有时白细胞还可能吞噬孢子,我们一般会去做进一步的鉴定及药敏试验,从实验室的角度提示临床考虑念珠菌感染可能。临床也要结合患者症状体征及其他影像学等检查,进一步判断是否为念珠菌感染。
调整治疗方案
相关指南和文献显示,氟胞嘧啶在脑组织、脑脊液和眼内浓度均优于卡泊芬净;对于眼内炎或脑膜炎可选用氟胞嘧啶进行治疗。结合我院葡萄牙念珠菌药敏试验结果,其对氟胞嘧啶敏感。故调整治疗方案为氟康唑800 mg qd,氟胞嘧啶2.5 g q8h。患者WBC一直不高,PCT基本正常,细菌感染证据不充分,将比阿培南改为哌拉西林他唑巴坦4.5 g q8h。
眼科复查
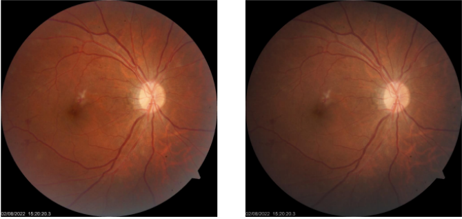
患者出院前复查眼底照相,片状出血及渗出较前明显减少,动脉较前改善,视网膜动脉纤细较前改善。

右眼眼底照相复查(2022-08-02)
患者住院当日和出院时手掌对比,患者出院当日右手散在褐色斑点消失。

患者住院当日和出院时手掌对比
后续随访
患者住院期间治疗节点如图所示。患者出院后于当地医院继续治疗,8月24日复查颅脑MRI异常强化病灶消失,9月5日复查眼底照相+OCT,恢复良好。因感染灶无法祛除,建议氟康唑长期用药。
患者住院期间治疗节点
汇报:赵继萍
单位:山东大学齐鲁医院
本文转发自重症肺言


点点分享吧
查看更多