查看更多
密码过期或已经不安全,请修改密码
修改密码
壹生身份认证协议书
同意
拒绝
同意
拒绝
同意
不同意并跳过
CT对肺部感染疾病诊断非常重要~
今天来学习肺孢子菌肺炎影像~

患者男,40岁,工人,既往曾行“阑尾切除术”,曾有冶游史,无家族遗传病史。
因“胸闷、气短伴发热1周”入院。患者入院前1周出现胸闷、气短伴高热,热峰达39.0℃,伴有咳嗽,少痰,无胸痛、咯血、头晕、头痛、腹痛、腹泻等不适。
体温37.5℃,脉搏 127次/分,呼吸28次/分,血压127/87mmHg ,神志清,浅表淋巴结未触及肿大。双肺呼吸音减弱,未闻及干湿啰音。HR127次/分,律齐,各瓣膜听诊区未闻及病理性杂音。腹部查体(-)。
血常规 白细胞计数:12.97×109/L,中性粒细胞10.84×109/L,中性粒细胞比例 83.60%,淋巴细胞1.29×109/L,淋巴细胞比例9.90%,单核细胞0.67 ×109/L,单核细胞比例5.2%。
感染指标 CPR 77.84 mg/L;IL-6 162 pg/L;PCT 0.25 ng/ml;ESR 55 mm/h。
血气分析 PH 7.448,PCO2 34.9 mmHg,PO2 64.7 mmHg,BE 0.5 mmol/L,FiO2 37.0%。
淋巴细胞计数 CD4淋巴细胞计数31个/μl。
分子生物学检查 HIV-RNA:2.11e+6 IU/ml;血病原微生物DNA基因检测 耶氏肺孢子菌221序列数;痰巨细胞病毒DNA(基因扩增法) 2.26e+4 copies/ml。肺泡灌洗液巨细胞病毒DNA(基因扩增法):1.75e+4 copies/ml。
免疫学检查 人类免疫缺陷病毒1或2型抗体:阳性42.5 s/co。
病理学检查 肺泡灌洗液:六胺银染色可见中量肺孢子菌包囊。
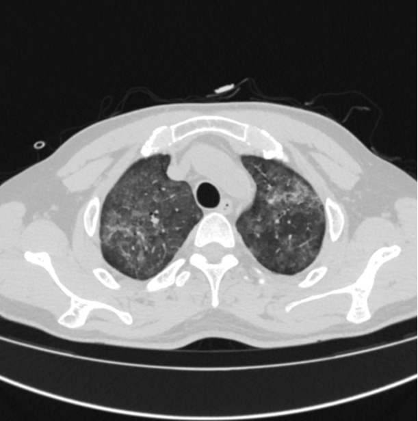
影像学检查 图1~4胸部CT均可见双肺弥漫性磨玻璃灶。


图1 图2


图3 图4
1.艾滋病
2.肺孢子菌肺炎
3.巨细胞病毒性肺炎
1.患者中年男性,冶游史;
2.艾滋病,细胞免疫功能低下,CD4淋巴细胞下降;
3.阳性结果:HIV-RNA阳性、血病原微生物DNA基因检出耶氏肺孢子菌序列、痰及肺泡灌洗液巨细胞病毒DNA阳性、肺泡灌洗液六胺银染色肺孢子菌包囊阳性;
4.影像学
图1~4 CT平扫均可见双肺弥漫性磨玻璃样改变(GGO),对称分布,图3可见病变由肺门向外周带扩散。
肺孢子菌肺炎(PJP)及巨细胞病毒性肺炎(CMP)影像学特点
HIV与非HIV患者胸部CT进展略有不同,HIV患者PJP早期表现为粟粒样影,间质多不受累;中期为两肺弥漫GGO伴斑片实变;晚期出现间质纤维化,并伴有肺气囊形成(见图5),可出现气胸。非HIV患者早期为弥漫分布GGO(见图6),中期与HIV相同,晚期则为弥漫实变(见图7)。CMP与PJP均存在GGO,CMP的GGO多由中下肺向上肺蔓延至全肺,且CMP的微小结节较PJP典型(见图8、9),无气囊样病变、马赛克征及气胸等特异性表现。
PJP与CMP胸部CT检查中仅有细微的差距,临床上难以鉴别。此外,免疫低下或抑制状态下的感染应注意混合感染的可能。




图5 结节、肺气囊

图6 铺路石征、小叶间隔增厚、马赛克征

图7 实变


图8 微小结节

图9 微小结节
PCP是一种机会致病菌,常见于免疫功能低下患者,如艾滋病、长期使用免疫抑制类药物患者。本例患者在接诊初期未询问冶游史,HIV抗体阳性后追问补充病史。临床表现主要以干咳为主,伴有进行性呼吸困难,发热、腹胀、乏力等。PJP影像学表现为GGO,多内带分布,由肺门朝外,从中央向外周扩散,呈大片状或蝶翼征,双肺对称或不对称,可伴有腺泡结节、空气支气管征、铺路石征、实变及纤维条索状。CMP表现为急性间质性肺炎,伴有弥漫性肺泡水肿和纤维蛋白渗出物,典型影像学为GGO及微小结节。免疫功能低下患者,出现呼吸困难、低氧血症和影像学磨玻璃样改变时,应考虑到肺孢子菌及病毒性肺炎(如巨细胞病毒性肺炎等)的可能。
今天的学习你有哪些收获呢?
请在评论区写下您的答案。本次活动期间,将不定期抽取优秀评论者给予惊喜礼物~
肺诺卡菌病的影像表现如何?
明天一起学习~
每天进步一点点
追上那个被寄予厚望的自己
↓点击进入专题,查看既往内容
中国医学论坛报社版权所有

查看更多