
-

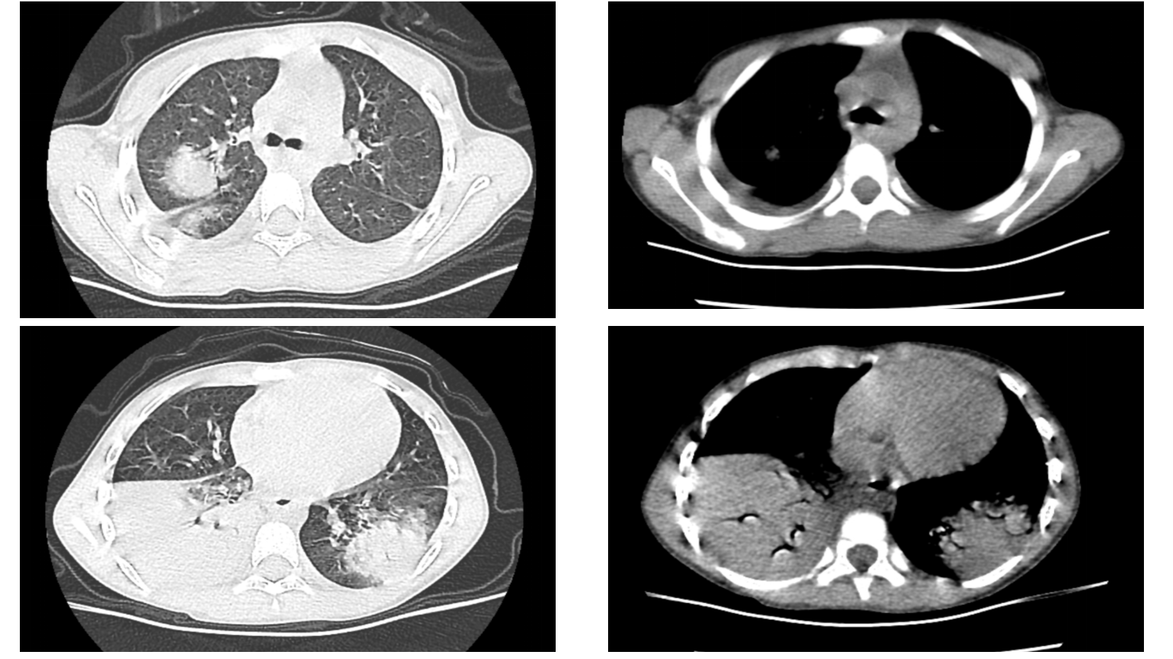
越过“肺炎”的陷阱:探秘一例儿童肺栓塞的元凶
2025儿科最佳临床实践北京大学第一医院宁夏妇女儿童医院儿科团队分享主讲嘉宾:董建辉 主任医师点评嘉宾:陈诚 副主任医师北京大学第一医院宁夏妇女儿童医院(宁夏回族自治区妇幼保健院)儿科成立于1998年,2024年成立儿童医学中心,儿科获批国家临床重点专科、获批国家中西医协同旗舰科室,是宁夏儿科专科联盟牵头单位。专业涵盖儿内科(神经、心血管、肾脏、新生儿、呼吸、重症医学、遗传代谢、血液、风湿免疫、消化、内分泌、发育与康复医学等亚专业)、儿外科(普外、神经、骨科、泌尿、新生儿外科、胸外、肿瘤、胎儿外科)和中医儿科。
2025-12-19 484 看过 免费 -

解码多尿多饮:当罕见病穿上常见症状的外衣
2025内分泌最佳临床实践北京医院·国家老年中心 内分泌科团队分享主讲嘉宾:张洁 主任医师点评嘉宾:牟忠卿 主任医师北京医院内分泌科是国家重大疾病多学科合作诊疗能力提升项目单位,国家临床重点专科建设项目单位,中华医学会糖尿病学分会主任委员单位。科室配备先进的专科实验室及诊疗设备,全面开展内分泌代谢疾病的精准诊疗与并发症筛查。近3年来,科室共承担国家级、省部级及横向课题等10余项,主持和承担科技部“十五”、“十一五”、“十二五”重大攻关课题,承担国家重点研发计划课题两项、国家科技支撑计划一项,国家自然科学基金课题面上项目7项,北京市科委重点专项课题、北京市重大课题等多项,主持或参与编写指南、行业标准和专家共识30余部,主编《中国糖尿病地图》等多部内分泌专著,每年主办“中国老年内分泌论坛”等国家级论坛数项,近五年发表SCI论文数百篇。
2025-12-19 470 看过 免费 -

重症病例专场 | 2025 盛京消化疑难重症病例分享周
本期讲题重症病例专场直播时间12月19日(周五) 18:30-20:00系列直播安排
2025-12-19 928 看过 免费 -
系列课程上海九院疑难胃肠道疾病云课堂
2025-12-19 1595252 看过 免费 -

食面色变-疱疹样皮炎
3万皮肤科医师在看的年度大课——中国医学论坛报社“星火计划·最佳临床实践”重磅来袭!全国顶尖皮肤团队集结,Step by Step拆解疑难,直面真实临床战场!一个好病例,胜过千言理论;一次真解析,点亮诊疗明灯。今日奉上山东第一医科大学附属皮肤病医院皮肤科张福仁教授团队病例“食面色变-疱疹样皮炎”,反转再反转的诊疗过程,由曹珊医生揭秘,张福仁教授点评。 曹珊 +关注皮肤性病科 | 山东第一医科大学附属皮肤病医院 张福仁 主任医师+关注皮肤性病科 | 山东第一医科大学附属皮肤病医院
2025-12-19 1656 看过 免费 -

毛叶萌:失眠与药物治疗
精神科临床工作中,如何科学诊断?如何精准用药?如何安全管理不良反应?由上海市精神卫生中心主导的《精神科临床用药精英培养计划》集结多位权威专家,全面讲解精神科诊疗核心技能与最新进展。课程内容涵盖精神科基础技能、常见障碍诊治、特殊人群治疗、药物合理应用及不良反应处理,为临床医生提供系统、实用的学习平台。本期讲题:失眠与药物治疗授课专家:毛叶萌 主任药师上海市精神卫生中心药学部主任上线时间:12月18日 19:00系列课程安排:本课程由浙江大冢制药有限公司支持
2025-12-18 6192 看过 免费 -

危险因素类临床研究设计 | 临床科研实战班(3)
『疑难胃肠道疾病云课堂』全新升级,推出『临床科研实战班』系列直播,12月起每周四晚19:00开讲。课程全部由上海交通大学医学院附属第九人民医院李幼生教授团队具备丰富科研经验的一线医生主讲,紧扣临床场景,通过真实案例,直击您在临床科研中遇到的痛点难点,提供能即学即用的解决方案!【主题】危险因素类临床研究设计【主讲】田涛 住院医师【要点】危险因素类研究是常见的临床回顾性研究,本次汇报结合已发表文献介绍此类研究套路和图表设计。
2025-12-18 2834 看过 免费 -

罕见病例专场 | 2025 盛京消化疑难重症病例分享周
本期讲题罕见病例专场直播时间12月18日(周四) 18:30-20:00系列直播安排
2025-12-18 2790 看过 免费 -

当多浆膜腔积液遇见高代谢腹膜:一元论还是多元论?一例PET-CT与活检“对话”【徐医感染(疑难发热及感染分享第三十三期)】
2025-12-18 1080 看过 免费 -

大内泌探·内分泌疑难杂症特训营|S6第6期·分会场2
『大内泌探·疑难杂症特训营』系列学术沙龙由中华医学会内分泌学分会发起,荟萃全国顶尖的中青年专家学者,围绕疑难内分泌代谢疾病进行深入探讨与交流,旨在提升青年医师在内分泌疑难复杂疾病方面的临床诊治能力。诚邀您共同参与这一学术旅程!
2025-12-18 764 看过 免费













