查看更多
密码过期或已经不安全,请修改密码
修改密码
壹生身份认证协议书
同意
拒绝
同意
拒绝
同意
不同意并跳过

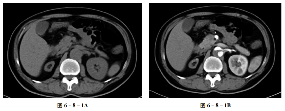
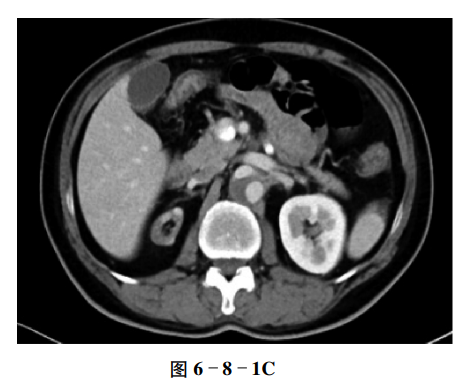
【病史摘要】
男性,44岁。因主动脉夹层入院。


【CT征象】
平扫示右肾明显缩小,外观仍保持正常肾的形态,左肾代偿性增大(图6-8-1A),增强扫描示双肾皮质明显强化,髓质密度稍低,右肾的形态及排泄功能与左肾相似(图6-8-1B、C)。腹主动脉见夹层形成。
【重要征象】
右肾体积小,肾皮质和髓质密度、强化相对正常,"肾缩影征"。
【CT拟诊】
①肾发育不良。
②肾动脉狭窄肾萎缩。
③肾炎后肾萎缩。
④肾损伤后肾萎缩。
【最终诊断】
肾发育不良。
【评述】
肾发育不良是以肾未完全发育成熟,肾脏结构基本正常,仅体积明显缩小为特征的肾发育异常,原因尚不清楚,有学者认为可能与肾血管发育不良导致供血不足有关或胚胎发育过程中输尿管芽和后肾胚基融合不良造成。一般为单侧性,双侧发生者少见。患肾甚小,常仅及正常大小的16%~33%,外形大多如常。肾单位的发育及分化可正常,输尿管结构也往往正常。肾动脉细小,但肾脏血液供应仍来自它,因而小肾有排泄功能,加上对侧肾代偿性肥大,完全可以担负正常的生理需要。因此,肾发育不良可无症状,常终生不被发现,或在体检时偶然被发现,亦可有高血压时才被检出。
CT表现
①多为单侧,表现为肾区小的软组织影,其肾实质、肾窦普遍缩小,可见肾盂,如正常肾的"缩影"。②肾动脉及输尿管细小,增强扫描肾实质强化,可见肾盂、肾盏内对比剂影。③对侧肾代偿性增大,皮质明显增厚。
鉴别诊断
①肾损伤后肾萎缩:通常有外伤史,肾体积进行性缩小,外形轮廓不规则,肾周及肾内可见钙化。②肾炎后肾萎缩:慢性肾盂肾炎性肾萎缩表现为肾实质萎缩,外形小而不规则、不光滑,可有钙化,肾小球肾炎性肾萎缩常为双侧性,边缘光滑,肾窦大,肾窦内和肾周脂肪多,肾功能差。③肾动脉狭窄肾萎缩:单、双侧均可发生,肾体积缩小,肾实质萎缩变薄,外形轮廓规则,肾排泄功能延迟,且多伴有明显的血压升高及腹部血管杂音。
本文摘选自《CT读片指南》

查看更多