查看更多
密码过期或已经不安全,请修改密码
修改密码
壹生身份认证协议书
同意
拒绝
同意
拒绝
同意
不同意并跳过
第四节
肺部感染
例3 球形肺炎
【病史摘要】 男性,27岁。因咳嗽、咳痰1个月,痰中带血半月入院,痰查癌细胞阴性。


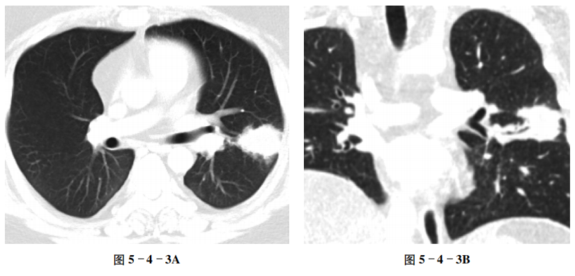
【CT征象】 左肺下叶背段可见一球形密度增高影,边界欠清,可见少许短粗条索影;重组冠状位图像可见其肺门侧支气管通畅;纵隔窗病灶呈软组织密度;增强扫描病变呈不均匀较明显强化(图5-4-3A~C)。
【重要征象】 球形密度增高影,边界欠清,病灶内侧支气管通畅;增强扫描呈较明显强化。
【CT拟诊】 ① 球形肺炎。② 周围型肺癌。③ 肺结核瘤。
【最终诊断】 球形肺炎。
【评 述】
肺炎的影像表现形式多种多样,多为斑片状,当病灶呈球形时,即称为球形肺炎,是由细菌或病毒引起的急性炎症,以细菌性多见。
球形肺炎的病理机制尚不完全清楚,多数文献报道认为:① 肺炎渗出物沿肺泡孔向周围扩散。② 大叶性或节段性肺炎吸收过程中的一种表现。③ 由于抗生素的广泛应用,大叶性或节段性肺炎发展过程受到限制而成。
CT表现
① 病灶在横断位上呈圆形或类圆形,三维重组可呈钱币样或片状改变,即病灶的三条轴线不等长,其中一条明显较短。
② 密度较均匀,CT值稍低于软组织密度,有的病灶边缘部分稍低于中央部,有时可见空气支气管征或空洞。
③ 边缘较规则,可有毛刺,亦可模糊,周边有索条状或粗大肺纹理。
④ 胸膜下常有局限性胸膜增厚及粘连带。
⑤ 增强扫描病灶呈渐进性明显强化。
⑥ 抗感染治疗后短期内吸收。
鉴别诊断
(1) 肺结核瘤:好发于上叶尖后段和下叶背段,结核瘤呈球形,边缘多光滑,可有钙化及卫星病灶等,增强扫描呈轻度强化或无明显强化,或呈边缘环形强化。
(2) 周围型肺癌:本例不支持肺癌而支持球形肺炎的根据如下。
① 患者年纪轻,病史较短。
② 病灶边缘欠清且毛糙,周围的条索较粗大且柔软,与肺癌放射状细短硬的毛刺有所不同。
③ 与胸膜相贴处未见明显胸膜凹陷征。
④ 病灶内侧支气管管壁增厚。
⑤ 痰中未找到癌细胞。本例经抗感染治疗2周后,原病灶CT扫描吸收消退,此后随访未见异常。
活动页面累计签到4天获半年数字报
活动页面累计签到8天获1年数字报
活动页面累计签到15天同时阅读所有本书荐读章目者获实体书抽奖机会
[抽奖说明:本次活动抽奖名额根据书籍情况不同,本书抽奖限额2名,获奖者免费获赠《CT读片指南》实体书(附赠主编签名照)]

👆(截图至微信扫码享限时折扣优惠购书)👆
查看更多