壹生大学

壹生身份认证协议书

本项目是由壹生提供的专业性学术分享,仅面向医疗卫生专业人士。我们将收集您是否是医疗卫生专业人士的信息,仅用于资格认证,不会用于其他用途。壹生作为平台及平台数据的运营者和负责方,负责平台和本专区及用户相关信息搜集和使用的合规和保护。
本协议书仅为了向您说明个人相关信息处理目的,向您单独征求的同意,您已签署的壹生平台《壹生用户服务协议》和《壹生隐私政策》,详见链接:
壹生用户服务协议:
https://apps.medtrib.cn/html/serviceAgreement.html
壹生隐私政策:
https://apps.medtrib.cn/html/p.html
如果您是医疗卫生专业人士,且点击了“同意”,表明您作为壹生的注册用户已授权壹生平台收集您是否是医疗卫生专业人士的信息,可以使用本项服务。
如果您不是医疗卫生专业人士或不同意本说明,请勿点击“同意”,因为本项服务仅面向医疗卫生人士,以及专业性、合规性要求等因素,您将无法使用本项服务。

同意

拒绝

同意

拒绝

知情同意书

同意

不同意并跳过

工作人员正在审核中,
请您耐心等待
审核未通过
重新提交
完善信息
{{ item.question }}
确定
收集问题
{{ item.question }}
确定
您已通过HCP身份认证和信息审核
(
5
s)

牛意教授:BRAF V600E突变晚期结肠癌病例分享

2026-01-06作者:shaowen资讯


一般情况








患者:男,50岁,体表面积:1.93m2

诊疗经过:2022-01-26行结肠癌根治术,术后病理:左半结肠中低分化腺癌,浸润肠壁全层达周围脂肪组织,可见脉管内癌栓及神经侵犯,切缘未见癌,淋巴结3/19;pT3N1b;pMMR,HER2-;RAS野生,BRAF V600E突变。术后辅助XELOX*3cs后中断,依从性差,耐受不佳,未规律复查。2023-08月,因腹痛逐渐加重,就诊我科。

既往史:高血压病史5年余,血压控制平稳。

个人史:吸烟10余年,半包/日,间断饮酒10余年,1斤/次。

家族史:否认肿瘤家族史及其他家族遗传病史。



检查结果








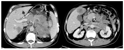
2023-08-29胸部CT未见转移,腹部CT:结肠脾曲术后,肝多发转移,胰腺区,肾前,脾内侧多发转移,病变包绕胰腺及脾动脉静脉,胃底及左上腹静脉迂曲扩张,肝门区,肠系膜内及腹膜后,左侧髂血管旁周围多发肿大淋巴结。左肾周受侵。 

image.png

图1 2023年8月29日检查结果



第一阶段治疗








根据研究团队报告的BREAKWATER研究的早期结果,尽管当时样本量较少且生存数据尚未报告,但一线治疗的ORR超60%,其未来最终数据的发布非常令人期待。

虽然标准一线为BEV±两药/三药化疗,但患者当时腹痛症状明显,拟行快速缩瘤。最终决定参照BREAKWATER研究。考虑患者既往的化疗耐受情况,以及药物的可及性,经与患者家属充分商议后,选择达拉非尼+西妥昔单抗+FOLFIRI方案。


2023-09-01开始一线达拉非尼+西妥昔单抗+FOLFIRI*8cs。

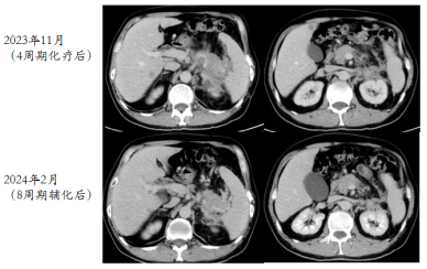
(2023年11月)4周期化疗后,复查CT评效:肝多发转移,较前减少缩小,胰腺区,左肾前,脾内侧多发转移较前明显缩小,肝门区,肠系膜内及腹膜后淋巴结较前明显缩小,部分消失。评效部分缓解(PR)。

image.png

图2 4周期化疗后复查CT结果

(2024年02月)8周期化疗后,复查CT评效:肝多发转移,较前减少缩小,胰腺区,左肾前,脾内侧多发转移较前稍缩小,肝门区,肠系膜内及腹膜后淋巴结较前明显缩小,部分消失。评效维持PR。

image.png

图3 8周期化疗后复查CT结果


病情变化

2024-2-28,患者腹痛伴黄疸,MRCP:肝脏多发转移瘤,低位胆道梗阻,胰腺头体尾,左肾前,脾门多发转移并累及脾静脉,左肾及左肾上腺,腹腔多发淋巴结肿大。

行PTGD引流后,黄疸较前好转。穿刺后患者黄疸好转,但腹痛逐渐加重。

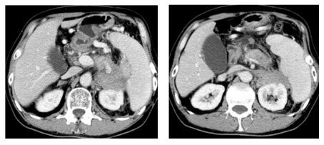
2024-03-20复查腹部CT:结肠脾曲术后,脾曲局部肠壁增厚,考虑结肠癌复发可能。肝多发转移,较前增多增大,胰腺区,左肾前,脾内侧及左侧肾上腺区及周围多发转移较前增大,肝门区,肠系膜内及腹膜后淋巴结较前增多增大,腹膜后淋巴结较前增多增大。评效疾病进展(PD)。

image.png

图4 2024年3月20日检查结果



第二阶段治疗








2024-03-18开始二线贝伐珠单抗+XELOX*6cs,末次化疗时间:2024-09。2024-09开始BEV+CAPE维持至2025-03。

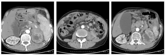
(2024年06月)C3后复查CT评效:肝多发转移,较前减少缩小,胰腺区,左肾前,脾内侧多发转移较前明显缩小,肝门区,肠系膜内及腹膜后淋巴结较前缩小,腹腔腹膜后淋巴结较前缩小。评效PR。

image.png

图5 二线C3后复查CT结果

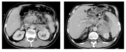
(2024年09月)C6后复查CT评效:结肠脾曲管壁增厚同前,肝多发低密度影,同前。胰腺区,左肾前,脾内侧多发转移同前。评效维持PR。开始BEV+CAPE维持治疗。

image.png

图6 二线C6后复查CT结果

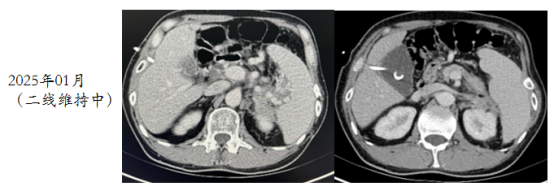
(2025年01月)复查CT评效:结肠脾曲管壁增厚稍减轻,肝多发低密度影同前。胰腺区,左肾前,脾内侧多发转移同前。评效维持PR。继续BEV+CAPE维持治疗。

image.png

图7 2025年1月复查CT结果


病情变化

2025-03,患者腹痛症状加重,CT:肝脏多发低密度影同前,胰腺区,左肾前,脾内侧及左肾上腺周围多发转移瘤,较前增大。门脉高压,胃底食管静脉曲张,右侧肾上腺结节状增粗,较前增大。盆腔积液增多。胸部CT未见转移。评效PD。

image.png

图8 2025年3月复查CT结果




第三阶段治疗








考虑后线治疗有效率低,目前腹痛症状明显,拟行快速缩瘤,与患者及家属商议后,拟再挑战抗BRAF治疗。

2025-03-19开始再挑战达拉非尼+CET+IRI单药治疗。

经过4周期治疗后,患者腹痛及一般情况好转,复查CT评效PR。

image.png

图9 再挑战治疗4周期后复查CT结果


病情变化

2025-07腰腹痛加重,肿瘤标记物上升趋势。复查CT提示进展。评效PD。

image.png

图10 再挑战治疗6周期后复查CT结果



第四阶段治疗








2025-07-21重启XELOX方案:Oxa 190mg d1+Cape 1.5g BID d1-14;Q3W。

2周期XELOX化疗后,患者腰腹痛明显好转。体能恢复。镇痛药物剂量下调。


病情变化

2025-09-10入院后检验:ALT699U/L,AST462U/L,总胆红素51umol/L,直接胆红素40.9umol/L,CEA 8.7ng/mL,Ca199 37.49U/mL。

2025-09-11复查CT:左侧肾上腺、腹腔及腹膜后转移较前增大,左侧腰大肌受侵范围较前缩小,腹腔腹膜后淋巴结部分较前缩小,减少。结肠外侧间隙似增多小结节。胰源性门脉高压,胃底食管静脉曲张较前加重,直肠周围静脉迂曲。

image.png

图11 2025年9月11日复查CT结果

2025-09-12超声引导下经皮胆囊穿刺引流术。胆汁引流中。

2025-10-06复查肝功能:ALT21.9U/L,AST47.5U/L,总胆红素16.5umol/L,直接胆红素9umol/L,CEA 8.7ng/mL,Ca199 37.49U/mL。

2025-10-7晚突发剧烈腹痛,CT提示:腹腔积气积液,考虑消化道穿孔。

image.png

图12 2025年10月7日复查CT结果

家属放弃剖腹探查,2025-10-8晨患者临床死亡。



诊疗经过概览








image.png

image.png

图13 诊疗经过概览


image.png

图14 治疗期间肿瘤标记物变化情况





总结与思考


BRAF抑制剂的选择应结合疗效、安全性和可及性,药物互换需谨慎。

抗BRAF治疗再挑战时需更加优化,需进一步探索最佳的人群特征、间隔时间等限制条件。

经济允许的情况下,优选NGS指导下的精准治疗。






本文审校:
赤峰市医院
 牛意教授

200 评论

查看更多