壹生大学

壹生身份认证协议书

本项目是由壹生提供的专业性学术分享,仅面向医疗卫生专业人士。我们将收集您是否是医疗卫生专业人士的信息,仅用于资格认证,不会用于其他用途。壹生作为平台及平台数据的运营者和负责方,负责平台和本专区及用户相关信息搜集和使用的合规和保护。
本协议书仅为了向您说明个人相关信息处理目的,向您单独征求的同意,您已签署的壹生平台《壹生用户服务协议》和《壹生隐私政策》,详见链接:
壹生用户服务协议:
https://apps.medtrib.cn/html/serviceAgreement.html
壹生隐私政策:
https://apps.medtrib.cn/html/p.html
如果您是医疗卫生专业人士,且点击了“同意”,表明您作为壹生的注册用户已授权壹生平台收集您是否是医疗卫生专业人士的信息,可以使用本项服务。
如果您不是医疗卫生专业人士或不同意本说明,请勿点击“同意”,因为本项服务仅面向医疗卫生人士,以及专业性、合规性要求等因素,您将无法使用本项服务。

同意

拒绝

同意

拒绝

知情同意书

同意

不同意并跳过

工作人员正在审核中,
请您耐心等待
审核未通过
重新提交
完善信息
{{ item.question }}
确定
收集问题
{{ item.question }}
确定
您已通过HCP身份认证和信息审核
(
5
s)

无力之下的全身暗码:POEMS综合征1例 | 协和神经科临床病例精粹

2026-03-13作者:论坛报寒夜资讯
原创

作者:北京协和医院 胡海洲 史佳宇



PART 01
病例摘要




男性,26岁,主因“双下肢无力1年,麻木10月”收入神经科病房。


图片


入院情况



2024年5月,患者无明显诱因出现双下肢轻度无力,表现为双小腿发软、行走屈膝时为著,平地行走、上下楼梯、蹲起尚可独立完成;外院查腰椎计算机体层摄影(CT)未见异常,予以中药、针灸治疗无效,症状逐渐加重。2024年7月,患者出现明显双足无力,足底轻度麻木感,站立不稳,平地行走需搀扶,上下楼梯、蹲起依赖帮助。2024年8月于外院住院治疗,查脑脊液:WBC 4*106/L。蛋白2.7 g/L↑,糖、氯化物正常;头颅磁共振成像正常;肌电图示双下肢周围神经损害(运动、感觉均受累,轴索合并脱髓鞘);考虑格林巴利综合征可能性大,予以静脉注射免疫球蛋白(IVIG)治疗5天,症状无改善。2024年9月再次外院住院,复查脑脊液:WBC 6*106/L,蛋白2.8 g/L↑,糖、氯化物正常;血+脑脊液抗神经节苷脂抗体谱、抗郎飞节抗体谱阴性;肌电图示双下肢周围神经损害(轴索损害为著),考虑慢性炎症性脱髓鞘性多发性神经根神经病(CIDP),予以静脉激素冲击治疗3天,序贯泼尼松60mg qd逐渐减量,症状无明显变化。2024年11月~2025年2月行康复治疗,期间双下肢无力、行走不稳稍改善,足底麻木感较前减轻,此后症状仍有缓慢进展。2025年5月为求进一步诊治来我院门诊,以“周围神经病”收住入院。病来精神、睡眠可,食欲食量正常,大小便正常,近1年体重下降15 kg。


图片


既往史



大量饮酒史;家族史无特殊。


图片


查体



可见双下肢轻度水肿、双足皮肤发黑(图1)。

图片1.png

图1 患者双足皮肤变黑


专科查体:神清语利,颅神经(-);肌力:双上肢5级,双下肢近端5级,足背屈2级、跖屈3级,四肢肌张力减低,腱反射未引出,病理征(-);双膝以下袜套样针刺觉、音叉振动觉减退,双侧指鼻、跟膝胫试验稳准,行走不稳,跨阈步态。


图片


辅助检查



  • 血常规:白细胞6.03*1012/L↑、血小板400*109/L↑;尿常规、便常规、肝肾功能、心肌酶(-);心电图、心脏超声(-)。

  • 免疫炎症:血清免疫固定电泳+血游离轻链(-);尿免疫固定电泳:游离λ型M蛋白(F-λ)弱阳性(+);血+脑脊液白细胞、抗神经节苷脂抗体(-)。

  • 代谢营养:同型半胱氨酸(HCY)、维生素B12、叶酸(-)。

  • 内分泌:二氢睾酮0.100 ng/ml↓,雌酮0.107 ng/ml↑,促卵泡激素0.99 IU/l↓,泌乳素23.4 ng/ml↑;皮质酮0.10 ng/ml↓,11-脱氧皮质醇 0.915 ng/ml↑;甲功:促甲状腺激素(TSH)4.546 uIU/ml↑。

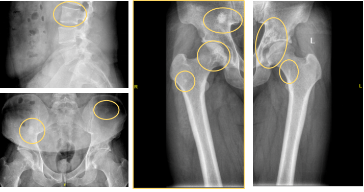
  • 全脊柱+四肢长骨X线:约L3椎体重叠区高密度影;双侧髂骨结节状致密灶;左侧髋臼及右侧股骨头混杂密度灶,双侧股骨近段点状高密度灶(图2)。

图片2.png

图2 骨X线示中轴骨、四肢长骨近端多发高密度影


  • 腹盆CT平扫:脾脏饱满;腹部超声:肝、脾略大。

  • 骨穿、活检:(-)。

  • 眼底:右眼视盘边界欠清,略隆起。

  • 血清血管内皮生长因子(VEGF):1948 ng/l[正常范围<600 ng/l,POEMS综合征界值1200 ng/l(≥2000 ng/l高水平组,<2000 ng/l低水平组)]。

  • 周围神经超声:双侧正中神经前臂段轻度增粗,双侧尺神经前臂段横截面积(CSA)正常高限,双侧正中神经上臂段、双侧尺神经上臂段增粗;所检臂丛神经根、神经干CSA正常范围。

  • 肌电图:上下肢周围神经源性损害,脱髓鞘为主,伴轴索损害(图3)。

图片3.png

图3 神经传导速度+肌电图:上下肢周围神经源性损害,脱髓鞘为主,伴轴索损害


图片


诊治经过



患者临床主要表现为多发性感觉运动性周围神经病,结合其尿F-λ型M蛋白弱阳性、血清VEGF水平升高、骨硬化改变、内分泌异常、脏器肿大以及皮肤改变等,考虑POEMS综合征诊断明确,请血液科会诊,予以“来那度胺+地塞米松”(Rd)方案治疗,同时给予营养神经、康复训练。


图片


出院诊断



1. POEMS综合征


图片


出院随访



出院6个月后随访,患者症状明显改善,独立行走、蹲起、上下楼梯等日常生活自理不受限,双足麻木范围缩小至足趾。



PART 02
文献复习




POEMS综合征是一种罕见的由浆细胞异常增殖引起的副肿瘤综合征,临床上以多发性感觉及运动性周围神经病为主要表现,常伴有多系统损害。POEMS一词源于其五个主要临床表现的英文首字母:多发神经病变(Polyneuropathy)、器官肿大(Organomegaly)、内分泌异常(Endocrinopathy)、单克隆免疫球蛋白(Monoclonal gammopathy)以及皮肤改变(Skin changes)。需要注意的是,其诊断并不要求具备所有上述特征,且部分重要特征如硬化性骨病变、VEGF水平升高等未被包括在内。部分POEMS综合征患者以多发性周围神经病为首发表现,呈亚急性-慢性病程,逐渐进展,双侧基本对称,肌电图提示脱髓鞘改变,脑脊液常见蛋白-细胞分离现象,易被误诊为CIDP。相较于CIDP,POEMS综合征患者的周围神经损害早期以下肢为著,常伴有M蛋白、VEGF水平升高、骨硬化、皮肤改变、内分泌异常等多系统受累表现,对标准丙种球蛋白、激素治疗反应不佳,电生理检查可见髓鞘损害相对均一而轴索损害相对较重、少见传导阻滞,神经超声表现为受累神经轻度、较为均匀的增粗。神经科医师应提高对POEMS综合征的识别意识,重视并主动筛查神经系统外的线索,对于初步考虑为CIDP的患者,若合并血液系统等多系统受累表现,且/或对标准治疗无效,应高度警惕POEMS综合征可能。



专家简介




胡老师.jpg

北京协和医院

胡海洲

  • 住院医师,中国医学科学院北京协和医院神经科专业型博士研究生在读,师从倪俊教授。

  • 熟悉神经科常见病诊疗流程,主要课题方向为穿支动脉粥样硬化病,发表SCI及中文核心期刊论文数篇。


史老师.jpg

北京协和医院

史佳宇 主治医师

  • 主治医师,医学博士,北京神经内科学会青年医师专业委员会委员。

  • 主要从事重症肌无力,以及各类神经肌肉病的基础、临床研究及临床工作。

  • 先后参与多项神经肌肉病研究相关课题,多次在全国学术会议、北京学术会议等代表团队发言及壁报交流,以第一作者在国内外核心期刊发表文章多篇。参与4项重症肌无力国际多中心临床试验,坚持参与北京地区重症肌无力患者教育系列活动。







END





更多精彩病例,请持续关注「协和神经科临床病例精粹」专栏





200 评论

查看更多