查看更多
密码过期或已经不安全,请修改密码
修改密码
壹生身份认证协议书
同意
拒绝
同意
拒绝
同意
不同意并跳过

术语
脑表面的损伤,累及灰质及相邻的皮层下白质
病理
炎症→恶化/病变增大
影像
最佳诊断线索:斑点状出血及周围水肿
典型部位:邻近不规则的骨性突起或硬膜反折处
额叶前下部及颞叶前下部最为常见
FLAIR:对高信号的皮层水肿及蛛网膜下腔出血显示最好
GRE:低信号出血灶,呈“开花样”
最佳影像方案
CT用于检出急性出血性脑挫伤、其他颅内病变及脑疝
MR用于检出病变及其边界范围
冲击伤:冲击点下方脑组织的直接损伤
对冲伤:损伤位于冲击点对侧部位,通常较冲击伤严重
主要鉴别诊断
梗死
静脉窦血栓
脑炎
低级别肿瘤
短暂发作后改变
临床要点
初始症状:挫伤→意识不清
主要目的:防止并治疗继发损伤
占位效应和脑疝可能需要抽吸减压

(左图)冠状位示意图为闭合性颅脑损伤的病理表现。注意出血点累及多处脑回的灰质→,轴索及深部灰质损伤,创伤性蛛网膜下腔出血➪中位于基底池及外侧裂
(右图)图示红色为脑挫伤最常见的部位。绿色为较罕见的部位。最常见部位为额叶前下部及颞叶前下部

(左图)死于闭合性颅脑损伤的患者大体病理显示双侧额叶及颢叶脑挫伤出血→以及鞍上池➪的创伤性蛛网膜下腔出血(R.Hewlett, PhD.提供)
(右图)CT平扫显示严重脑外伤患者大范围的额颢叶脑挫伤→以及创伤性蛛网膜下腔出血➪
术语
创伤性轴索牵张损伤
影像
灰白质交界区(67%)
胼胝体(20%)(压部)
深部白质(WM),脑干
严重程度与深部脑组织受累有关
一般特征
出血性与非出血性
平扫CT正常(50%~80%)
MR
FLAIR:非出血性弥散性轴索损伤(DAI)→点状高信号
GRE:继发出血的点状低信号
SWI:明显比GRE显示更多DAI病灶
可表现为扩散受限及ADC降低
主要鉴别诊断
多发非出血性病变
多发出血性病变
病理
闭合性颅脑损伤→突然减速,角动量改变
与 WM 及深部脑组织相关的皮层不同速度旋转
轴索牵张(很少断裂或“剪切”)
特别是在不同密度的组织表面
80% 的病灶是微小的、非出血性的
可见的病灶为“冰山一角”
诊断要点
如果症状与影像表现不符,应考虑弥散性轴索损伤
记住:异常位置越深,脑受损越严重

(左图)矢状图示胼胝体及脑干多发弥漫性轴索损伤出血点
(右图)图片红色为轴索损伤最常见的部位。绿色为经常但相对较少见的部位。中脑及脑桥上部(紫色)的损伤少见但通常是致命的。总之,病变位置越深,脑受损越严重

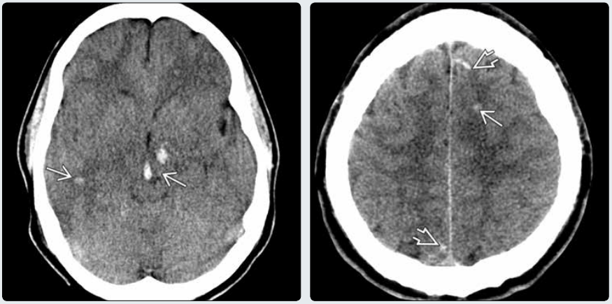
(左图)一位严重的非冲击性脑损伤患者的平扫 CT 显示弥散性脑水肿伴脑室缩小,脑沟裂及脑池变浅。弥散性轴索损伤(DAI)可见皮层下白质、中脑及左侧丘脑点线状的出血灶→
(右图)同一患者更多层面头侧扫描显示放射冠→与皮层下白质➪的其他出血性病灶
术语
皮层下损伤(SCI):脑干、基底节、丘脑及三室旁
的深部弥散轴索损伤
IVH:脑室系统内出血
CHI:位于脉络膜组织的出血
影像
SCI:FLAIR 最为敏感→高信号病灶
IVH:脑室内高密度出血,液 - 血平面常见
CH:位于脉络膜组织的高密度出血
主要鉴别诊断
SCI:海绵状血管畸形,腔隙性梗死,小血管缺血灶
IVH:无
CH:正常钙化可能掩盖小出血灶
病理
SCI:最常见原因是破坏穿透和(或)脉络膜血管的剪切力
IVH:室管膜下静脉的破坏
CH:创伤性剪切力造成的脉络膜组织的损伤
临床问题
SCI:严重神经功能缺失
IVH:迟钝,癫痫
CH:可导致 IVH
治疗 = 支持治疗,考虑到直接或合并异常(脑疝,血肿,脑积水,癫痫等)
诊断要点
SCI:MR 优于 CT
IVH/CH:CT 优于 MR

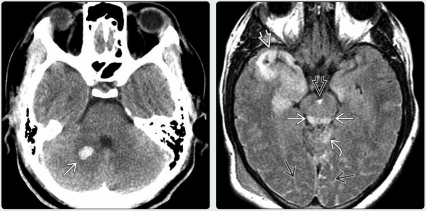
(左图)横断位 CT 平扫示右侧小脑中脚及小脑半球的高密度出血性皮层下弥漫性轴索损伤病灶→。
(右图)横断位 FLAIR 示顶盖的高信号皮层下损伤(本层面,下丘)→及邻近蚓部↪。另见右颞叶出血性脑挫伤➪以及多发脑沟裂 →和脚间窝的蛛网膜下腔出血➪

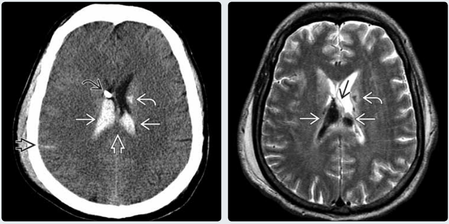
(左图)横断位 CT 平扫示双侧脑室内高密度的脉络丛实质内的脉络丛出血→。注意蛛网膜下腔出血➪,胼胝体 DAI➪,左侧尾状核出血性 DAI↪,以及脑室造瘘引流管尖端↪。
(右图)同一患者横断位 T2WI示低信号出血使脉络丛实质增大→。注意增大的右侧脉络丛出血使透明隔弯向左侧→。亦可见左侧尾状核出血性 DAI↪
本文摘自《儿童神经影像诊断学》
活动页面累计签到4天获半年数字报
活动页面累计签到8天获1年数字报
活动页面累计签到15天同时阅读所有本书荐读章目者获实体书抽奖机会
(抽奖说明:本次活动抽奖名额根据书籍情况不同,本书抽奖限额1名,获奖者免费获赠《儿童神经影像诊断学》实体书)

查看更多