查看更多
密码过期或已经不安全,请修改密码
修改密码
壹生身份认证协议书
同意
拒绝
同意
拒绝
同意
不同意并跳过
基本资料
性别:男性
年龄:48岁
主诉:2016.01腹痛
既往史:高血压病史,间断服药。14年前有宫颈肿瘤根治术病史,术后未行放化疗。
家族史:其母胃癌,姨母肺癌
辅助检查
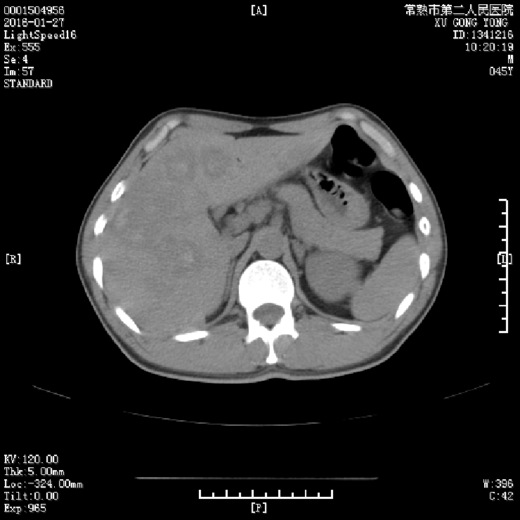
影像学检查:
2016.01.25腹部CT:肝脏多发转移瘤,伴出血可能


肠镜:结肠癌

病理:(乙结肠粘膜)中-高分化腺癌。

诊断:cTxNxM1,IV期,无手术指征。
治疗经过:
2016.02.06起行mFOLFOX6方案化疗(因经济原因未加用靶向药物)。
2016.04起间断行TACE术。



2016.07评估:PR,口服卡培他滨维持化疗
2016.12评估:PD,2016.12.09起FOLFIRI方案化疗
加用甲磺酸阿帕替尼
手足麻木减掉氟尿嘧啶
CEA上升恢复FOLFIRI方案
CEA进行性升高,改为伊立替康+替吉奥化疗
骨髓抑制严重改为单药口服替吉奥
至2017年9月CEA持续上升,CT评估结肠病灶稳定,肝脏病灶缓慢进展
2017.9起贝伐单抗500mgD1+XELOX化疗3程
2017.11CT:较前相仿,CEA持高不降(>1000ng/ml)
2017-12-06起予盐酸伊立替康300mg化疗联合西妥昔单抗700mg靶向治疗12程
18年5月CEA持续下降至47.01ng/ml,CT评估PR
因CEA水平较前稍有回升,2018-6-5起FOLFIRI+西妥昔单抗700mg化疗4程。
2018.08.06起予西妥昔单抗700mg靶向治疗;并行Yivyka免疫治疗。CEA持续升高。
2018.11.30 CEA>1000ng/ml,复查CT:进展,予瑞戈非尼160mg qd靶向治疗;患者双手及面部等出现皮疹,考虑药物反应,2019.01.06予瑞戈非尼减量为120mg qd靶向治疗,后因乏力明显,自行停服。



2019.02.14予爱必妥700mgd1+mFOLFOX6治疗2次
西妥昔单抗跨线治疗研究—CAPRI-GOIM研究
RAS野生型(WT)mCRC患者进展后继续西妥昔单抗治疗:比较FOLFOX与FOLFOX联合西妥昔单抗的随机II期研究
Xu, JM et al回顾性队列研究
RAS野生型(WT)mCRC患者进展后继续西妥昔单抗治疗
病例总结:
晚期结肠癌患者的转化治疗
结肠癌患者的跨线治疗
查看更多