查看更多
密码过期或已经不安全,请修改密码
修改密码
壹生身份认证协议书
同意
拒绝
同意
拒绝
同意
不同意并跳过
作者:复旦大学附属华山医院 丁伟群
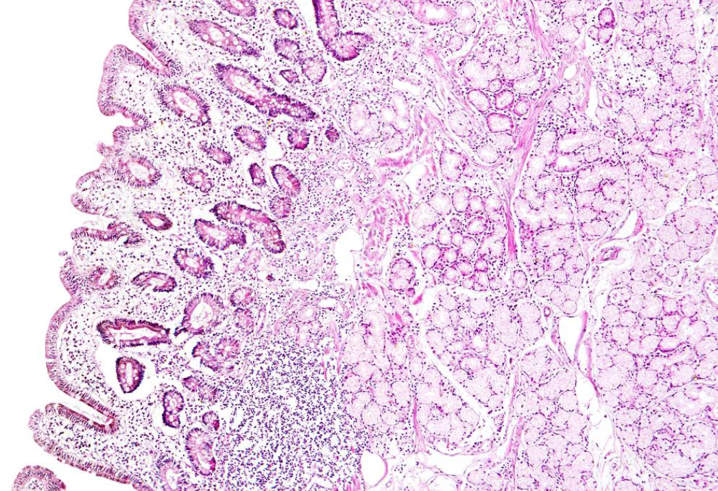
肠化生,是指肠腺样腺体替代了胃黏膜固有腺体,是胃黏膜的常见病变,也称为化生性萎缩。

在幽门螺杆菌(以下简称为Hp)感染、胆汁反流、免疫紊乱、高盐饮食及遗传因素等危险因素长期作用下,再生上皮转化为由潘氏细胞、杯状细胞和吸收细胞组成的肠型上皮细胞。肠化生程度轻者胃黏膜中仅出现少数肠上皮细胞,重者则可形成肠绒毛。
一般认为,肠化生是萎缩性胃炎的后期改变,随着年龄增长,发生风险也增加,常在胃镜检查时被发现,通常不会引起特定症状。
根据肠化生细胞黏液性质,可分为若干病理组织亚型:完全型和不完全型,小肠型和大肠型。

目前认为,与胃癌风险关系更密切的是胃内肠化生分布范围和严重程度,而不是其亚型。现已建立根据肠化生范围和严重程度,对胃癌发生风险进行评估的肠化生评估系统。
肠化生,是胃癌预兆吗?
胃黏膜萎缩和肠化生是胃癌发生的独立危险因素,因此将胃黏膜萎缩和肠化生归类为癌前状态,胃黏膜萎缩合并肠化生者年胃癌发生率为0.25%。
根据经典科雷亚(Correa)学说,在幽门螺杆菌的作用下,肠型胃癌的发生过程为正常胃黏膜-非萎缩性胃炎- 萎缩性胃炎-肠化生-异型增生-胃癌。
上述过程是一个持久而反复的过程,且肠化生与胃癌之间还存在异型增生阶段,此阶段需要更多的关注和医学干预。

Correa学说
日本一项研究纳入了根除Hp的患者共748例,经过平均6.2年的随访发现,胃腺癌的5年累积发病率,无黏膜萎缩组为1.5%,胃窦局限性萎缩肠化生组为5.3%,胃体弥漫性萎缩肠化生组为9.8%。
所以目前认为,累及贲门、胃小弯或弥漫分布的肠化生, 相比局限胃窦的肠化生,有着更高的癌变风险。
温馨提示:
需要注意,没有肠化生不代表没有胃癌发生风险,胃癌可发生于没有肠化生的区域。
有肠化生要不要定期胃镜随访
肠化生在普通人群中较常见,随访策略取决于胃黏膜萎缩程度和范围。
尽管胃黏膜单一部位的肠化生患者也存在胃癌风险,但多数情况下该类患者无须进行监测,特别是内镜检查已排除严重萎缩性胃炎者。
局限于胃窦、伴有肠化生的轻中度萎缩性胃炎患者可每2~3年复查胃镜。
单一黏膜部位肠化生伴胃癌家族史,或存在顽固Hp相关胃炎的患者,可考虑3年内复查胃镜。
累及全胃的重度萎缩性胃炎伴肠化生患者,则建议每1~2年复查高清染色放大胃镜。
肠化生的治疗
肠化生通常无法逆转,尤其是范围广、程度重的肠化生, 主要通过阻断病因、减轻胃黏膜炎症、逆转胃黏膜萎缩、延缓肠化生进展等手段,来降低胃癌发生风险。
一般治疗:包括避免情绪紧张,清淡饮食,避免辛辣油腻刺激等食物,忌烟酒。
药物治疗:主要针对病因治疗,比如,使用促胃动力药和吸附胆汁的药物可改善胆汁反流;Hp感染者需要行根除治疗;高胃酸患者可以在使用抑制胃酸药物的同时应用胃黏膜保护剂。
另外,叶酸、维生素C、微量元素硒或中药制剂等对胃黏膜萎缩有一定治疗作用,但缺乏高质量研究验证。目前有研究显示,环氧化酶-2(COX-2)抑制剂可改善肠化生,但其临床证据不充分,需进一步研究。
来源:复旦大学附属华山医院
查看更多