查看更多
密码过期或已经不安全,请修改密码
修改密码
壹生身份认证协议书
同意
拒绝
同意
拒绝
同意
不同意并跳过

【病史摘要】
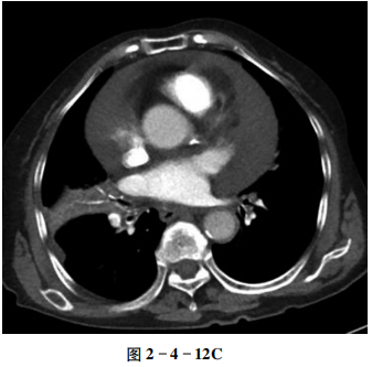
女性,87岁。阵发性胸闷、胸痛15日。


【CT征象】
心包内见大量液体密度影,密度均匀,最厚处厚度约33 mm(图2-4-12A);增强扫描无强化(图2-4-12B、C)。两下肺动脉内可见充盈缺损。
【重要征象】
心包腔内均匀液性低密度影。
【CT拟诊】
①心包积液。②心包黏液瘤。③心包炎。④心包转移瘤。
【最终诊断】
心包积液。
【评述】
正常心包腔内有15~30 ml液体,当心包腔内液体的聚集超过50 ml则为心包积液,是对各种原因造成的心包损伤的反应。常见原因包括心包炎、心力衰竭、肾功能衰竭、心包肿瘤等。急性心包积液:液体迅速增加超过150~200 ml,心包腔内压会显著上升,心肌顺应性降低,心排血量减少,严重时发生心脏压塞。慢性心包积液:心包腔内压上升缓慢,当液体积聚到一定程度时出现亚急性或慢性心包压塞,体循环淤血。积液量较少时无明显症状,偶尔可有持续性胸部钝痛或压迫感。大量积液时出现呼吸困难、面色苍白、发绀、端坐呼吸等。体格检查:心界扩大、搏动减弱、心包摩擦音、心音遥远或消失、颈静脉怒张、奇脉等。
CT表现
心包腔厚度增加,其内可见液体密度影;一般心包腔内厚度5~15 mm为少量心包积液,15~25 mm为中等量心包积液,25 mm以上为大量心包积液;心影可正常或增大,局部异常膨凸或成角,心缘不规则。
鉴别诊断
①心包转移瘤:有原发恶性肿瘤病史,常伴心包积液,心包不规则增厚,增强可见强化。②心包炎:可为结节状或不规则状心包增厚,分布范围不典型,CT值较漏出性心包积液高。随着病程的迁延,还可合并心包钙化。缩窄性心包炎可见心影变形,下腔静脉扩张。③心包黏液瘤:也表现为心包囊性液性密度影,常位于右心膈角处,有一定形状,心包积液分布范围典型且不规则呈弥漫性。
本文摘自《CT读片指南》
活动页面累计签到4天获半年数字报
活动页面累计签到8天获1年数字报
活动页面累计签到15天同时阅读所有本书荐读章目者获实体书抽奖机会
[抽奖说明:本次活动抽奖名额根据书籍情况不同,本书抽奖限额2名,获奖者免费获赠《CT读片指南》实体书(附赠主编签名照)]

查看更多