壹生大学

壹生身份认证协议书

本项目是由壹生提供的专业性学术分享,仅面向医疗卫生专业人士。我们将收集您是否是医疗卫生专业人士的信息,仅用于资格认证,不会用于其他用途。壹生作为平台及平台数据的运营者和负责方,负责平台和本专区及用户相关信息搜集和使用的合规和保护。
本协议书仅为了向您说明个人相关信息处理目的,向您单独征求的同意,您已签署的壹生平台《壹生用户服务协议》和《壹生隐私政策》,详见链接:
壹生用户服务协议:
https://apps.medtrib.cn/html/serviceAgreement.html
壹生隐私政策:
https://apps.medtrib.cn/html/p.html
如果您是医疗卫生专业人士,且点击了“同意”,表明您作为壹生的注册用户已授权壹生平台收集您是否是医疗卫生专业人士的信息,可以使用本项服务。
如果您不是医疗卫生专业人士或不同意本说明,请勿点击“同意”,因为本项服务仅面向医疗卫生人士,以及专业性、合规性要求等因素,您将无法使用本项服务。

同意

拒绝

同意

拒绝

知情同意书

同意

不同意并跳过

工作人员正在审核中,
请您耐心等待
审核未通过
重新提交
完善信息
{{ item.question }}
确定
收集问题
{{ item.question }}
确定
您已通过HCP身份认证和信息审核
(
5
s)

【消化读图】小肠好“酸”

2025-10-21作者:论坛报小塔资讯
原创

嗜酸性粒细胞小肠炎1例

解放军307医院消化内科

闵敏 王兰兰 刘岩





病例简介


入院病情摘要和辅助检查


患者男性,50 岁,因“中上腹痛2周,黑便1周”入院,呈中上腹间断性疼痛,可耐受,伴反酸、烧心、恶心、腹胀,1周前开始排黑色成形软便,共3次,量中等。


既往过敏性哮喘病史10余年。


体格检查:中上腹轻压痛。


辅助检查:白细胞(WBC)19.66×109/L,嗜酸性粒细胞百分比率(EO%)0.318,血红蛋白(HB)170 g/L。


当地胃镜示慢性浅表性胃炎、十二指肠球炎伴出血。


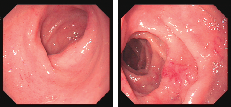
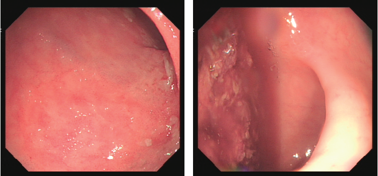
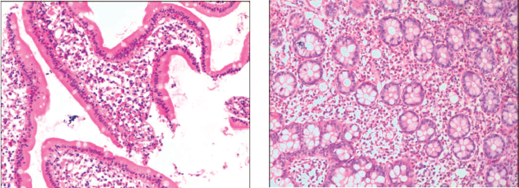
入院后我院胃镜示:非萎缩性胃炎、十二指肠降部黏膜糜烂,性质待定(图1);结肠镜示:回肠末端黏膜片状糜烂,性质待定(图2)。胶囊内镜结果示:小肠节段性黏膜糜烂(以空肠上段及回肠末端为著)(图3);十二指肠降部和回肠末端黏膜各活检4块病理回报(图4):黏膜慢性炎,间质内嗜酸性粒细胞显著增多,倾向嗜酸性粒细胞肠炎。


图片

图1 入院胃镜:十二指肠球部可见散在充血点,十二指肠降部可见多发片状糜烂

图片

图2 结肠镜:回肠末端黏膜粗糙,绒毛略缩短

图片

图3 胶囊内镜:小肠黏膜各段可见散在片状糜烂,以空肠上段和回肠末端为著

图片

图4 十二指肠降段和回肠末端活检病理:黏膜慢性炎,间质内嗜酸性粒细胞显著增多,倾向嗜酸性粒细胞肠炎


治疗


治疗经过:患者口服醋酸泼尼松40 mg/d,于1周后诉腹痛明显缓解,消化不良症状逐渐消失。





专家点评


嗜酸性粒细胞小肠炎是嗜酸性粒细胞消化道炎(EGID)的一种,EGID是嗜酸性粒细胞从食管到直肠黏膜层、黏膜下层甚至全层浸润的消化道疾病。EGID发病率较低,病因不明。其还包括嗜酸性粒细胞食管炎、嗜酸性粒细胞胃炎、嗜酸性粒细胞胃肠炎、嗜酸性粒细胞结肠炎。


目前研究较多的是嗜酸性粒细胞食管炎,其具有全球分布的广泛性,但其他类型的EGID目前尚缺乏统计学证据,仅限于病例报道和小范围研究。


按照消化道壁内浸润部位,EGID还可分为黏膜病变型、肌层病变型和浆膜病变型。本例患者胃肠镜、胶囊内镜检查完善,病理结果明确,考虑为小肠黏膜病变型。


患者一般在去除过敏性食物或药物后症状得到好转,也可加用糖皮质激素、抗组胺药、白三烯受体拮抗剂等。


版权说明:本文来源于中国医学论坛报“消化读图”专题,欢迎个人转发至朋友圈,谢绝媒体或机构未经授权以任何形式转载至其他平台。

200 评论

查看更多