壹生大学

壹生身份认证协议书

本项目是由壹生提供的专业性学术分享,仅面向医疗卫生专业人士。我们将收集您是否是医疗卫生专业人士的信息,仅用于资格认证,不会用于其他用途。壹生作为平台及平台数据的运营者和负责方,负责平台和本专区及用户相关信息搜集和使用的合规和保护。
本协议书仅为了向您说明个人相关信息处理目的,向您单独征求的同意,您已签署的壹生平台《壹生用户服务协议》和《壹生隐私政策》,详见链接:
壹生用户服务协议:
https://apps.medtrib.cn/html/serviceAgreement.html
壹生隐私政策:
https://apps.medtrib.cn/html/p.html
如果您是医疗卫生专业人士,且点击了“同意”,表明您作为壹生的注册用户已授权壹生平台收集您是否是医疗卫生专业人士的信息,可以使用本项服务。
如果您不是医疗卫生专业人士或不同意本说明,请勿点击“同意”,因为本项服务仅面向医疗卫生人士,以及专业性、合规性要求等因素,您将无法使用本项服务。

同意

拒绝

同意

拒绝

知情同意书

同意

不同意并跳过

工作人员正在审核中,
请您耐心等待
审核未通过
重新提交
完善信息
{{ item.question }}
确定
收集问题
{{ item.question }}
确定
您已通过HCP身份认证和信息审核
(
5
s)

填补空白!这项技术让晚期卵巢癌治疗有了新方案

2025-10-31作者:CMT琳资讯
原创

面对癌细胞广泛转移并侵犯结直肠的晚期卵巢癌患者,如何在根除肿瘤的同时,最大限度保障术后生活质量和避免二次手术,是困扰妇科肿瘤医生近二十年的临床难题。


近日,浙江省肿瘤医院妇瘤外科于爱军教授团队成功完成了妇科领域首例针对卵巢癌患者的“支架法肠转流术”,该创新术式为晚期妇科肿瘤伴肠道转移的患者提供了全新的治疗选择。



“保命”与“保质”

困扰超根治手术20年的难题


“妇科恶性肿瘤中,卵巢癌的生存率最低,复发率最高,它的5年生存率约为30%-40%。”于爱军主任提到,由于卵巢位于盆腔深处,体积小,多数患者早期没有典型的症状,很难被早期发现。约70%的患者确诊时已是晚期。


卵巢癌超根治术是晚期患者实现长期生存的重要手段之一,迄今已有二十年的发展历史,其目标是达到R0切除(术后肉眼无残留)。然而,当肿瘤侵犯肠道需行直肠切除吻合或多处肠管修补时,最凶险的并发症——吻合口瘘(肠道缝合处破裂导致粪便渗漏腹腔),始终是高悬在医患头上的“达摩克利斯之剑”。


为预防这一致命并发症,近二十年来,临床上常采用预防性人工造口(俗称“粪袋口”,如图1)。


图1:传统的预防性造口术(图源:浙江省肿瘤医院)


这一术式虽能保护吻合口,但代价巨大:患者需长期携带造口袋,生活质量严重下降,并面临水电解质紊乱、肾功能损伤等风险;更关键的是,患者必须在术后化疗中间或化疗结束后接受第二次手术来还纳造口,这不仅可能带来如再次发生吻合口瘘、切口感染等的额外痛苦、费用和手术风险,还可能导致肠道功能长期异常,甚至延误必要的术后化疗。


因此,如果有方法既可以达到保护性造口的作用,又可以减少造口带来的生活不便及并发症、避免二次手术、更快地恢复肠道的功能,必将让患者极大获益。


创新破局,

“支架法肠转流术”实现一举多得


为解决这一难题,于爱军主任团队借鉴并创新性地应用了由浙江大学医学院附属邵逸夫医院蔡秀军教授发明的支架法肠转流术。团队成功将这一技术应用于一例既往有乳腺癌病史的晚期卵巢癌患者,该患者存着卵巢癌盆腹腔多发转移伴直肠侵犯,这是该术式在全球妇科肿瘤领域的首次应用。


于爱军主任介绍,该技术的核心原理是在卵巢癌超根治术中,在回肠末端植入一个可降解的小肠支架(如图2),并在其近端放置转流管。术后,肠道内容物被完全引流至体外,从而为远端的直肠吻合口和肠管修补处创造了一个“零压力、零污染”的完美愈合环境。


图2:支架法肠转流术(图源:浙江省肿瘤医院)


相较于传统造口,这一术式的突破性优势在于:


1.无需二次手术:植入的支架在术后约3-4周内自行降解,此时即可拔除转流管,患者体表仅留下一个快速愈合的小口,避免了第二次还纳手术。


2.保障术后治疗:避免了造口导致的肠液丢失和水电解质紊乱,为患者术后按时、足量接受化疗提供了保障。


3.提升生活质量:患者术后可经口进食,无长期携带造口袋的心理负担和生活不便,极大地维护了生命尊严。


多学科协作助力患者快速康复

填补空白,重塑晚期卵巢癌治疗格局


作为支架法肠转流术在妇科肿瘤领域的首次尝试,手术面对卵巢癌手术范围更广、创伤更大、术后化疗更早等多重挑战。“不同于直肠癌,卵巢癌超根治术手术范围更广,创伤更大,往往面临着多段肠管的切除及修补。此外,卵巢癌患者往往术后接受更早的化疗,因此对转流管拔除后的引流口愈合造成不利影响。”于爱军团队邢洁副主任医师介绍。


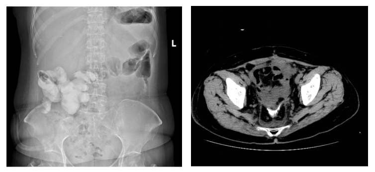
于爱军团队凭借谨慎的术前评估、个体化的手术方案和高超的手术技术,于2025年7月成功为患者邓女士(化名)施行了卵巢癌超根治手术,并应用支架法肠转流术替代了传统造口。术后第二周复查CT及腹部平片可见完整支架影(如图3)。



图3:术后盆腔CT及腹部平片可见完整小肠支架影子(箭头)

(图源:浙江省肿瘤医院)


在妇科肿瘤外科、营养科及护理团队的通力合作下,患者邓女士术后恢复迅速,顺利进食,转流管引流通畅。术后复查显示支架位置良好,肝肾功能等指标稳定,并于术后第三周如期开始了首次静脉化疗。术后第四周,影像学证实支架已完全降解,转流管成功拔除,患者进食半流质后一切正常,吻合口愈合良好(如图4)。


对于这位肠转流支架管患者的护理,护士长傅丽英、责任组长张婉平倾注了很多心血。在患者带管期间确保合适的负压引流,使用正确的方法冲管,准确记录引流量和性状,为医生合理的补液及患者饮食提供依据。拔管后,在我院经验丰富的造口伤口专家的指导协助下进行引流管口的护理,确保引流管口的顺利愈合。


图4:术后腹部平片可见小肠支架完全降解(左)/肠道造影发现吻合口愈合良好(右)

(图源:浙江省肿瘤医院)


该手术的成功,填补了可降解支架法肠转流术在妇科肿瘤领域的应用空白。于爱军主任表示:“这项技术真正做到了在追求根治效果的同时,极大化地保护了患者的器官功能和生活质量。它避免了预防性造口及其带来的一系列问题,是晚期卵巢癌外科治疗领域一个重要的理念革新与技术突破,为众多面临类似困境的患者带来了新的希望。”


浙江省肿瘤医院妇瘤外科团队始终致力于妇科肿瘤的临床与科研创新,积极引进并转化国内外前沿技术,力求以更微创、更精准、更人性化的治疗方案,为患者赢得生机与尊严。


图5:于爱军主任团队 

来源:浙江省肿瘤医院


200 评论

查看更多