查看更多
密码过期或已经不安全,请修改密码
修改密码
壹生身份认证协议书
同意
拒绝
同意
拒绝
同意
不同意并跳过
基本资料
性别:男
年龄:68岁
身高:175cm
体重:65Kg
主诉:2012年前无明显诱因下出现腹胀伴便秘
既往史:体健
个人史: 无特殊
家族史:父亲食管癌、贲门癌;母亲肺癌
辅助检查
实验室检查:
2012-08(我院)肠镜检查:乙状结肠见一环周隆起性病变,表面糜烂,坏死,边界不清
病理: 乙状结肠腺癌
治疗经过:
2012-08-15行“乙状结肠癌根治术”
术后病理: 浸润型腺癌,中分化,肿瘤侵犯肠壁全层,肠系膜下动脉根部淋巴结1枚及肠周淋巴结13枚,均未见癌转移(0/1,0/13)
分期:pT4aN0M0,IIB期
术后辅助化疗:mFOLFOX6*4周期
第一次复发:
2017年10月常规检查
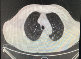
胸腹部CT(2017-10-18,本院):结肠癌术后,左肺上叶转移可能;肝脏、左肾囊肿
2017年10月20日出现右侧肢体偏瘫
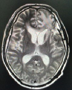
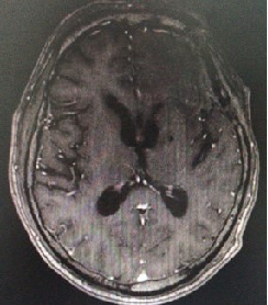
查头颅增强MR(2017-10-27,本院):示左侧额叶异常信号,考虑转移
CEA: 85.19ng/mL
2017-10-18:


2017-10-27:
T2:

增强T1:

肺转移合并≥ 2处肺外转移的治疗策略:

评估不同转移器官对患者生存预后影响的权重,做到主次分明,预后差转移器官优先,局部治疗对全身治疗影响较小优先
诊断:
乙状结肠腺ⅣB期脑、肺转移(rTxNxM1b)
ECOG: 2分
PFS:62m(5年余)
第一次复发后治疗:
因患者出现偏瘫及颅内压迫症状
2017-11遂至外院行转移瘤切除手术
术后病理:考虑肠癌脑转移
患者术后恢复可,肌力恢复
于2017-12-18至2018-01-14
针对全脑放疗,完成剂量DT40Gy/20Fx
于2018-01-15至2018-01-29
针对左额叶瘤床区加量照射,完成剂量DT60y/30Fx
期间同时辅以化疗
2017-12-13至2018-01-27“mFOLFOX6”方案化疗*2周期,具体为:L-OHP 150mg d1+CF 0.6 d1+5-Fu 0.7 d1+5-Fu 3.6 civ 46h d1 q2w
2018-01-27输注艾恒时出现胸闷气喘,大汗等,考虑为艾恒过敏,停药
2018-2-26疗效评估:
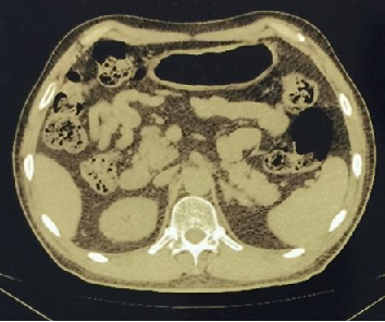
胸部+全腹部CT平扫增强(2018-02,本院):结肠癌术后,左肺上叶转移可能,较前减小
头颅MRI(2018-02-08,本院)左侧额叶、叶脑软化灶;左侧基底节区慢性脑梗死;双侧额叶、右侧颈叶、左侧基底节区缺血性改变;老年性脑改变;右侧乳突炎
疗效评价:PR
CEA:2.59ng/mL
2018-2-26疗效评估:PR
2017-10-18:


2018-2-26:


因患者既往有“艾恒”过敏,
于2018-02-28至04-17行FOLFIRI*4周期,
II°骨髓毒性,无明显胃肠道反应
2018-5-2胸部增强CT:SD

维持治疗:
于2018-05-10开始以“希罗达”维持治疗
2018-05-10 CEA:1.79ng/mL
2018-07-05 CEA:2.12ng/mL
期间定期复查:SD
单药维持治疗让晚期结直肠癌患者进一步获益

2018-7-5胸部增强CT:SD
2018-05-02:

2018-07-05:

第一次病情进展:
复查胸部+腹部CT(2018-10-24,本院):结肠癌术后,左肺上叶结节,考虑转移可能,较前略增大( 1.0*0.8cm VS 0.6*0.5cm)
PET-CT(2018-10-31):左肺上叶结节影,大小约1.5*1.0cm,放射性摄取轻度增高,周边毛刺,胸膜牵拉,考虑恶性病变。左侧肾上腺增粗,外侧支见结节放射性摄取增高,建议随访复查除外转移
2018-10-05 CEA:2.34ng/mL
诊断:乙状结肠腺癌术后ⅣB期脑、肺转移(rTxNxM1b)
考虑肺寡病灶较前进展,予转胸外科
ECOG: 2分
PFS:12m
肠癌肺寡转移灶切除术的生存
个体数据汇集分析:1983-2008年,927例结直肠癌肺寡转移灶手术预后分析
5年生存率 54.3%


CEA ≥5 ng/ml;DFI <36月;病灶数目>1为独立不良预后因素
之前是否有肝切除不影响预后
肺寡转移灶多次切除的预后


2018-10-24 胸部增强CT:PD
2018-07-05:


2018-10-24:


2018-10-31 PET-CT:



第一次进展后治疗:
2018-11-07于我院胸外科在全麻下行胸腔镜辅助下左肺上叶肿物楔形切除术
术后病理示:“左上肺肿块”1.3*1.2*1.0cm,癌组织未穿透肺脏层胸膜,标本切缘未见癌组织累及,结合病史及免疫组化符合肠腺癌转移(部分为粘液腺癌)
送检“第十组”淋巴结0/1未见癌转移
基因检测:
KRAS突变,NRAS、BRAF、EGFR阴性,
MSI稳定,pMR,TMB低(5.62突变/百万碱基)

姑息二线治疗方案:
第一次进展后肺转移灶切除术后治疗:
2018-12-05于我科行"CPT-11+雷替曲塞”治疗
具体为: CPT-11 0.3d1+雷替曲塞5mg d2
定期监测:
2018-11-11:

2018-12-04 CEA:3.45ng/mL

2019-02-25 CEA:20.09ng/mL




第二次病情进展:
复查胸部+腹部CT(2019-04-16,本院):左侧肾上腺见结节样高密度影,大小约3.6*2.6cm,CT值31HU,较前稍增大。考虑转移。
CEA:54.77ng/mL
诊断:乙状结肠腺ⅣB期脑、肺、肾上腺转移(rTxNxM1b)
ECOG: 2分
PFS: 5m
2019-04-16:

2019-04-19:

2019-04-27~2019-07-30 瑞戈非尼+希罗达
第二病情进展后治疗:
2019-05-07 全身乏力/纳差/嗜睡,脱水治疗后好转





目前情况:
2019-10-28 突然出现神志不清/高热


2019-10-31胸腹部CT:左侧肾上腺见团块状软组织密度影,大小约3.6*5.2cm,CT值25HU,较前稍增大,其内可见斑片状边缘模糊低密度影。考虑转移瘤,较前增大。
2019-11-05 脑MRI脑灌注:左侧额叶脑转移瘤术后,术区灌注参数(ASL、PWI)较对侧减低,暂不考虑转移或复发。
2018-11-01 CEA:180.60ng/mL
积极脱水治疗后能下床活动。
治疗经过:

治疗回顾:
问题:
第一次复发同时脑/肺寡转移,治疗选择?
第一次进展,次脑部病灶处理后稳定,肺部进展,如何治疗选择?
第二次进展,新的寡转移灶出现,如何抉择?
查看更多