查看更多
密码过期或已经不安全,请修改密码
修改密码
壹生身份认证协议书
同意
拒绝
同意
拒绝
同意
不同意并跳过
作者:第二军医大学儿科硕士 孔令凯
如果孩子出现了下肢疼痛,大家的第一印象可能是生长痛,但这种疼痛多发生在幼儿(3岁)以上,也没有发热等问题。
如果对于一位小婴儿,出现了肢体疼痛,不敢动、同时还有发热等问题,你会怎么考虑呢?肯定是向严重问题考虑对吧?比如骨折,比如骨髓炎这些严重问题。
但是有种情况,咱们以为很严重,但实际却不用特殊处理,今天咱们就说说这问题。
十月龄孩子发热、胳膊肿胀疼痛
这个是2020年12月的《Pediatrics in Review 》的一个病例,孩子10月龄,女孩,身体健康,2周前因为孩子拒绝使用右臂承重就医,家长否认外伤史,但行X线检查提示:尺骨、桡骨远端非移位性骨折,被诊断为右侧前臂远端骨折。
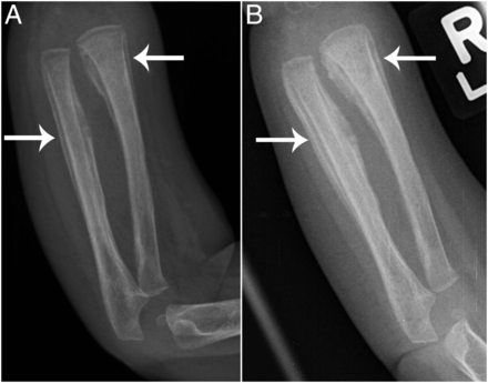
这种情况无须特殊处理,因为骨折原因不明,发病1周和2周后进行复查X线,提示骨折处鼓膜反应明显,骨膜炎加重,下图AB箭头所示。

图A是生病7天后的x线,图B是第二次就诊,也就是生病2周后的x线,图B提示鼓膜炎明显加重
2周来,孩子的右前臂一直肿胀,活动能力下降,孩子烦躁和疼痛加剧,生病2周后,再次就诊。
这次就诊时,孩子体温升高(38.5摄氏度),心率快(172次/分),血压升高(100/72mmHg)。右前臂弥漫性触痛,前臂中部到手腕处肿胀,无红斑、变色,血运良好。
因孩子发热,进行血常规检查等提示炎症指标升高,白细胞17×109/ L(升高),CRR123mg/L(正常小于8mg/L),血沉93mm/h(正常小于20mm/h)。
复查的x线(上图B)提示骨膜炎加重,进行了右前臂的核磁检查,提示骨膜炎和肌炎。

核磁检查:星号骨膜炎,箭头肌炎
结合以上资料,考虑骨髓炎可能性,给予口服抗生素治疗,但是效果不佳,请感染科和骨科医生会诊,决定进行骨活检。
看到这里,是不是感觉病情好严重?
这是个什么问题呢?
答案揭晓
在进行骨活检前,重新审查了之前的检查结果,发现常规的进行非创伤性评估时,头部CT检查提示下颌骨也有这种骨膜炎(下图箭头)。同时前臂X线结果,虽然有骨膜炎,但是没有发现真正的骨折线(提示之前不是骨折)。

结合孩子临床表现和多处骨膜炎问题,考虑该患儿是Caffey 病(婴儿骨皮质增生症),不用进行骨活检了,也不用使用抗生素了,只对症的退热止痛治疗就行了。
可见,必要时,请专科会诊多重要,多知道一点,孩子就能少很多检查,少很多不必要的治疗。
婴儿骨皮质增生症是个什么问题?
该病不是常见病,是因为COL1A1基因突变引起的胶原病。胶原纤维是骨基质的重要组成部分,突变时,胶原纤维导致沿骨膜表面的层状骨形成增加,就是从X线中看到的大量的骨增生。

上图中,红色箭头处的突变,导致的该疾病。
这种增生和骨膜损伤可能引起炎症反应,出现发热、白细胞升高、CRP升高等表现。
该病最早在1930年被报道,在1945年,被Caffey教授总结,定义为遗传性疾病。目前发现该病多在婴儿期起病,生后前几个月出现,是自限性疾病(自己能好),大部分在2岁左右恢复正常。
该病通常会影响长骨的骨干(胳膊、腿),但是也会存在于肋骨,下颌骨,肩胛骨和锁骨,其中下颌骨在70%~90%病例中存在,常作为诊断标准。

上图为下肢的皮肤肿胀和x线结果。
常见的临床表现为发热、软组织肿胀疼痛(骨质增生处)、烦躁,检验结果提示白细胞增多和炎症标记升高,骨骼X线提示多处骨皮质增生。
如果有以上表现,基本能诊断该病,进行基因检测,就能确诊该病了。
怎么治疗?
就是对症处理,包括退热、镇痛,正好使用大家熟悉的解热镇痛药:布洛芬(美林)或者对乙酰氨基酚(泰诺林)。
如果疼痛严重,可以考虑短期使用糖皮质激素治疗。无须使用抗生素等治疗。
会复发吗?有后遗症吗?
一般不会复发,但也有在青春期时复发的病例,治疗同上。
该病对生长影响少见,基本没有长期并发症,预后非常良好,大多数患者的病情完全缓解,没有后遗症。
但偶尔如果两个相邻的骨骼受到影响时,骨骼会融合,从而导致活动性问题。也有因为胶原蛋白问题,出现关节松弛的报道。
该病也可能与牙齿健康状况不佳、疝的发生率增加以及未来发生骨折的风险有关,但这些还没有明确。
最后提醒,本病是罕见病,虽然有数据提示每1000个婴儿里面有3个发病,但是看病例报道,完全没有这么多的病例。
写这个只为提醒医生们在遇到发热婴儿,找不到原因时要考虑到该病,家长们应该见不到,不要对号入座。
来源:儿科医生孔令凯
查看更多