壹生大学

壹生身份认证协议书

本项目是由壹生提供的专业性学术分享,仅面向医疗卫生专业人士。我们将收集您是否是医疗卫生专业人士的信息,仅用于资格认证,不会用于其他用途。壹生作为平台及平台数据的运营者和负责方,负责平台和本专区及用户相关信息搜集和使用的合规和保护。
本协议书仅为了向您说明个人相关信息处理目的,向您单独征求的同意,您已签署的壹生平台《壹生用户服务协议》和《壹生隐私政策》,详见链接:
壹生用户服务协议:
https://apps.medtrib.cn/html/serviceAgreement.html
壹生隐私政策:
https://apps.medtrib.cn/html/p.html
如果您是医疗卫生专业人士,且点击了“同意”,表明您作为壹生的注册用户已授权壹生平台收集您是否是医疗卫生专业人士的信息,可以使用本项服务。
如果您不是医疗卫生专业人士或不同意本说明,请勿点击“同意”,因为本项服务仅面向医疗卫生人士,以及专业性、合规性要求等因素,您将无法使用本项服务。

同意

拒绝

同意

拒绝

知情同意书

同意

不同意并跳过

工作人员正在审核中,
请您耐心等待
审核未通过
重新提交
完善信息
{{ item.question }}
确定
收集问题
{{ item.question }}
确定
您已通过HCP身份认证和信息审核
(
5
s)

【消化读图】站错位置的胰腺

2025-10-20作者:论坛报小塔资讯
原创
胃异位胰腺1例

首都医科大学附属北京安贞医院消化内科

石进 陈雪 张杰


01
病例简介



入院病情摘要

患者女性,56岁。患者于入院前3年无明显诱因出现上腹痛,为持续性钝痛,进餐后明显,向背部放射,伴反酸、烧心、嗳气、腹胀、纳差。

既往高脂血症病史。

查体:腹软,无压痛,未及包块。

胃镜检查提示,胃底体交界小弯偏前壁见一约20mm×18mm大小半球形隆起,表面黏膜光滑,质韧(图1和图2)。

图片

图1 胃镜:胃底体交界小弯偏前壁见一约20mm×18mm大小半球形隆起,表面黏膜光滑,质韧

图片

图2 胃镜:胃底体交界小弯偏前壁见一约20mm×18mm大小半球形隆起,表面黏膜光滑、连续,质韧(反转观察)

超声内镜提示,不均匀低回声病变起源于固有肌层,边界尚清晰,形状欠规则,截面测量为17mm×9.7mm,考虑为间质瘤(源于固有肌层)(图3),为进一步治疗收入院。

图片

图3 超声内镜:不均匀低回声病变起源于固有肌层,边界尚清晰,形状欠规则,截面测量为17 mm×9.7 mm(白色箭头)

治疗

入院后行腹腔镜探查+胃部分切除术,术中胃镜辅助定位。切除肿物剖面呈现黄白色、实性,质地中等,可见分叶状结构(图4)。

图片

图4 大体标本:黄白色、实性肿物,质地中等,剖面可见分叶状结构

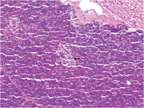
病理提示,胃固有肌层内可见腺体分叶状分布,无异型,考虑为胰腺组织,以胰腺腺泡为主,可见胰岛细胞(图5和图6)。

图片

图5 病理(×40):胃固有肌层内可见腺体分叶状分布,无异型,考虑为胰腺组织,以胰腺腺泡为主

图片

图6 病理(×200):胰腺组织中可见胰岛细胞(黑色箭头)

02
专家点评



异位胰腺(gastric ectopic pancreas)与胃间质瘤(gastric stromal tumor)均为黏膜下病变,缺乏特异性的临床症状,电子胃镜下均可表现为半球形隆起,表面光滑。

异位胰腺多位于胃窦,典型的异位胰腺中央有特征性的脐样凹陷(图7),超声内镜下显示位于黏膜下层的中高回声病变,内部呈现管状结构,而少数位于固有肌层或浆膜下的,显示为内部回声不均匀、形状不规则、边界不清晰。

图片

图7 胃镜:典型异位胰腺中央特征性的脐样凹陷

间质瘤多位于胃体固有肌层,少部分位于黏膜肌层,呈梭形、以均匀低回声病变为主,边界清楚,依据形态学特征分为良性、潜在恶性、恶性,可选择腹腔镜或手术切除。

本例患者病理诊断为异位胰腺,不同于典型的胃异位胰腺表现。该病灶位于胃底体交界固有肌层组织内,无脐样凹陷,超声内镜检查未见含管状结构的中高回声病变,无论是电子胃镜还是超声内镜的表现均不易与胃间质瘤相鉴别。

这提示我们,对于位于肌层、形态不规则的病变,在初步考虑为间质瘤的同时,要注意根据病变的形状、边界、回声与异位胰腺相鉴别。

版权说明:本文来源于中国医学论坛报“消化读图”专题,欢迎个人转发至朋友圈,谢绝媒体或机构未经授权以任何形式转载至其他平台

200 评论

查看更多