查看更多
密码过期或已经不安全,请修改密码
修改密码
壹生身份认证协议书
同意
拒绝
同意
拒绝
同意
不同意并跳过


选择下面哪一个?
①鳞状细胞癌
②颗粒细胞瘤
③神经内分泌癌

6张图片
如何分析这些图片

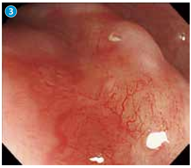
●背景黏膜血管透见性差,局部黏膜粗糙。在胸部下段食管后壁,见一中央伴有凹陷的平缓隆起性病变。

●通过减少空气量,观察病变,并没有发现病变形态改变,考虑病变整体较厚、较硬(→)。
如何解释
●胸部下段食管单发臼齿状隆起,考虑颗粒细胞瘤的可能。

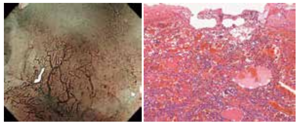
●近距离观察病变顶部凹陷处,见扩张的血管横行、纵行生长,不规则的分支呈网状分布。

●NBI下弱放大观察,顶部呈现较浅但依然可以识别的褐色区域(brownish area),内部为树枝状分布、不规则、缺乏环状的异常血管。

●观察到缺乏环状、不规则、树枝状的血管网。判断为不规则的R型血管(→)
。

●探及以第2~3层为主体、整体具有厚度、呈低回声的隆起,病变向黏膜下层挤压性生长(→),无明显固有肌层浸润。
●综合判断病变为以上皮下发育为主体的黏膜下肿瘤。微细血管为不规则网状的R型血管。疑为特殊组织类型食管癌。
进行最终诊断
与切除标本进行对比

上图:通过HE染色,可以看到在组织间质中核质比(N/C)较高的细胞集聚。
下图:通过免疫组化染色,突触素(synaptophysin)和嗜铬粒蛋白A(chromogranin A)染色为阳性,疑为神经内分泌癌。

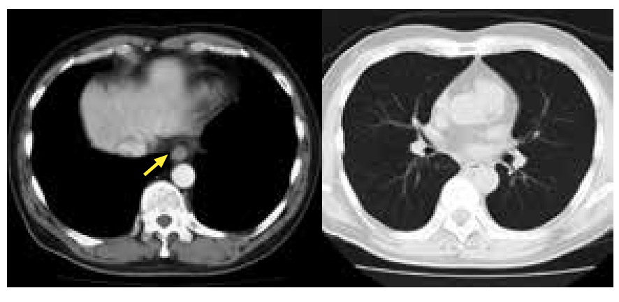
通过增强CT,可以看到肿瘤没有发生明显的转移,只局限于胸部下段食管。由于患者本人强烈希望进行内镜治疗,实施了ESD。

在黏膜下层发现了比较严重的血管增生及纤维化,考虑肿瘤有可能浸润至黏膜下层。
尽可能暴露透明的黏膜下层,紧贴固有肌层上方进行仔细剥离,对丰富的血管进行凝固止血。

图片右侧为口侧。在黏膜平缓隆起的中央,观察到不规则的发红凹陷。


NBI下放大观察到的R型微细血管从表层到深处,在组织学上显示逐渐变粗的倾向。
在胸部下段食管观察到伴有浅凹陷的隆起性病变,普通白光观察疑为颗粒细胞瘤。NBI下放大观察可以看到树枝状分布、缺乏环状构造、不规则的R型血管。EUS下呈现以第2~3层为主体、整体上具有厚度的低回声区域。该病例为以上皮下发育为主体的黏膜下肿瘤,微细血管呈现不规则网状的R型血管,可以诊断为特殊组织类型食管癌,NBI放大观察对诊断能够起到帮助。ESD后病理提示脉管浸润阳性以及垂直切缘阳性,追加了外科食管部分切除术和淋巴结清扫术,术后病理结果显示完全没有残留,实现了完整的治愈切除。
本例撰写过程中,得到了高知红十字医院病理科赖田显辞(赖田踬辞)医生的指导,在此深表谢意。
答案
病理分型为③神经内分泌癌。
本文摘自《食管癌ESD术前诊断》
活动页面累计签到4天获半年数字报
活动页面累计签到8天获1年数字报
活动页面累计签到15天同时阅读所有本书荐读章目者获实体书抽奖机会
[抽奖说明:本次活动抽奖名额根据书籍情况不同,本书抽奖限额1名,获奖者免费获赠《食管癌ESD术前诊断》实体书

查看更多