查看更多
密码过期或已经不安全,请修改密码
修改密码
壹生身份认证协议书
同意
拒绝
同意
拒绝
同意
不同意并跳过
基本资料
性别:男性
年龄:50岁
身高:176cm
体重:84kg
主诉:2016年12月体检B超发现肝多发占位
既往史:无特殊
辅助检查
影像学检查:
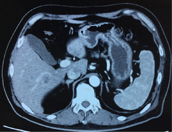
CT提示:肝多发转移。
2016年12月CT:



肠镜:乙状结肠距肛门13cm处,巨大不规则肿块。
病理:腺癌。
基因检测:K-ras,B-raf未检测到突变。
治疗过程:
2016年12月起化疗6疗程,
XELIRI方案联合西妥昔单抗:
伊利替康 120mg/㎡,静脉滴注,d1,8
卡培他滨 1500mg/(㎡·d),分两次口服,d1-d14,
西妥昔单抗400mg/㎡,d1
21天为一周期。
2017年05月CT较前PR




2017年06月在复旦大学附属中山医院手术,“3D腹腔镜乙状结肠癌根治术+特殊肝段切除+膈肌修补术+肝肿瘤术中射频”
术后病理:乙状结肠溃疡型腺癌,分化Ⅱ级,癌组织浸润肠壁浆膜下层,两切缘未见癌累及。检出肠系膜根部淋巴结1枚,未见癌转移(0/1),检出肠旁淋巴结14枚,其中1枚见癌转移(1/14)。
免疫组化:ERCC1 50%弱+,HER2 -,Ki-67 70%+,MLH1 +,MSH2 +,MSH6 +,PD1 (肿瘤-,间质2%+),PDL1(28-8)(肿瘤-,间质-),PDL1(SP142)(肿瘤-,间质2%+),PMS2 +。
基因检测:K-ras基因第2、3、4外显子未检测到突变。B-raf基因第15外显子未检测到突变。


术后化疗:
2017年06月起术后化疗,FOLFIRI+西妥昔单抗3疗程
伊利替康 180mg/㎡,静脉滴注, d1,
亚叶酸钙 400mg/㎡,静脉滴注,d1,
5-氟尿嘧啶 400mg/㎡,静脉推注,d1,
5-氟尿嘧啶 2400mg/㎡,持续静脉滴注46小时。
14天重复。
2017年08月MRI未见复发转移,但血Ca125升高




2017年08月起改方案化疗,FOLFOX6+西妥昔单抗5疗程
奥沙利铂 100mg/㎡,静脉滴注,d1,亚叶酸钙 400mg/㎡,静脉滴注,d1,
5-氟尿嘧啶 400mg/㎡,静脉推注,
5-氟尿嘧啶 2400mg/㎡,持续静脉滴注46h。
14天重复。
2018年01月起卡培他滨+西妥昔单抗维持治疗。
卡培他滨,1000mg/㎡,口服,bid,d1-d14。
西妥昔单抗,400mg/㎡,静脉滴注,d1。
21天一周期。
病人病程中血肿瘤指标变化:



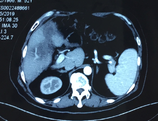
2018年04月,CT提示肝转移




2018年07月始继续化疗,FOLFOX6+贝伐单抗,每两周重复。
2018年11月CT提示肿瘤进展。





2018年12月始改方案化疗,FOLFIRI+贝伐单抗。每两周重复。
2019年01月复查CT提示病情无缓解。
2019年01月开始口服瑞戈非尼,160mg,qd。
2019年05月复查CT提示病情SD。





2019年09月开始化疗,伊立替康+西妥昔单抗,每两周重复。至今。
血肿瘤标志物变化:



病例总结:

查看更多