查看更多
密码过期或已经不安全,请修改密码
修改密码
壹生身份认证协议书
同意
拒绝
同意
拒绝
同意
不同意并跳过
患者性别:男性
患者年龄:50岁
简要病史:患者2月前无明显诱因下发病,以干咳为主,无明显胸闷气喘,伴全身乏力,就诊当地医院,查胸部CT示两下肺散在斑片影,予以抗感染等对症治疗(具体不详),住院约9天,患者症状好转出院。出院第一日下午出现发热,体温最高38.0℃,伴畏寒无寒战,再次就诊另一医院,查胸部CT示两肺炎症较前加重,继续予以“依替米星、替考拉宁”抗感染治疗10余天,患者自觉症状较前无明显改善,后就诊转入市级别医院,复查胸部增强CT示两肺炎症较前无明显吸收,拟以“肺部感染”收入我院,在普通病房予广谱抗生素治疗,憋喘加重,呼吸衰竭,氧饱和度60%,收入ICU。患者神志清楚,呼吸窘迫明显,听诊无异常。
PCT:0.064ng/ml
IL-6:29.7pg/ml
生化

血常规

相关免疫

支原体、衣原体

结核T-spots:阴性
胸部CT:












诊疗经过:患者入科后予无创通气,维持氧合;考虑患者治疗时间长,治疗效果差,反复使用各种抗生素效果不佳,可能为不典型致病菌引起,予纤支镜肺泡灌洗,送检基因测序,结果如下:

最终考虑PCP,予SMZ治疗中;考虑炎症反应重,予激素抑制。
肺孢子虫肺炎是由耶氏肺孢子菌( Pneumocystis jiroveci,PJ) 引起的一种机会感染性真菌肺病,自1942年首次报道人体感染以来,发病率逐渐上升,主要见于获得性免疫缺陷综合征、器官移植及肿瘤放化疗患者等。PJ无法在实验室中体外生长培养,但可在没有肺炎的健康人的上呼吸道被发现。
卡氏肺孢子虫肺炎(Pneumocystis carinii pneumonia,PCP)诊断主要依赖于HIV感染病史与临床症状,实验室及支气管镜检查,准确率仍有待提高。对PCP的治疗一般认为需要尽早尽快治疗,目前的一线药物仍是磺胺甲噁唑-甲氧苄啶复合剂( 复方新诺明)。
AIDS患者60%以PCP为首发症状,器官移植患者PCP发病为5%-25%。非HIV患者如果出现 PCP,常呈急性发病,伴有发热、干咳、呼吸困难,病死率极高。HIV患者PCP发病常较隐匿,前驱症状可以持续3-8周,表现为干咳、低热、食欲不振、嗜睡、呼吸急促及发绀等,肺部听诊常表现为正常。该病的典型特点是体征与严重程度往往不成比例。
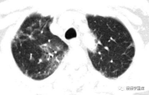
PCP会出现肺间质损害为主的渗出性毛玻璃状影和渗出性斑片状影,肺泡中低密度的泡沫样渗出物及弥漫性肺泡间质炎症是PCP患者胸部影像学呈弥漫性毛玻璃样改变的病理学基础,严重者可见斑片状影;病灶由肺门区向肺野辐射发展,但肺尖或上肺野清晰。X 线透视早期并无显著症状,而随着病情进展,可见肺门弥漫性间质性浸润,自肺门向肺野扩散,进而累及整个肺实质,严重者可以出现气胸。据调查,35%患者出现渗出性毛玻璃影,病灶自肺门向肺野辐射发展;29%为渗出性斑片状影,病灶大小不一、边界不清;还有的表现为间质性实变影;气囊性病变指的是肺内或胸膜多个大小不一的圆形,对称或多发性,直径1-6cm,囊内无内容,内外壁光滑。很少病人会出现粟粒样改变,两肺野或大部分肺野布满粟粒状、 大小不等的结节状、 小片状、 粗细不等的线条或网格状、 蜂窝状阴影。

图示:左上肺渗出性病变,呈磨玻璃样影,左上叶前段多个不规则囊肿及肺大泡。

图示:两肺磨玻璃样影及纤维网格状影 , 纵隔左右外前方条状影及多个囊肿

图示:两肺不对称的渗出性病变 , 左肺有多个大小不等的囊肿

图示:两肺网格状及条状影
血清乳酸脱氢酶( LDH), C 反应蛋白、 (1-3)β-D葡聚糖,S-腺苷甲硫氨酸等指标也可以作为PCP 的参考指标,但诊断特异性及灵敏度都有待提高。
临床上一旦确诊为PCP,就需要进行药物治疗。目前最常首选药物还是TMP-SMX。TMP为每天20mg/kg,SMX为每天100mg/kg,分4次口服,首剂加倍。指南推荐对确诊或疑似PCP的HIV感染患者,如果PaO2 <70mmHg 时(中重度),推荐使用肾上腺皮质激素进行治疗,来抑制 PJ诱导的肺内严重炎症反应。剂量为泼尼松口服,40mg每天两次服用5天,在第6-10天减至40mg每天一次。超过11天减至每天20mg。

来源:慢慢学重症
查看更多