壹生大学

壹生身份认证协议书

本项目是由壹生提供的专业性学术分享,仅面向医疗卫生专业人士。我们将收集您是否是医疗卫生专业人士的信息,仅用于资格认证,不会用于其他用途。壹生作为平台及平台数据的运营者和负责方,负责平台和本专区及用户相关信息搜集和使用的合规和保护。
本协议书仅为了向您说明个人相关信息处理目的,向您单独征求的同意,您已签署的壹生平台《壹生用户服务协议》和《壹生隐私政策》,详见链接:
壹生用户服务协议:
https://apps.medtrib.cn/html/serviceAgreement.html
壹生隐私政策:
https://apps.medtrib.cn/html/p.html
如果您是医疗卫生专业人士,且点击了“同意”,表明您作为壹生的注册用户已授权壹生平台收集您是否是医疗卫生专业人士的信息,可以使用本项服务。
如果您不是医疗卫生专业人士或不同意本说明,请勿点击“同意”,因为本项服务仅面向医疗卫生人士,以及专业性、合规性要求等因素,您将无法使用本项服务。

同意

拒绝

同意

拒绝

知情同意书

同意

不同意并跳过

工作人员正在审核中,
请您耐心等待
审核未通过
重新提交
完善信息
{{ item.question }}
确定
收集问题
{{ item.question }}
确定
您已通过HCP身份认证和信息审核
(
5
s)

北京友谊医院多学科研究团队最新研究:阐述炎症性肠病诱导抑郁的免疫学机制

2026-01-11作者:论坛报小塔资讯
非原创
图片

近日,首都医科大学附属北京友谊医院普外分中心田丹副教授、消化分中心宗晔副教授、临床医学研究所黄诗扬实习研究员和首都医科大学附属北京朝阳医院张栋教授在《胃肠病学》(Gastroenterology)杂志(中国科学院一区Top,JCR一区,IF:25.1)发表了题为“Perforin Generated by CD8+ T Cells Exacerbates IBD-Induced Depression by Promoting CXCL9 Production in Intestinal Epithelial Cells”的原创封面研究论文。该研究通过深入探讨炎症性肠病相关抑郁的临床现象,发现CD8+ T细胞产生的穿孔素促进肠上皮细胞产生CXCL9,引发海马神经元内质网应激从而加重炎症性肠病诱导抑郁的机制,阐述了肠道免疫与脑部疾病之间的密切关联。

炎症性肠病(IBD)患者发生精神障碍的风险显著增加,其与抑郁症的共病率约为25.2%。精神共病(特别是抑郁症)会进一步对IBD的疾病结局和患者生活质量产生负面影响。值得注意的是,多种T细胞介导的免疫性疾病与抑郁症存在共病关系,但详细机制仍不清晰。

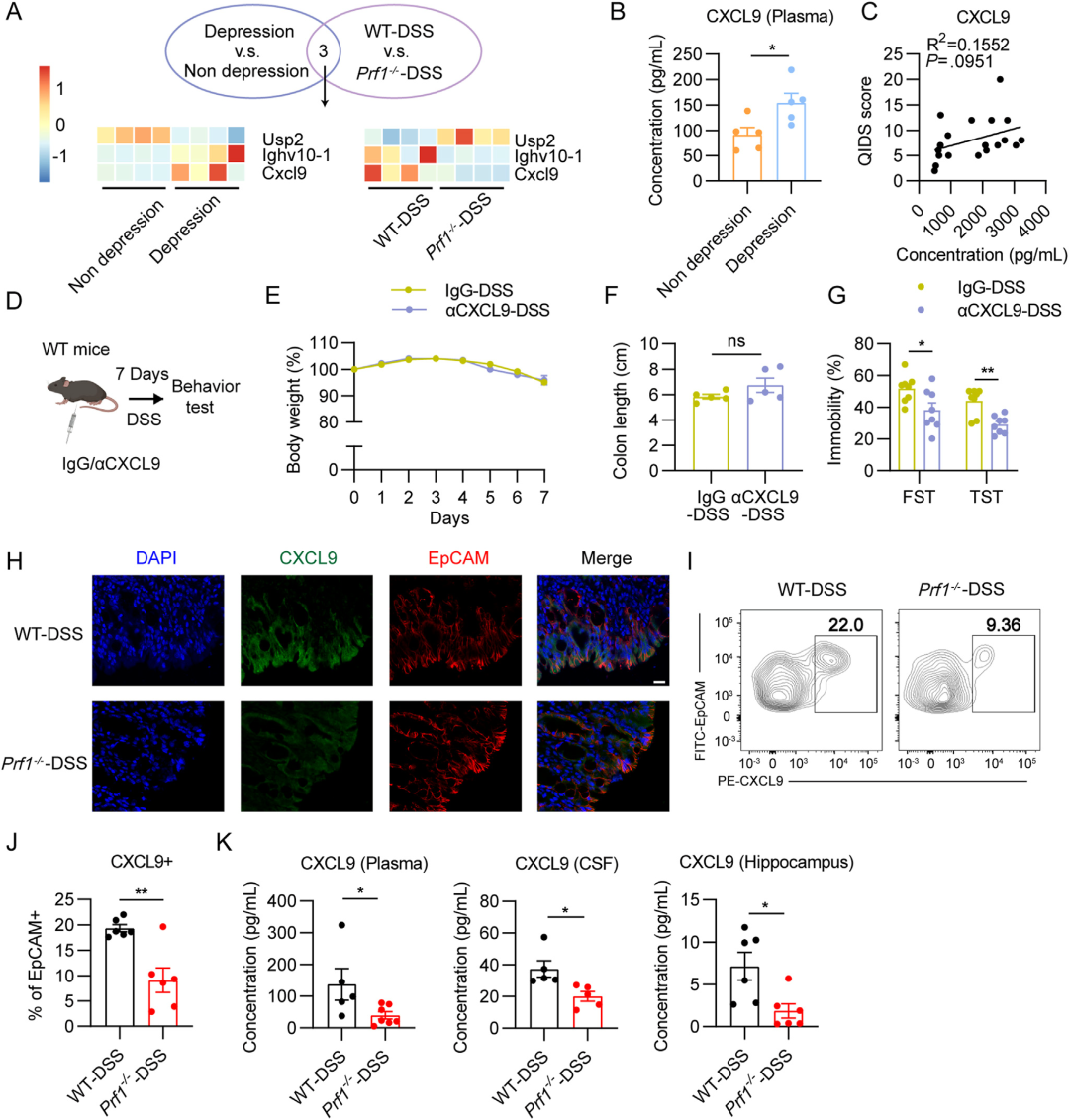
本研究通过分析64例结肠炎患者和70名健康对照者,结果显示,患者抑郁症状(QIDS评分)显著重于健康人群,且与肠道炎症活动度(SCCAI)呈正相关,提示肠组织病理变化可能介导抑郁发生(图1)。

图片

图1:CD8+ T细胞中穿孔素的表达与IBD诱导的抑郁相关

关键机制上,结肠CD8+ T细胞产生的穿孔素在两种结肠炎小鼠模型中被证实可加剧肠炎和抑郁样行为。转录组分析进一步鉴定肠上皮细胞表达的CXCL9为核心促进抑郁因子,其在抑郁结肠炎小鼠和严重抑郁UC患者血浆中均升高;CXCL9中和抗体可特异性缓解抑郁行为(图2)。肠-脑机制研究表明,穿孔素通过促进肠上皮细胞分泌CXCL9,加重海马神经元的内质网应激并促进抑郁行为;CXCL9则通过其受体CXCR3下游的HSPA5蛋白(内质网应激关键因子)加剧神经元应激反应(图3)。

图片

图2:穿孔素通过诱导肠上皮细胞分泌CXCL9分子入脑加重IBD相关抑郁

图片

图3:CXCL9分子通过诱导神经元内质网应激效应加重IBD相关抑郁

综上,本研究阐明了肠道炎症加剧抑郁症状的一条新机制:结肠CD8+ T细胞来源的穿孔素通过驱动CXCL9/CXCR3信号轴,进而诱发脑内质网应激,加重IBD相关抑郁。靶向穿孔素或CXCL9的干预策略有望为IBD患者的抑郁治疗开辟新路径。未来,基于该机制的药物开发或能打破传统抗抑郁治疗的局限,为改善IBD患者身心健康提供“双管齐下”的解决方案(图4)。

图片

图4:肠道炎症加剧抑郁症状的机制模式图

基于此研究,研究团队还创作了一幅手绘风格的图画来展示这一机制,该图被选为Gastroenterology杂志封面。封面以花叶为隐喻,象征抑郁相关的肠-脑轴失调。海马神经元被形象地比作一朵花,而肠道则宛如为花朵提供营养的枝叶。整枝花左半边沐浴在阳光下,花瓣与叶片完整,象征着健康的神经元和肠道上皮;而右半部则隐于阴影之中,花瓣枯萎,叶片被代表CD8+ T细胞的昆虫啃噬破坏。这些昆虫啃食象征肠道屏障的叶片,释放出炎症信号;信号随后沿着代表CXCL9趋化因子梯度的凸起茎状结构向上传递并损伤代表神经细胞的花朵。这一设计体现了源自肠道的神经毒性分子如何驱动抑郁的发生过程(图5)。

图片

图5:Gastroenterology杂志封面推介图片

首都医科大学附属北京友谊医院为本文的第一单位。北京友谊医院实习研究员黄诗扬、博士生潘乐涵、庞姝以及中国科学院生物物理所助理研究员郭晖为共同第一作者。首都医科大学附属北京朝阳医院张栋教授、北京友谊医院田丹副教授和宗晔副教授为共同通讯作者。该研究得到国家自然科学基金、国家科技攻关计划、北京市自然科学基金、北京市教育委员会科学研究计划项目、首都医学科学创新中心科研项目、北京市医管局登峰人才计划、青年北京学者和北京友谊医院“青才”人才项目的资助。


来源:首都医科大学附属北京友谊医院


200 评论

查看更多