查看更多
密码过期或已经不安全,请修改密码
修改密码
壹生身份认证协议书
同意
拒绝
同意
拒绝
同意
不同意并跳过
1. NAFLD合并糖尿病患者的运动建议是什么?
答:对于肥胖或超重NAFLD糖尿病患者,推荐每天30分钟中等强度有氧运动、每周5天以上,或者每周运动总时间 150分钟以上,辅以每周2-3次阻抗训练。中等强度有氧运动结合抗阻抗运动,有助于减少肌少症。训练体能较差的患者或不能耐受或参与有氧运动的患者,阻抗运动可能比有氧运动更适合。在正式运动前应先做低强度热身运动 5-10 min。运动即将结束时,再做5-10 min的恢复整理运动,并逐渐使心率降至运动前水平,而不要突然停止运动。无论是肥胖还是非肥胖 MAFLD 患者均可从减重中获益。
2. 肝硬化合并糖尿病患者生活方式宣教的注意点有哪些?
答:肝硬化患者常存在营养不良、肌少症和低血糖倾向,因此必须个体化管理肝硬化合并糖尿病患者的生活方式。对于超重/肥胖且肝功能良好的肝硬化患者,推荐与无肝硬化患者相同的饮食控制和体育锻炼方案来减重和治疗糖尿病,但应保持适量的蛋白质摄入(每天1.2~1.5 g/kg理想体质量)以便在减重过程中维持瘦体质量。合并营养不良或肌少症患者则应进行营养支持,营养补充策略可遵循与无肝硬化患者相同的原则,通过夜间加餐缩短夜间禁食时间促进蛋白质合成,并避免饥饿状态。
作者:杨蕊旭
病史简介
患者男性,40岁,因“反复转氨酶增高10年余”入院。
患者10余年前发现脂肪肝和转氨酶轻至中度增高,多次排查病因均无阳性发现,不规则服用保肝药物,但转氨酶持续增高。半年前体检再次发现肝功能异常,ALT 181 U/L, AST 90 /L,ALP 103 U/L,GGT 48 U/L,TB 13.6 μmol/L,超声提示脂肪肝。曾服用双环醇、易善复口服保肝,肝功能异常波动,最高时ALT 313 U/L,AST 112 U/L。自述平日时有肝区不适,睡眠差,无其他不适主诉。
既往发现空腹血糖受损(IFG)和糖耐量异常(IGT)4年,未服用药物治疗。
无服用肝毒性药物史,无酒精滥用史,吸烟史20年,1包/日。
无寄生虫感染史。
无结核、手术及其他慢性疾病史。
身高164 cm, 体重66.2 kg, BMI: 24.6 kg/m2
腰围 92cm, 臀围 97cm
T 36.5℃,HR 84 次/分,R 18 次/分,BP 117/72 mmHg
腹平软,无压痛、反跳痛及肌卫,肝脾肋下未及,移动性浊音(-),肠鸣音正常。双下肢无浮肿。
血常规:WBC 8.60×109/L,N 59.7%,Hb 152 g/L,PLT 204×109/L。
肝功能:ALT 174 U/L, AST 118 U/L,AKP 98 U/L,GGT 47 U/L,TB 12.2 μmol/L, DB 3.9 μmol/L,ALB 43.1 g/L。
肾功能:尿素氮 6.39 mmol/L ,肌酐 63 μmol/L,尿酸 525 μmol/L。
代谢指标:空腹血糖 7.2mmol/L,餐后两小时血糖 11.2mmol/L, 甘油三脂 1.04 mmol/L,胆固醇 4.72 mmol/L,LDL 2.64 mmol/L,HDL 1.52 mmol/L,脂蛋白a 9.8 mg/dl;糖化血红蛋白 6.7%。
病毒学检测: 乙肝五项 HBsAb(+),余均为阴性。HCV-Ab(-),HAV-IgM(-),HEV-IgM(-),CMV-IgM(-),EBV-IgM(-),风疹病毒-IgM(-),HIV抗体(-)。
凝血常规:PT 12.0 s, INR 1.13, 纤维蛋白原 2.34 g/L, D-D二聚体0.10 mg/L。
免疫学指标:ANA(1:40阳性)、ANCA、AMA、ASMA、自身免疫性肝炎指标均为(-)。
免疫球蛋白:IgG(18.7g/L)、IgE、IgM、IgA均正常。
铜蓝蛋白、甲功、肿瘤指标均正常。
心电图:正常
腹部超声:脂肪肝,胰脾双肾未见明显异常,胆囊未见结石,门静脉主干及分支、肝右静脉、脾门处脾静脉未见明显异常。
胸部CT:未见明显异常。
腹部磁共振MRCP:肠系膜脂膜炎,副脾结节。
Fibroscan: CAP 309 dm/s E 10.5 Kpa。
脂肪含量及百分比超标、骨骼肌含量下降。

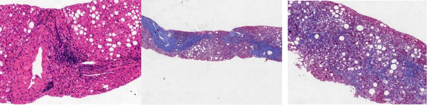
肝细胞脂肪变约40%(2分),气球样变明显(2分),小叶内可见点灶状坏死及桥接样坏死(2分),汇管区纤维组织增生,纤维隔形成,淋巴细胞,上皮样组织细胞浸润,少量浆细胞散在分布,局灶可见界板炎,小叶间胆管存在,汇管区周围小胆管轻度增生,未见淤胆。
免疫组化:HBsAg (-),CK7(+),CK19(+),Masson(++),网染(++),普鲁士蓝(散在阳性),PAS(+)
病理诊断:肝穿刺提示慢性活动性肝炎(G2S3),脂肪性肝炎(SAF:S2A4F3)。

1. 代谢相关脂肪性肝炎(MASH)
2. 2型糖尿病
3. 高尿酸血症
4. 向心性肥胖、隐匿性肥胖
5. 肌少症
1. 患者中年男性,反复肝酶异常10年,既往有血糖升高病史,未确诊糖尿病。
2. BMI提示超重、腰围增粗向心性肥胖。
3. 实验室检查提示转氨酶升高,尿酸升高,空腹血糖、餐后血糖达糖尿病诊断标准。
4. 超声提示脂肪肝、Fibroscan提示CAP值以及E值明显升高、人体学成分测定提示骨骼肌含量减少、体脂含量超标、肝脏穿刺提示脂肪性肝炎(SAF:S2A4F3)。
加强锻炼(自行车或快走1h),饮食结构调整,监测血糖。
目前身高164 cm,体重66.2 kg;
目标体重:59 kg,体重: -7.2kg;
脂肪:-11.1 kg;
肌肉:+4.1 kg。
水飞蓟素 77 mg tid po,二甲双胍 0.5 g bid po。
患者坚持快走或骑车1小时,饮食调整,监测血糖,口服水飞蓟素+二甲双胍。
1年内体重:66.2 kg→61 kg。
复查转氨酶正常,空腹血糖控制6 mmol/L,餐后血糖小于8 mmol/L
复查人体学成分测定提示体脂百分比下降。
该患者长期空腹血糖受损以及糖耐量异常病史,反复肝功能异常10年。该患者经系统排查(病毒、免疫、遗传、饮酒等),考虑为脂肪性肝炎引起的肝损害,并且合并肝纤维化3期。结合该患者糖尿病情况,为代谢相关脂肪性肝炎(MASH)。
按照亚洲人肥胖标准,虽然该患者BMI<25 kg/m2,无肥胖,但根据其腰围可考虑其为向心性肥胖,根据人体学成分测定考虑体脂率超标,隐匿性肥胖。同时患者还合并了骨骼肌减少肌少症。该患者通过1年的锻炼,增肌,减重,同时水飞蓟素保肝抗炎,二甲双胍改善胰岛素抵抗,取得了较好的治疗效果。
对于这类患者的治疗,需通过生活习惯、饮食、锻炼调整减少脂肪含量,增肌,改善胰岛素抵抗,可改善肝脂肪变以及脂肪性肝炎的情况,同时亦可以帮助糖尿病血糖的控制,改善糖尿病并发症的发生。50%的非肥胖NAFLD患者减重3%~5%可获得MAFLD缓解,而肥胖MAFLD患者需减重7%~10%才能达到同样的效果。对于这类患者可通过检测人体学指标、生化指标、超声、Fibroscan评估疗效。

杨蕊旭
上海交通大学医学院附属新华医院消化内科
医学博士 主治医师
毕业于上海交通大学医学院临床医学八年制
中国医药生物技术协会慢病管理分会第二届委员会委员,上海市医学会肝病专科分会脂肪肝学组组员
专业方向非酒精性脂肪性肝病,研究领域为脂肪性肝病与慢性乙型肝炎的脂质代谢相关研究
在国内核心期刊以及SCI发表相关论文及综述二十余篇,主持国家科学自然基金青年项目1项
擅长:肝脏以及胃肠道常见疾病诊治。
原创内容,转载须授权
查看更多