
-

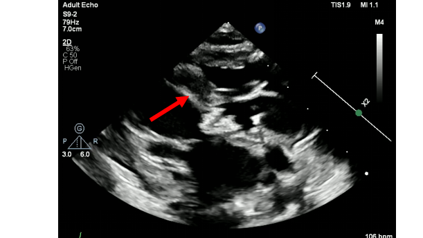
一例产前重度主动脉瓣狭窄的艰难治疗历程
2025儿科最佳临床实践上海交通大学医学院附属新华医院儿童心脏中心团队分享主讲嘉宾:李文娟 副主任医师点评嘉宾:陈笋 主任医师上海交通大学医学院附属新华医院儿童心脏中心创建于上世纪70年代,是国内最早开展小儿先天性心脏病诊治的临床专科。在老一辈专家刘薇廷教授、丁文祥教授的带领下,发展为集医、教、研一体的国内一流的小儿心脏病诊疗中心。本科室是上海市高教局重点学科、上海市医学领先学科、上海市首批小儿心血管临床医学中心,国家级继续教育中心和教育部国家重点学科儿科学的主要组成部分,先后承担并完成了科技部十五攻关项目、863计划、973子项目、国家自然科学基金等数十项课题,荣获国家、省市级科技进步二、三等奖、中华医学奖三等奖、宋庆龄儿科医学奖等十余项。科室品牌特色:1、强大的儿科和强大的产科催生出强大的围产医学。2、具有最优结构的“立体化”儿童心脏中心融。3、内外科融合治疗复杂先天性心血管疾病。4、围产医学背景下的先心病一体化治疗。5、巅峰领域先行者——宫内介入治疗。
2026-01-09 809 看过 免费 -

临床研究统计分析方法 | 临床科研实战班(5)
『疑难胃肠道疾病云课堂』全新升级,推出『临床科研实战班』系列直播,12月起每周四晚19:00开讲。课程全部由上海交通大学医学院附属第九人民医院李幼生教授团队具备丰富科研经验的一线医生主讲,紧扣临床场景,通过真实案例,直击您在临床科研中遇到的痛点难点,提供能即学即用的解决方案!【主题】临床研究统计分析方法【主讲】何一宁 统计师【要点】1.从数据类型到方法选择2.从单因素分析到多因素思维3.实战案例解析
2026-01-08 1761 看过 免费 -

严峰:痴呆的精神行为症状的药物治疗
精神科临床工作中,如何科学诊断?如何精准用药?如何安全管理不良反应?由上海市精神卫生中心主导的《精神科临床用药精英培养计划》集结多位权威专家,全面讲解精神科诊疗核心技能与最新进展。课程内容涵盖精神科基础技能、常见障碍诊治、特殊人群治疗、药物合理应用及不良反应处理,为临床医生提供系统、实用的学习平台。本期讲题:痴呆的精神行为症状的药物治疗授课专家:严峰 副主任医师上海市精神卫生中心上线时间:1月8日 19:00系列课程安排:本课程由浙江大冢制药有限公司支持
2026-01-08 3919 看过 免费 -

头痛不止,发热不退——1例化脓性脑膜炎的诊治与学习【徐医感染(疑难发热及感染分享第三十四期)】
2026-01-08 21193 看过 免费 -

反复发热为哪般,当心坏结在捣乱——1例组织坏死性淋巴结炎的诊治思路
2025儿科最佳临床实践团队分享主讲嘉宾:点评嘉宾:
2026-01-07 1203 看过 免费 -

静脉溶栓药物怎么选?|跟着指南学溶栓
讲题:静脉溶栓药物怎么选?讲者:董漪 副主任医师复旦大学附属华山医院神经内科本期内容1、发病4.5h内不符合取栓条件的卒中患者,静脉溶栓选替奈普酶还是阿替普酶?2、发病4.5h内有资格接受取栓治疗的大血管闭塞的卒中患者,静脉溶栓药物怎么选?3、超时间窗(4.5-24小时)卒中患者,静脉溶栓药物怎么选择?上线日期:1月7日(周三) 19:00
2026-01-07 16136 看过 免费 -

刘喆隆:《中国1型糖尿病高危人群筛查、监测与管理专家共识(2024版)》解读【同济内分泌云课堂】
本期讲题《中国1型糖尿病高危人群筛查、监测与管理专家共识(2024版)》解读直播时间1月7日(周三)19:00主讲嘉宾 刘喆隆 教授·华中科技大学同济医学院附属同济医院内分泌科
2026-01-07 11355 看过 免费 -

李霞:神经认知障碍的临床诊断与治疗
精神科临床工作中,如何科学诊断?如何精准用药?如何安全管理不良反应?由上海市精神卫生中心主导的《精神科临床用药精英培养计划》集结多位权威专家,全面讲解精神科诊疗核心技能与最新进展。课程内容涵盖精神科基础技能、常见障碍诊治、特殊人群治疗、药物合理应用及不良反应处理,为临床医生提供系统、实用的学习平台。本期讲题:神经认知障碍的临床诊断与治疗授课专家:李霞 主任医师上海市精神卫生中心上线时间:1月7日 19:00系列课程安排:本课程由浙江大冢制药有限公司支持
2026-01-07 3673 看过 免费 -

激素与衰老:美国内分泌学会科学声明【超人在线·指南解读】
超人在线·内分泌学院——指南解读本期讲题激素与衰老:美国内分泌学会科学声明(Hormones and Aging: An Endocrine Society Scientific Statement)直播时间1月7日(周三) 18:00~19:00
2026-01-07 5162 看过 免费 -

3.0 mm以上的药物球囊,在A型病变非支架内再狭窄推荐使用吗?
3.0 mm以上的药物球囊,在A型病变非支架内再狭窄推荐使用吗?中国医学科学院阜外医院杨跃进教授答疑来了~
2026-01-07 894 看过 免费













