200
评论
查看更多
密码过期或已经不安全,请修改密码
修改密码
壹生身份认证协议书
同意
拒绝
同意
拒绝
同意
不同意并跳过
患者男性,23岁。
未见异常
实验室检查:无特殊异常。
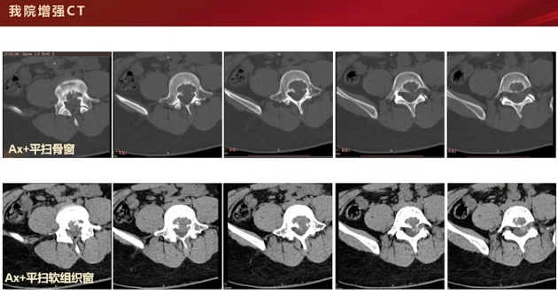
初次CT平扫显示,L5椎体后缘局部骨质密度减低,病灶边缘可见硬化边,无明显骨膜反应及软组织肿块。
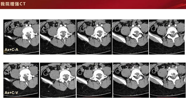
增强CT检查,在骨窗和软组织窗下可见L5后缘局部膨胀性骨质破坏,内缘呈扇贝样压迹改变,仍无明显骨膜反应。平扫时,病灶内可见斑斑点点高密度影,性质待定,可能为残存骨嵴、软骨源性钙化或骨化表现。该病例主要累及L5椎体,附件未见明显受累。增强扫描呈轻度强化,矢状位和冠状位可见病灶主要累及椎体,未累及附件。



随后的磁共振检查,T2加权像呈高信号,增强扫描可见分隔样环形轻中度强化,这些支持征象提示为软骨源性肿瘤。主要依据包括T2信号较高、膨胀性骨质破坏伴硬化边、内部点状钙化以及增强扫描呈环形和分隔样强化,综合判断为软骨肉瘤。





查看更多
专家点评
软骨源性肿瘤的分类与临床特征
软骨源性肿瘤分为良性、中间性和恶性。本次病例中的软骨肉瘤属于一级,软骨肉瘤分级为1-3级。其他类型还包括骨软骨肉瘤、骨膜软骨肉瘤、透明细胞软骨肉瘤、经典型软骨肉瘤及去分化软骨肉瘤。软骨肉瘤发生于脊柱的比例约为5%,发病年龄在13-68岁,男女比例约2:1,主要发生在腰椎(占68%),胸椎约占23%。多数软骨肉瘤分化良好,生长缓慢,临床症状出现较晚。不同病理分型的发病年龄有所差异,普通型大于3岁,去分化型50-70岁,间变型1-30岁,透明细胞型30-50岁。
软骨肉瘤病理与影像特征的关系
从病理角度看,透明软骨由多个软骨小叶构成,外观呈分叶状。在影像上,胶原纤维形成的小叶分隔在T2像表现为线样低信号。黏液基质在CT上表现为稍低密度,T2像呈明显高信号。软骨基质钙化则表现为环状或弧形钙化。
以一例典型的胸椎软骨肉瘤二级为例,胸椎影像显示病变累及椎体及附件,可见骨质破坏。CT显示不规则溶骨性破坏,伴点状钙化及轻度膨胀性骨质改变,整体密度显著不均匀。MRI表现更具特征性,T2像显示等高信号成分呈明显高信号,高信号内见点状低信号提示钙化灶,T1像呈低信号表现。增强扫描显示特征性的分叶状边缘强化,整体呈分叶状强化模式。这种分叶状强化结合钙化灶、T2高信号及轻度骨质膨胀,构成了典型的软骨肉瘤影像特征。