查看更多
密码过期或已经不安全,请修改密码
修改密码
壹生身份认证协议书
同意
拒绝
同意
拒绝
同意
不同意并跳过
60岁老年男性,主诉反复咳嗽咳痰8年余,间断呼吸困难5年余。
8年前被当地医院诊断为哮喘,口服止咳化痰药物治疗,但停药后症状复发,病情时轻时重;5年前接触酒精后出现剧烈干咳,伴喘息、哮鸣音,经急诊就诊后规律吸入舒利迭(50/250)1 吸每日两次,症状好转;目前存在干咳症状,异味刺激及受凉可使症状加重,同时伴有鼻塞、流涕、咽痒表现。
过敏性鼻炎、鼻窦炎史15年余。
13年前行鼻中隔偏曲矫正术,8年前行下鼻甲手术。
过敏性结膜炎2年。
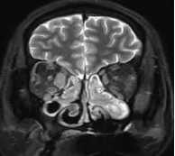
查体:生命体征平稳;双肺未闻及明显干湿啰音,心肺查体正常;特殊体征为双侧眼睑肿胀,其中右眼肿胀更显著,伴右眼球突出。
实验室检查:血常规提示嗜酸性粒细胞百分比及绝对值轻度升高;尿便常规、生化、凝血、肿瘤标志物、心肌酶等指标均为阴性;免疫相关检查显示IgE、IgG升高,补体C3下降,总IgE升高,自身免疫抗体及风湿三项均为阴性;过敏原检测、血清曲霉菌检测及曲霉菌抗体均为阴性。
肺功能检查:2023年6月未使用奥马珠单抗时通气功能正常,2023年6月与2024年4月两次支气管舒张试验均为阳性,但FEV1改善率及绝对值增加无明显变化。
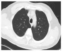
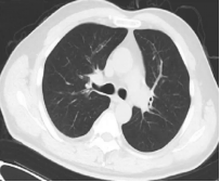
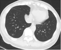
胸部CT:可见气道壁增厚、管腔轻度狭窄、气道壁少量渗出,存在中心性支气管扩张征象及双肺散在磨玻璃样浸润影。


鼻咽喉镜:提示慢性咽喉炎、干燥性鼻炎。
鼻窦CT:显示全组鼻窦炎、右侧下鼻甲肥大及鼻术后改变。
甲状腺超声提示结节性甲状腺肿;消化道超声提示脂肪肝、胆囊息肉;心脏超声大致正常。
支气管哮喘
1、变应性支气管肺曲霉菌病(ABPA):患者有哮喘症状发作,血IgE大于1000,嗜酸性粒细胞增高,影像学有支气管扩张和肺浸润影,有该疾病可能。但曲霉菌特异性IgE阴性,其他霉菌检查也阴性,可除外。
2、嗜酸性肉芽肿性多血管炎(EGPA):患者有嗜酸性粒细胞增高、鼻窦炎、哮喘且规范治疗控制不佳,需考虑。但患者无明显肾脏、外周神经等系统性损害,血ANCA阴性,支持证据不多。虽做了鼻窦黏膜活检,但病理结果提示中度慢性炎,无明显血管炎。
3、嗜酸性粒细胞支气管炎:主要症状为气道高反应性咳嗽,痰或诱导痰嗜酸性粒细胞大于3%才可诊断。该患者干咳无痰,不支持此诊断。
4、肿瘤性疾病:患者无肿瘤消耗症状,肿瘤标志物阴性,胸部CT及腹部超声未见占位性表现,从血液系统肿瘤及实体肿瘤方面证据均不足。
诊疗中完善查体,发现老年男性患者颈部皮肤松弛褶皱处有隐匿的术后愈合瘢痕,追问病史后得知,11 年前(2013年)患者因双侧颈部淋巴结肿大在外院行左侧颈部淋巴结切除术,术后病理提示良性,未再治疗,后续淋巴结逐渐缩小且未再肿大;5年前患者因泪腺堵塞接受右侧鼻腔泪囊吻合术+右侧人工泪管植入术。
结合患者存在支气管哮喘、鼻窦炎、唾液腺不均质改变、泪腺堵塞、淋巴结肿大等多器官表现,借外院淋巴结病理切片至本院会诊,同时复查颈部淋巴结超声提示双侧颈部淋巴结多发肿大,腮腺超声显示双侧腮腺及颌下腺不均质改变,临床初步怀疑IgG4相关性疾病可能。
辅助检查结果:鼻窦黏膜病理为中度慢性炎,无明显血管炎;外院病理切片会诊示涎腺组织重度慢性炎、腺泡萎缩、淋巴组织显著增生、局部间质硬化,浆细胞数量较多,无血管炎及嗜酸性粒细胞浸润,免疫组化提示IgG4阳性浆细胞>50个/高倍视野;本院右侧颌下腺穿刺活检病理结果与外院类似;复查IgG亚型显示IgG4水平显著升高(24.3g/L,正常值<2.01g/L)。

参照2020年日本风湿病学会IgG4相关性疾病诊断标准,患者满足多器官肿大表现、血清IgG4显著升高、病理提示淋巴细胞浆细胞浸润及间质纤维化等核心条件,最终确诊IgG4相关性疾病。
为明确IgG4相关性疾病的累及范围,进一步完善多部位影像学检查:
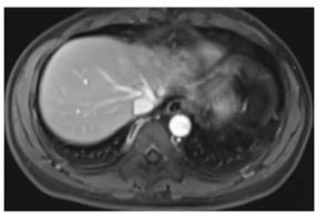
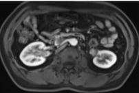
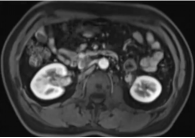
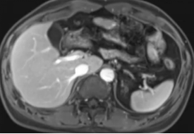
(1)上腹部增强核磁:提示肝左叶明显缩小,左肝静脉闭塞,考虑闭塞性静脉炎导致肝左叶废用性萎缩,肝右叶代偿性饱满。

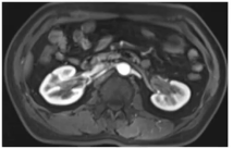
(2)下腹部增强核磁:显示右侧肾盂增厚,输尿管上段周围软组织增厚、管腔狭窄。


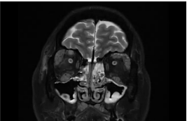
(3)眼眶增强核磁:可见右侧泪腺大于左侧,右侧内直肌明显增粗;结合既往检查,明确患者受累器官包括唾液腺、泪腺、淋巴结、鼻窦、肺、肝脏、泌尿系统、眼部等。


给予泼尼松40mg/d口服(按体重调整为半量激素),服药2周后每周减1片;同时联合吗替麦考酚酯0.5g bid口服。
疗效反馈:治疗不足1个月时,患者喘息、眼睑肿胀、鼻塞流涕症状逐渐减轻至完全消失;激素减量至20mg/d时,鼻塞流涕症状轻度反复,但咳嗽胸闷未再发作;复查显示IgG4降至3.4g/L,IgE及嗜酸性粒细胞恢复正常;眼眶增强核磁提示增粗的内直肌明显缩小。

查看更多
专家点评
本病例为一例以哮喘样症状起病、最终确诊为IgG4相关疾病的患者,其诊疗过程体现了对复杂临床表现进行深入鉴别诊断与多学科协作的重要性。
患者初期呈现相对典型的哮喘特征,如接触冷空气或过敏原后出现咳嗽、胸闷、气短;肺功能提示支气管舒张试验阳性;呼出气一氧化氮(FeNO)水平显著升高。经吸入糖皮质激素联合支气管舒张剂治疗,症状得到部分缓解,后续加用奥马珠单抗生物制剂后呼吸道症状进一步改善,临床符合支气管哮喘诊断。
然而,该病例存在显著不典型之处,即便经过生物制剂治疗,患者仍持续存在突出的鼻部症状与眼睑肿胀等多系统表现,单纯哮喘无法合理解释。通过详细追溯病史,发现患者十余年前曾有颈部淋巴结活检史。经病理科重新会诊该淋巴结标本,并结合新取得的颌下腺病理,提示为IgG4相关疾病。进一步检查证实患者存在多系统受累,且血清IgG4亚型显著升高,最终明确诊断为IgG4相关疾病。在启动全身糖皮质激素及免疫抑制剂治疗后,患者不仅哮喘样症状得到控制,肺外表现也显著改善。
此病例为我们带来重要启示:首先,对于表现为常见呼吸道症状但伴随多系统、尤其腺体受累表现的患者,需警惕潜在全身性疾病可能。其次,多学科协作(本例涉及呼吸科、病理科、眼科、风湿免疫科、普外科等)在罕见病诊断中发挥关键作用,各专业从不同角度共同完成诊断拼图。最后,本例是临床思维训练的典型示范——从常见病入手,依据治疗反应与不符特征逐步深入,通过病理追溯与系统评估最终明确诊断,充分体现了呼吸系统疾病鉴别诊断的严谨过程,对专科医师临床思维培养具有重要教学价值。