查看更多
密码过期或已经不安全,请修改密码
修改密码
壹生身份认证协议书
同意
拒绝
同意
拒绝
同意
不同意并跳过

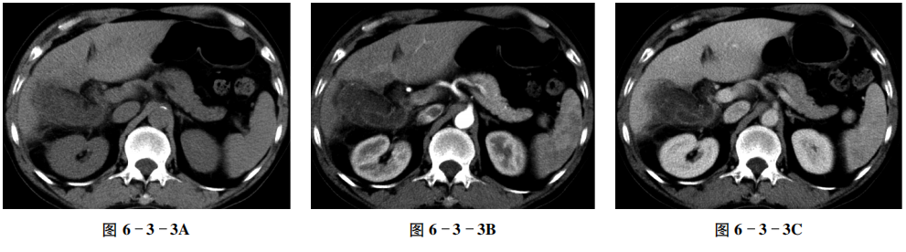
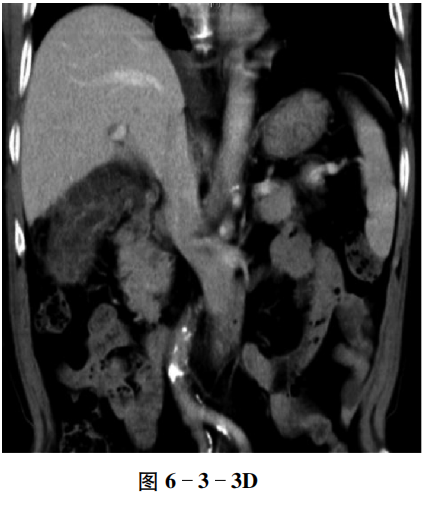
【病史摘要】 患者男性,72岁。右上腹伴肩背部疼痛6天。
【CT征象】 平扫示胆囊体积明显增大,囊壁不均匀增厚,周围脂肪间隙模糊(图6-3-3A);增强扫描胆囊壁呈多发“串珠状”强化,内见多发线状分隔,呈明显强化,胆囊黏膜线连续,周围肝胆界面模糊(图6-3-3B~D)。


【重要征象】 胆囊壁增厚伴“串珠状”强化。
【CT拟诊】 ① 胆囊癌。② 黄色肉芽肿性胆囊炎。③ 胆囊腺肌症。④ 慢性胆囊炎。
【病理诊断】 黄色肉芽肿性胆囊炎。
【评述】 黄色肉芽肿性胆囊炎是一种少见的胆囊慢性炎性病变,多数学者认为是由于炎症和阻塞(结石嵌顿、胆汁淤积)共同作用所致,以胆囊壁内形成胆汁性肉芽肿,伴重度增生性纤维化及大量泡沫样细胞为特征。男女均可发病,多数为50~60岁。该病属于良性病变但具有浸润性生长的特点,累及邻近结构时可引起穿孔、脓肿和瘘管形成。
CT表现
① 胆囊壁弥漫性或局限性增厚,一般厚度超过3 mm。② 胆囊壁内低密度结节,呈串珠样排列时表现为分隔状或栅栏状。③ “三明治”样强化:胆囊壁浆膜层、黏膜层强化,中间肌层不强化,胆囊黏膜线多连续。④ 80%合并胆囊结石和(或)胆管结石。⑤ 浸润性生长,邻近肝实质受累时强化程度低于正常肝实质,胆囊与邻近空腔脏器出现内瘘时,胆囊腔可见积气。
鉴别诊断
① 慢性胆囊炎:胆囊常缩小,胆囊壁弥漫性均匀增厚,无囊壁结节。
② 胆囊腺肌症:胆囊壁局限性或弥漫性增厚,胆囊壁内可见多发小憩室,增强扫描胆囊壁间可见多发无强化的R-A窦腔,呈“花环状”,而本病壁内可见低密度结节,无胆囊憩室形成。
③ 胆囊癌:胆囊壁呈不规则结节状增厚、僵硬,一般厚度超过5 mm,内壁凹凸不平,增强扫描黏膜线不连续,邻近肝实质易受侵,而本例壁内结节较胆囊癌表现明显,增强扫描黏膜线连续,周围无淋巴结转移征象。由于本病少见,且生长方式具有浸润性,因此临床诊断较困难,并且易误诊为恶性肿瘤,因此仔细分析病例影像征象,注意鉴别诊断,有助于提高术前诊断率,诊断不肯定时可穿刺活检助诊。
本文摘自《CT读片指南》
活动页面累计签到4天获半年数字报
活动页面累计签到8天获1年数字报
活动页面累计签到15天同时阅读所有本书荐读章目者获实体书抽奖机会
[抽奖说明:本次活动抽奖名额根据书籍情况不同,本书抽奖限额2名,获奖者免费获赠《CT读片指南》实体书(附赠主编签名照)]

查看更多