查看更多
密码过期或已经不安全,请修改密码
修改密码
壹生身份认证协议书
同意
拒绝
同意
拒绝
同意
不同意并跳过

蛛网膜下腔出血
【病史摘要】
男性,65岁。突发头痛1天。

【CT征象】
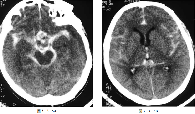
平扫示鞍上池、环池、侧裂池及脑沟内铸型高密度影(图3-3-5A、B)。
【重要征象】
脑沟、脑池内铸型高密度。
【CT拟诊】
①蛛网膜下腔出血。②假性蛛网膜下腔出血。③红细胞增多症。
【最终诊断】
蛛网膜下腔出血。
【评述】
蛛网膜下腔出血是颅内血管破裂后血液流入蛛网膜下腔所致,占急性脑血管疾病的7%~15%,临床上可分为外伤性与自发性两类。前者有明确外伤史,后者病因较多,51%为颅内动脉瘤、15%为动脉硬化、6%为动静脉畸形所致,近20%的病因不明。蛛网膜下腔出血主要临床表现为突然发病,发病前常有明显诱因,如劳累、激动等,出现突发性剧烈头痛、呕吐、意识障碍、抽搐、脑膜刺激等症状。
CT表现
①特征性表现为基底池、侧裂池及脑沟内呈广泛高密度铸型,一般在出血1周内显示率高。
②脑池及脑沟内的密度与出血距CT扫描的时间、出血量及红细胞内血红蛋白含量(红细胞比容)等有关,部分病例可呈等密度,表现为脑池、脑沟消失,或呈低密度而不易显示。
③可伴有脑内血肿、脑室内血肿或硬膜下血肿。
④脑积水的发生率约占蛛网膜下腔出血的20%,与脑室内积血有关。
⑤可伴有脑梗死,脑梗死与责任血管痉挛有关,如前交通动脉瘤破裂出血,可致双额叶近中线部位梗死而呈片状低密度影。
⑥相应病因的征象,如较大脑AVM、脑动脉瘤、脑肿瘤等。
鉴别诊断
①红细胞增多症:CT平扫脑表面及脑沟裂内血管常呈高密度影,且与邻近蛛网膜下腔脑脊液低密度影分界相对较清晰,增强扫描高密度区可明显强化,可与蛛网膜下腔出血鉴别。
②假性蛛网膜下腔出血:通常存在弥漫性脑水肿,脑白质密度减低,CT上高密度影分布对称,较为弥散,而蛛网膜下腔出血分布则与病灶(动脉瘤或动脉畸形)相关;其次,增强扫描前者高密度区可显著强化,后者则不强化。
本文摘自《CT读片指南》
活动页面累计签到4天获半年数字报
活动页面累计签到8天获1年数字报
活动页面累计签到15天同时阅读所有本书荐读章目者获实体书抽奖机会
[抽奖说明:本次活动抽奖名额根据书籍情况不同,本书抽奖限额2名,获奖者免费获赠《CT读片指南》实体书(附赠主编签名照)]

查看更多