查看更多
密码过期或已经不安全,请修改密码
修改密码
壹生身份认证协议书
同意
拒绝
同意
拒绝
同意
不同意并跳过
尊敬的读者朋友们:
壹生平台【资讯-肿瘤频道】致力于为各位肿瘤领域医生提供专业、权威、全面的科学抗癌知识,现正式推出“肿瘤学习周”特别策划:
周一:【规范化诊疗】指南解读、诊治要点
周二:【芸芸“肿”生】罕见病例、临床症状
周三:【简明扼“药”】治疗药物、不良反应
周四:【以理“辅”人】辅检判读、诊断标准
周五:【临床热点】免疫靶向、基因检测
周六:【行业动态】领域前沿、更多精彩
周日:【癌症防治】肿瘤患教、癌症预防
精彩内容每日更新,希望能为您的临床工作带来更多帮助,期待您的关注与分享!
作者:中山大学附属第六医院 曹务腾
临床病史
Ø男,68岁
Ø主诉:发现直肠肿物3天
Ø现病史:患者16年余前因“胃癌”于当地医院行胃切除术(具体不详),术后定期化疗、复查,未见肿瘤复发、转移征象。3天前患者至当地医院行肠镜检查提示直肠肿物
Ø实验室 :生化、肿瘤标记物等结果正常
Ø体检:锁骨上淋巴结未扪及。腹壁平坦,上腹部可见纵行15 cm长手术疤痕,无腹壁静脉曲张,未见胃肠型及蠕动波。腹软,无压痛、无反跳痛、腹部肿块未触及。肝脾肋下未触及,肝区双肾区无叩痛,腹部移动性浊音阴性,肠鸣音正常,5次/分。无震水音
Ø直肠肛门指检:直肠指检肛门括约肌收缩有力,直肠空虚,未扪及包块,指套未见血染
Ø外院肠镜:肛缘8 cm可见直肠息肉,表面光滑、充血
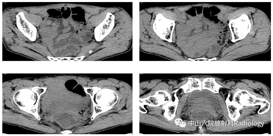
CT表现
平扫

CT表现
平扫+增强

超声表现

直肠壁隆起型肿物,占据1/2周肠壁,形态规则,内部呈多发囊性暗区,病变局限于黏膜和黏膜下层,固有肌层尚连续;CDFI:肿块内部及周边见稍丰富血流信号
MRI表现

直肠充盈后T2WI(斜轴位)
MRI表现

直肠MRI(平扫-常规序列)
MRI表现

直肠MRI(DWI+增强)
定位 数量 形态 大小 信号 边缘 强化 淋巴 远处
MRI表现

MRI印象:直肠黏液腺癌?















































来源:中山六院放射科Radiology
查看更多