查看更多
密码过期或已经不安全,请修改密码
修改密码
壹生身份认证协议书
同意
拒绝
同意
拒绝
同意
不同意并跳过

术语
蛛网膜内充满脑脊液的囊,不与脑室系统相通
▫2D cine PC(二维相位对比电影序列):检测囊肿是否与邻近蛛网膜下腔之间有沟通
影像
一般表现
▫边界清楚的圆形或卵圆形的脑外囊肿
▫与 CSF 等密度 / 等信号
位置
▫颅中窝(50%~60%)
▫脑桥小脑角区(10%)
▫鞍上(10%)
▫其他部位(10%)(大脑凸面,四叠体池)
MR
▫在所有序列上均与 CSF 等信号
▫FLAIR 上信号能够完全抑制
▫DWI 无扩散受限
▫CISS,FIESTA:显示囊肿壁以及邻近结构
主要鉴别诊断
表皮样囊肿
其他非肿瘤性囊肿(如脑穿通畸形囊肿)
慢性硬膜下血肿
临床问题
最常见的先天性颅内囊性病变
占所有颅内占位病变的 1%
任何年龄均可发病(75% 为儿童)
通常偶然发现
诊断要点
FLAIR 和 DWI 是鉴别蛛网膜囊肿和表皮样囊肿的最佳序列

(左图)图示颅中窝蛛网膜囊肿,蛛网膜裂为两层→,包裹脑脊液。颅中窝扩大,骨质受压变薄。注意颞叶⇒受压向后移位。(右图)颏顶位显示尸检脑标本偶然发现颅中窝蛛网膜囊肿。注意“分层”的蛛网膜⇒包裹大量脑脊液(已排空)。颞叶受压向后移位→,颅中窝扩大(J.Townsend, MD 提供)

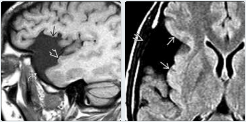
(左图)MR矢状位T1WI显示典型的颅中窝蛛网膜囊肿→。注意蝶骨大翼↪扩大延展,以及颞叶⇒向后移位。(右图)同一患者的横断位FLAIR 显示蛛网膜囊肿呈典型的“四边形”,边界清晰,边缘光滑,相邻皮质受压移位→。注意囊肿邻近的颅骨变薄⇒
本文摘自《儿童神经影像诊断学》
活动页面累计签到4天获半年数字报
活动页面累计签到8天获1年数字报
活动页面累计签到15天同时阅读所有本书荐读章目者获实体书抽奖机会
(抽奖说明:本次活动抽奖名额根据书籍情况不同,本书抽奖限额1名,获奖者免费获赠《儿童神经影像诊断学》实体书)

查看更多