查看更多
密码过期或已经不安全,请修改密码
修改密码
壹生身份认证协议书
同意
拒绝
同意
拒绝
同意
不同意并跳过
现病史
37岁中年男性,主诉面部不对称30余年,心悸、怕热、颈粗8年。
足月顺产出生,自幼身材略矮小,青春发育约在13-16岁。14岁起出现颅面部骨骼肿胀畸形,青春期加重。2010年当地医院CT提示左侧下颌骨髁状突及左侧颧骨眶下外侧壁骨质膨大等,诊断为左侧下颌骨颧骨骨纤维异常增殖症,行颧骨下颌骨肿物切除术,未见病理报告,术后畸形仍进展。2011年篮球撞击颈部后,MRI示上颈椎损伤、齿状突基底部骨折。
2016年患者出现发热,体温最高39℃,伴心悸、怕热、心率最高200次/分及呕吐,当地医院诊断为甲状腺功能亢进症,给予口服甲巯咪唑(赛治)10mg tid、普萘洛尔(心得安)10mg tid及退热治疗,症状好转但颈部逐渐增粗,期间发现血糖升高,诊断为“糖尿病”,使用胰岛素(甘舒霖30R)10单位早晚餐前皮下注射。此后患者病情持续发展,多次就医检查。
2020年8月30日,上海某医院甲状腺核磁共振平扫和增强提示甲状腺两侧叶占位伴中性囊变坏死,考虑腺瘤可能。9月30日于江苏某医院就诊,甲状腺功能提示亚临床甲亢状态,相关抗体检查正常,甲状腺彩超提示两侧叶等回声结节。同时还进行了其他内分泌激素检查,性激素、ACTH和皮质醇正常,生长激素略高,IGF-1正常,IGFBP稍低。糖尿病抗体阴性,馒头餐试验和胰岛素释放试验提示血糖、C肽峰值延后,骨密度提示低骨量,骨代谢部分指标异常,耳鼻喉科检查发现右耳重度感应神经性听力下降,内镜检查鼓膜完整。出院后继续使用赛治,并调整糖尿病治疗药物。
2023年2月,患者因甲状腺肿大再次就诊,甲功提示甲状腺毒症状态,甲状腺球蛋白升高,结节增大,摄碘率升高,显像显示甲状腺增大且放射性分布异常。其他内分泌激素方面,性激素、泌乳素正常,骨代谢指标有变化,糖尿病相关抗体检查发现谷氨酸脱羧酶抗体升高。再次进行馒头餐和胰岛素释放实验,血糖、C肽仍有异常,治疗上调整药物,但患者未坚持用药。
2024年1月,降糖方案调整为二甲双胍联合瑞格列奈。患者到我院就诊时,颈部活动受限,张口困难,左侧髋部和膝关节活动有摩擦感,有心悸,无其他特殊症状,食欲睡眠及大小便正常。2024年4月外院颈部CT显示下颌骨、颅面骨及颈椎有骨纤维异常增殖症表现。

既往史
无特殊。
个人史
有吸烟史,10余年,每日一包。否认饮酒史。
家族史
母亲有40年糖尿病病史,姐姐体健,父亲患病史不详。
入院检查
(1)体格检查
入院查体生命体征平稳,头颅畸形不对称,下颌前凸、前额突出、口周凹陷,前额皮肤有散在褐色斑点,左眼球轻度前凸,颈部活动受限,甲状腺Ⅲ度肿大,质地稍韧,心肺腹查体未见异常。
(2)实验室检查
血常规、电解质、肝肾功能、血脂正常,肝脏弹性检测值偏高,考虑药物性肝损伤。甲状腺功能检查显示亚临床甲状腺功能亢进,相关抗体与既往一致为阴性,甲状腺球蛋白显著升高。内分泌功能评估显示性激素、生长激素、IGF-1、泌乳素、皮质醇等均正常。糖尿病方面,空腹血糖8.49mmol/L,糖化血红蛋白6.76%,谷氨酸脱羧酶抗体仍升高,其他糖尿病相关抗体及尿ACR正常。
(3)影像学检查
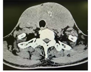
ECT显像见甲状腺弥漫性病变,摄碘率增高。CT平扫显示甲状腺增大、密度不均、有钙化及颅面骨和上段颈椎骨纤维结构不良。

CT平扫显示甲状腺增大、密度不均、有钙化及颅面骨和上段颈椎骨纤维结构不良。

甲状腺彩超见甲状腺几乎全为实性结节。
垂体核磁共振平扫和增强正常,骨纤维异常增殖相关检查部分指标有变化。肋骨检查发现部分前肋骨骨质稍有膨大,骨盆及四肢骨未见明显病变。

入院诊断与诊断依据
(1)诊断依据
1)骨纤维异常增殖症,4岁起颅面部骨骼畸形,青春期加重,手术未改善,还出现颈椎损伤及高位颈髓压迫合并变性,血钙磷基本正常,部分骨代谢指标异常;2)内分泌方面,2016年诊断甲亢,长期口服赛治,颈部增粗,甲状腺相关抗体正常,彩超见双侧多发结节且增大,其他内分泌激素评估正常;
3)有可疑牛奶咖啡斑,即前额散在褐色斑点。
(2)初步诊断
McCune-Albright综合征(MAS)
入院治疗
患者入院后,多学科会诊讨论后认为可临床诊断为MEN2综合征,建议手术治疗并在术后完善基因检测。2024年7月11日,患者接受左侧胸骨后甲状腺肿及甲状旁腺切除术、左侧胸骨后甲状腺肿切除术及双侧喉返神经探查术。术后病理提示结节性甲状腺肿伴腺瘤样结构、局灶钙化及纤维化,部分区域滤泡上皮增生活跃。

术后给患者补充左甲状腺素钠、骨化三醇和钙尔奇D,糖尿病治疗选用西格列汀联合二甲双胍,骨纤维异常增殖症建议继续随访观察,维生素D不足给予维生素D₂ 5000IU每周一次补充。术后随访甲状腺功能,根据结果调整左甲状腺素钠用量,同时适当调整骨化三醇和维生素D₂补充量,后续将持续随访患者病情变化。
1、疾病特点
该综合征发病率为1/10万-1/100万,临床特征为骨纤维异常增殖症、皮肤牛奶咖啡斑和内分泌腺体功能亢进,具备两个以上典型特征可临床诊断,若仅表现为骨纤维异常增殖症则需完善GNAS基因确诊。此综合征由GNAS基因突变导致G蛋白持续激活,影响内分泌腺体功能及骨骼干细胞分化。GNAS基因位于第20号染色体,突变常发生在第八或第九外显子,导致氨基酸编码错误,在病变组织检测敏感性高,外周血白细胞检测敏感性低。文献报道该综合征患者98%出现骨纤维异常增殖症,66%出现甲状腺异常,其中甲亢患者占28%,10%患者出现低磷血症,还可出现肢端肥大症、库欣病、性腺异常及牛奶咖啡斑等,随访发现患者还可能出现消化系统、心血管系统等疾病及肿瘤、甲旁亢和神经精神疾病,但患病率相对较低。


本病例患者明确有骨纤维异常增殖症和甲状腺功能亢进,临床诊断为McCune-Albright综合征,同时患者合并糖尿病,GAD抗体阳性,考虑为成人迟发性自身免疫糖尿病,还存在维生素D缺乏。
2、治疗策略
(1)骨纤维异常增殖症治疗
对于骨纤维异常增殖症患者,建议手术治疗,但手术时机关键。儿童时期症状明显但代谢活跃,应避免手术。四肢骨以稳定结构为主,若视神经受压,可考虑颅面骨减压手术,这是最佳手术适应证,手术以解决功能障碍为主要目的,若以改善外观为目的需全面评估复发风险,严重脊柱侧弯也需手术矫正。物理治疗缓解疼痛是重要手段,目前无明确有效药物预防或改善骨病变进展,积极处理肢端肥大症、甲亢等可减轻对骨骼影响,疼痛时需鉴别是疾病本身还是低钙血症骨折前兆,双膦酸盐对固有疼痛的治疗效果尚无研究证实。
(2)甲状腺功能亢进治疗
甲亢对骨骼有害,即便患者无明显典型症状,也应将甲状腺素水平降至较低。经典药物治疗对甲亢有效,在儿童中可作为一线治疗选择,但由于MEN2综合征患者甲亢会持续存在,最终可能需选择根治方法,如手术或射频消融。术后若有残留组织,因其中可能存在促进生长的GNAS基因突变,可能导致疾病复发、出现新发结节,患者可能出现左甲状腺素钠(优甲乐)用量减少、再发甲亢症状,所以术后残余组织需密切随访。查看更多
专家点评
从非典型甲亢切入,揭示了罕见McCune-Albright综合征的诊断逻辑。具体表现为:
1、全面而细致的病史追溯:通过系统回顾患者从4岁起长达二十余年的病程——包括颅骨畸形、病理性骨折、甲亢直至糖尿病等症状的先后出现,构建了完整的病情发展时间线,为诊断提供了决定性线索。
2、层层递进的鉴别诊断思维:面对常见疾病无法解释的临床表现,坚持“发现问题-提出问题-解决问题”的推理模式,从整体出发,关注异常细节,最终定位到源于G蛋白激活突变所致的MAS这一系统性疾病的本质。
3、卓越的教学示范价值:本病例完美示范了疑难内分泌疾病的诊断框架。它强调,当临床表象不符合常见病规律时,必须拓宽思路,通过抽丝剥茧的病史采集和逻辑分析,探寻潜在的罕见病。这一过程对于培养年轻医生和基层医生应对不典型病例的临床思维能力具有极高价值。