壹生大学

壹生身份认证协议书

本项目是由壹生提供的专业性学术分享,仅面向医疗卫生专业人士。我们将收集您是否是医疗卫生专业人士的信息,仅用于资格认证,不会用于其他用途。壹生作为平台及平台数据的运营者和负责方,负责平台和本专区及用户相关信息搜集和使用的合规和保护。
本协议书仅为了向您说明个人相关信息处理目的,向您单独征求的同意,您已签署的壹生平台《壹生用户服务协议》和《壹生隐私政策》,详见链接:
壹生用户服务协议:
https://apps.medtrib.cn/html/serviceAgreement.html
壹生隐私政策:
https://apps.medtrib.cn/html/p.html
如果您是医疗卫生专业人士,且点击了“同意”,表明您作为壹生的注册用户已授权壹生平台收集您是否是医疗卫生专业人士的信息,可以使用本项服务。
如果您不是医疗卫生专业人士或不同意本说明,请勿点击“同意”,因为本项服务仅面向医疗卫生人士,以及专业性、合规性要求等因素,您将无法使用本项服务。

同意

拒绝

同意

拒绝

知情同意书

同意

不同意并跳过

工作人员正在审核中,
请您耐心等待
审核未通过
重新提交
完善信息
{{ item.question }}
确定
收集问题
{{ item.question }}
确定
您已通过HCP身份认证和信息审核
(
5
s)

增效降毒,未来可期:艾托组合抗体联合方案4周期治疗,晚期鼻咽癌患者病灶明显缩小

2025-07-14作者:zhaomin资讯





鼻咽癌是我国华南地区及其他东南亚国家高发的恶性肿瘤,带来了较大的疾病负担和健康威胁,对于复发/转移性鼻咽癌(R/M NPC)患者而言,其后线治疗更长期面临着艰巨挑战,治疗手段与效果均亟待突破。在此背景下,全球首个基于MabPair®抗体工程技术开发的PD-1/CTLA-4双功能组合抗体——艾帕洛利托沃瑞利单抗(简称“艾托组合抗体”),通过2:1固定比例协同阻断双靶点,实现“增效降毒”,为身处困境的R/M NPC患者开辟出全新的治疗路径。

本期特邀中山大学肿瘤防治中心王琳医生分享一例晚期鼻咽癌病例,患者在经历了多次治疗后仍出现肺转移进展,且对化疗方案较为抗拒。经综合评估后,患者采用了艾托组合抗体联合贝伐珠单抗的创新治疗方案,疗效良好且安全可控。此外,本期还特邀中山大学肿瘤防治中心向燕群教授对该病例进行点评,深入探讨艾托组合抗体在鼻咽癌治疗中的科学机制及应用价值,为医学同道提供宝贵的借鉴与启示,助力鼻咽癌治疗领域的发展与进步。






病例介绍


患者基本情况


患者男性,37岁

主诉:鼻咽癌综合治疗后肺转移术后3月(就诊时间:2025年1月20日)

现病史:

  • 2018年8月,外院确诊鼻咽癌T3N3M0 Ⅳa期,行紫杉醇联合顺铂TP诱导化疗+顺铂同步放化疗。

  • 2023年2月,复查发现左颈Ib区肿大,考虑转移,于外院行左侧颈部清扫术,术后病理未见癌。

  • 2023年9月,常规复查胸部CT,右肺上叶部分实性结节,考虑转移可能。因个人原因未行治疗。

  • 2024年10月,外院复查PET/CT:右上肺结节、右肺门淋巴结转移。

  • 2024年12月13日,外院行肺转移病灶切除术,术后病理:鼻咽癌转移,2,4,11组淋巴结0/8转移

  • 2025年1月,我院胸部CT:右肺术后改变,右肺门,右肺叶间、纵隔多发肿大淋巴结,转移可能。

家族史:舅舅患鼻咽癌,已去世。

辅助检查




实验室检查

血浆EBV-DNA:569 copies/mL,其余实验室检查未见异常。



影像学检查

胸腹盆CT显示右肺门、右肺叶间、纵隔多发肿大淋巴结,融合成团,内见坏死,边界不清。

图片1.png

图1:胸腹盆CT结果

外院PET/CT(2024年10月)

图片2.png

图2:外院PET/CT结果

诊断


鼻咽癌综合治疗后肺转移术后进展

治疗经过




治疗方案

鉴于患者病情及治疗史,且患者对化疗方案较为抗拒,在充分考虑患者及其家属意愿,取得患者明确知情同意后,治疗团队决定采用艾托组合抗体联合贝伐珠单抗的创新治疗方案。患者分别于2025年1月21日、2月11日、3月4日及4月15日接受了四程艾托组合抗体联合贝伐珠单抗治疗。



治疗相关不良反应

躯干散在皮疹伴瘙痒(1级)、甲状腺功能减退(2级)



疗效评估

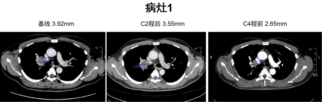
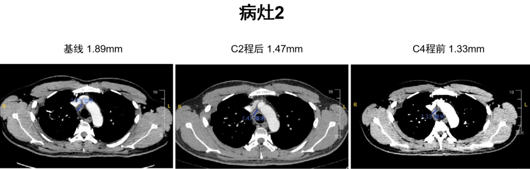
C2程后影像学评估为SD,C4程前为PR。

图片6.png

图3 病灶1影像学评估

图片7.png

图4 病灶2影像学评估

EBV-DNA动态变化:治疗过程中,EBV-DNA水平呈明显下降趋势。

图片8.png

图5 血浆EBV-DNA动态变化


病例点评


在本案例中,患者鼻咽癌综合治疗后肺转移术后进展,指南中一线治疗推荐均包含化疗,但是患者明确表达了强烈的去化疗意愿,这显著增加了制定有效治疗策略的难度。经过讨论,治疗方案集中于非化疗方案:免疫单药(PD-1单抗)、靶免联合(PD-1单抗+抗血管生成药物)、双免联合或免疫双抗。

然而,一项评估抗PD-1单抗作为后线治疗方案在晚期鼻咽癌中疗效和安全性的荟萃分析显示,该方案平均PFS仅为4.66个月,6个月无进展生存率为50%,疗效较为有限。而后线靶免联合治疗在机制上具有协同作用,可提升客观缓解率(ORR)。鉴于患者经济条件良好,且要求使用新一代双免治疗,最终确定将治疗方案升级为艾托组合抗体联合贝伐珠单抗。



01

机制突破:双靶协同实现高效低毒


艾托组合抗体是抗PD-1/CTLA-4的双功能组合抗体,其通过共轻链和不对称Fc改造技术,实现了PD-1单抗与CTLA-4单抗2:1精准配比的协同作用:PD-1单抗可解除T细胞杀伤抑制,CTLA-4单抗则解除T细胞活化抑制。

在抗体亚型的选择上,艾托组合抗体进行了巧妙的设计。PD-1单抗选用无ADCC效应的IgG4亚型,避免了效应T细胞的耗损;而CTLA-4单抗选用具有ADCC效应的IgG1亚型,可有效杀伤调节性T细胞。同时,经R255K突变改造后,CTLA-4单抗的半衰期缩短至1周,大幅降低了蓄积毒性,真正实现了“增效降毒”。

从临床数据来看,艾托组合抗体在晚期实体瘤患者的Ⅰ/Ⅰb期研究(QL1706-102研究)中显示出良好的抗肿瘤安全性,≥3级TRAE的发生率为16%,≥3级免疫相关不良事件发生率仅为8.1%。

在QL1706-102研究的鼻咽癌数据中,对于既往未经免疫治疗的鼻咽癌患者,确认的ORR达到38.7%,DCR为59.7%。安全性方面,≥3级TRAE的发生率为12.7%,最常见的TRAE是皮疹、甲状腺功能亢进和皮肤瘙痒;发生免疫相关严重TRAE的比例为7.3%;没有发生TRAE导致治疗中止或死亡。在艾托组合抗体联合吉西他滨和顺铂一线治疗R/M NPC的Ⅱ期临床试验中,ORR为82.1%,PD-L1高表达(CPS>50)的患者中ORR高达92.3%,充分证明了艾托组合抗体在鼻咽癌患者中的治疗价值。

在本病例中,艾托组合抗体的“增效降毒”优势得到充分彰显。该患者病史较长且复杂,曾多次接受治疗,包括同步放化疗、左侧颈部清扫术以及肺转移病灶切除术等,但病情仍出现进展转移。患者对化疗较为抗拒,这为治疗方案的选择带来了挑战。然而在采用艾托组合抗体联合贝伐珠单抗的治疗方案后,经过4周期治疗,患者的病灶明显缩小,且安全性良好可控。这不仅为该患者带来了新的治疗希望,也进一步验证了艾托组合抗体在临床应用中的优异疗效,为晚期鼻咽癌患者提供了新的治疗选择。




02

治疗前景:从中国智造到全球方案

艾托组合抗体的成功,充分彰显了中国原研药企在肿瘤治疗领域的强大实力。在本案例中,艾托组合抗体展现出显著优势,其独特的双靶点协同机制带来了显著临床疗效,且安全性可控,为患者提供了新的治疗契机。此外,该病例中治疗团队对用药时机的选择,体现了中国临床专家对创新药物的深刻理解和精准把握。

展望未来,仍需进一步明确艾托组合抗体在鼻咽癌治疗中的生物标志物选择、优化联合治疗策略以及评估长期生存获益,以便更好地指导临床实践。临床医生应加强对该药物作用机制、疗效特点及不良反应管理的认识,在临床中更精准地应用这一创新药物,为患者制定个体化、优化的治疗方案。

随着相关研究深入和临床经验积累,艾托组合抗体有望在鼻咽癌治疗中发挥更重要的作用,其疗效和安全性数据也为晚期鼻咽癌治疗指南更新提供了重要依据,为全球肿瘤治疗贡献了独特的“中国方案”。此外,该抗体的研发平台具有强大可拓展性,有望开发出更多针对不同瘤种的双功能组合抗体,持续推动全球肿瘤治疗领域的发展。




向燕群 教授

中山大学肿瘤医院  鼻咽癌科

  • 教授,主任医师,科副主任,医学博士,博士生导师

  • 中国抗癌协会第二届鼻咽癌专委会青委副主委

  • 中国医疗保健国际交流促进会鼻咽癌防治分会委员

  • 中国抗癌协会肿瘤营养与支持治疗专委会青委

  • 广东省抗癌协会放疗专业委员会第五届常委

  • 广东省抗癌协会肿瘤转移专业委员会第二届委员

  • 广东省健康教育协会精准肿瘤学教育专委会第一届副主委

  • 从事中晚期鼻咽放化综合治疗及转移鼻咽癌防治

  • 承担国家自然科学基金面上项目三项

  • 临床研究结果在 BMJ,Lancet Onco, JAMA Onco,CCR等高水平国际期刊发表。首次在国际上报道了TPC方案治疗鼻咽癌的系列研究,摘要入选ASCO、ESMO口头报告



王 琳 教授

中山大学肿瘤医院  鼻咽科

  • 医学博士,副主任医师,硕士生导师 

  • 中国人体健康科促会鼻科专委会常委

  • 中国抗癌协会康复会头颈学组委员

  • 中国肿瘤放射治疗联盟放射免疫青年委员会委员

  • 广东省抗癌协会放疗专业委员会青年委员

  • 广东省抗癌协会鼻咽癌专业委员会青年委员

  • 广东省临床医学学会鼻咽癌精准治疗专业委员会营养学组成员

  • 主持国自然青年项目、广州市科技计划等多项基金

  • 研究方向:鼻咽癌综合治疗,复发/转移鼻咽癌的诊治





审校丨中山大学肿瘤防治中心向燕群、王琳

整理丨中国医学论坛报 赵敏



感谢齐鲁制药对本项目的公益支持!

200 评论

查看更多