查看更多
密码过期或已经不安全,请修改密码
修改密码
壹生身份认证协议书
同意
拒绝
同意
拒绝
同意
不同意并跳过
40岁中年女性,主诉未避孕未孕1年。
结婚1年(均为初婚),正常同居,性生活正常,未避孕未孕至今。月经规律,G0P0A0。5年前体检发现子宫肌瘤,直径2cm,未治疗。2年前体检超声发现双侧卵巢囊肿(巧囊?),大小3cm×2cm。2023年行超声引导下双侧卵巢囊肿穿刺术,术后病理提示:未见恶性肿瘤细胞。
13岁初潮,5/28-30,量中,轻微痛经。
查体:H 170cm,W 58kg,BMI 20.07g/m²。妇科检查:发现子宫增大如孕12周大小,双侧附件区可触及囊性肿物。
肿瘤标志物:CA125 16.6U/ml,CA199 8.8U/ml。
月经第2天性激素检测:AMH 10.04ng/ml↑,FSH 0.517IU/L↓,窦卵泡数仅2-3枚,提示卵巢储备功能减退。
男方精液检查:精液量、pH和精子浓度、液化时间正常,但前向运动仅21.4%(<30%),诊断为男方弱精子症。
乳腺超声:双侧乳腺低回声结节,BI-RADS 3类(max 0.8cm×0.9cm)。
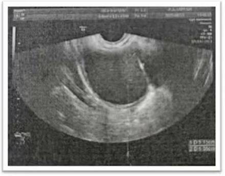
妇科超声:子宫体积增大(8cm×9cm×10cm),形态不规则,多发子宫肌瘤,较大者6.1cm×4.3cm×4.0cm,双侧卵巢可见极回声,其中一侧透声差,充满细密强光点,为典型巧克力囊肿图像。超声诊断为子宫增大、多发性子宫肌瘤、双侧卵巢子宫内膜异位囊肿。

1、原发性不孕症;2、卵巢子宫内膜异位症囊肿;3、子宫多发肌瘤;4、高龄
1、按照不孕流程进行全面检查和生育力评估
根据2021年中华医学会发布的子宫内膜异位症诊治指南,内异症合并不孕患者首先按不孕症流程评估生育力。
(1)卵巢储备功能减退
(2)男方弱精子症


2、治疗方案选择
评估生育力后,若患者合并高龄(年龄>35岁)、男方精液异常或输卵管问题,可直接进行IVF治疗;复发性卵巢子宫内膜异位囊肿,也不再建议二次手术,可直接IVF。

其他有手术指征或需了解病因的患者,可进行腹腔镜和宫腔镜手术。腹腔镜手术可消除病灶、对内异症分期分型并获得EFI评分。EFI评分用于预测内异症合并不孕患者腹腔镜手术分期后的自然妊娠情况,评分越高,妊娠概率越高。若EFI≥5分,可积极试孕;若EFI≤5分或合并深部浸润型子宫内膜异位症,自然妊娠概率低,建议直接IVF助孕。

3、促排卵方案选择
对于高龄且合并卵巢储备功能下降的患者,促排卵方案选择如下。
(1)温和刺激方案:以较低剂量或较短持续时间使用Gn,每日最大Gn剂量不超过150单位,减少对卵巢刺激,缩短药物刺激周期,累积Gn用量也会减少。治疗中可联合拮抗剂,同时使用来曲唑或克罗米芬增强卵巢敏感性。
(2)常规刺激方案:使用该方案时,建议加用辅助药物如生长激素,以改善卵子质量。
(3)改良自然周期方案:因患者卵泡常较少,此方案更温和且花费少。根据月经周期长短,在月经周期第6-8天开始监测卵泡发育,关注生殖激素变化决定扳机时机。若卵泡发育欠佳,可加小剂量GnRH激动剂防止卵泡提前破裂,也可使用拮抗剂。

4、温和刺激取卵,冻存胚胎
(1)第1周期采用温和刺激方案,月经第2天用HMG 150单位启动,共打4天,右侧未看到明显卵泡回声,左侧有3枚卵泡。月经第10天有3枚优势卵泡,给予HCG扳机,36小时取卵,获卵3枚,IVF受精,获得2枚胚胎冷冻。
(2)第2周期月经第2天双侧卵巢无明显卵泡回声,采用自然周期监测取卵,月经第9天左侧有一枚17.7mm卵泡,给予HCG扳机,获一枚胚胎冷冻。
(3)第3周期使用拮抗剂方案,月经第3天给予150单位FSH,打4天后复查发现两枚卵泡,生长速度偏慢,加量至225单位继续促排。月经第11天观察到两枚优势卵泡,给予HCG扳机,本周期获2枚胚胎冷冻。
患者经过3个周期取卵,共冷冻5枚胚胎。




5、妇科手术治疗
术前盆腔MRI检查显示子宫不规则增大,双侧见低信号占位,右侧卵巢巧克力囊肿大小为5.2cm×4.7cm。因患者多发子宫肌瘤且较大,行腹腔镜下子宫肌瘤剔除、双侧卵巢囊肿剥除、盆腔粘连松解与肠粘连松解术,恢复盆腔结构。术后病理提示子宫平滑肌瘤,卵巢双侧子宫内膜异位囊肿。

6、择期冻胚移植
术后8个月复查超声,子宫及双侧卵巢形态正常,开始准备胚胎移植。
第1周期解冻移植采用人工周期方案,转化日内膜10.9mm,移植8细胞Ⅰ级和6细胞Ⅱ级胚胎,患者未妊娠。随后进行宫腔镜检查,因患者月经期内膜厚,且为复发性流产、卵巢功能下降,胚胎珍贵,需排除其他问题。宫腔镜检查无明显异常,但诊刮病理提示散在浆细胞及浆细胞特异性标志物CD138阳性,诊断为慢性子宫内膜炎。


治疗慢性子宫内膜炎后第二次胚胎移植,通过调整雌激素用量准备内膜,最终解冻移植一枚囊胚期一级胚胎。移植后第9天HCG为114.7IU/L,1周后复查HCG水平良好,术后33天B超可见宫内胎心和胎芽,目前患者已孕15周,孕10周时顺利通过NT检查。


慢性子宫内膜炎由微生物感染造成,特征是子宫内膜间质中存在浆细胞,部分患者可出现异常子宫出血、轻微腹痛和白带异常等症状。在宫腔镜检查适应证人群中发病率为27.1%,育龄期不孕女性中达56.8%,反复种植失败和反复妊娠丢失患者中高达67%。

诊断标准:(1)宫腔镜联合内膜活检,宫腔镜镜下典型征象包括内膜灶性或弥漫性腺体周围出血、子宫内膜间质水肿、息肉;(2)内膜活检使用传统H&E染色和免疫组化,切片中见到5个间质细胞且免疫组织化学提示CD13阳性可确诊。

治疗:

查看更多
专家点评
本例患者是欧洲人类生殖与胚胎学学会重点关注的三类高难度人群(多囊患者、高龄患者、卵巢功能减退患者)之一,目前临床中卵巢功能减退患者占比达30%-50%,助孕治疗效果普遍不佳,需精准制定个体化方案。
本例诊疗的核心亮点在于坚守“生育力保护优先”原则,突破了传统“先手术再助孕”的思维定式。根据2021年内异症诊治指南,对于35岁以上、合并其他不孕因素的内异症患者,应优先考虑IVF-ET助孕,而非腹腔镜手术。因患者就诊时双侧卵巢窦卵泡仅2-3个,若先实施巧囊剥除术,极易导致卵巢功能进一步下降,甚至无法获取卵子,彻底丧失生育可能。另外,考虑到未手术患者巧囊存在恶变潜在风险,术前通过巧克力囊肿穿刺抽吸并送病理脱落细胞学检查,排除肿瘤细胞后再启动IVF,实现“生育保护”与“安全排查”的平衡。