查看更多
密码过期或已经不安全,请修改密码
修改密码
壹生身份认证协议书
同意
拒绝
同意
拒绝
同意
不同意并跳过
床边片上各种各样的管子和导线,他们分别是什么?从哪里来?位置对吗?
一、气管插管
气管插管是指将一特制的气管内导管经鼻腔、口腔再经过声门插入气管,从而保持气道通畅、通气供氧、防止误吸等。
正常位置:气管插管末端位于锁骨水平与T4水平之间,相当于隆突上5cm位置,末端因折叠会有误差,但上下不超过2cm。
异常情况:
1、 气管壁不应有膨隆,如果气管横径大于2.8cm,应怀疑有裂伤。
2、 末端位于右主支气管,常导致左肺不张或右侧张力性气胸等。
3、 末端位于咽喉,常导致声带损伤、吸入性肺炎。

图:正常气管插管,黄箭-气管插管末端;绿箭-气管隆突。

图:气管插管末端进入右主支气管(红箭),右肺上叶及左肺不张。
二、气管切开套管
气管切开术系切开颈段气管,放入金属气管套管,以解除喉源性呼吸困难、呼吸机能失常或下呼吸道分泌物潴留所致呼吸困难。
正常位置:套管末端位于切开与气管隆突之间,相当于T3水平,插管宽度相当于气管直径的2/3。
异常情况:晚期可见切口附近软骨纤维化伴破坏。

图:正常气管切开术后气管插管,蓝箭-切口,黄箭-气管插管末端;绿箭-气管隆突。
三、中心静脉管
中心静脉导管从锁骨下静脉插入,至上腔静脉近右心房处,用于快速补液和测量中心静脉压。
正常位置:锁骨下静脉和头臂静脉的交汇点在锁骨中内段,中心静脉管应在此处转向下,沿着脊柱外右侧缘走行,末端位于上腔静脉内(相当于T5右旁)。
异常情况:
1、最常见的错误位置是插入右心房或颈内静脉,导致心律失常、或中心静脉压测定不准确。
2、 末端穿出血管壁,常可见末端折叠弯曲。
3、 插入动脉内。

图:黄箭-中心静脉管末端的正常位置。

图:中心静脉管在右锁骨下静脉内折返(红箭)。
四、PICC管
PICC管全称叫外周静脉置入中心静脉管,经上肢肘部的贵要静脉、头静脉、肘正中静脉等外周静脉穿刺置管,将导管的尖端放置在上腔静脉的下1/3处的中心静脉导管,主要用于长期补液。
正常位置:位于上腔静脉内,与中线静脉管相同。
异常情况:长期放置容易出现移位。
五、肺动脉漂浮导管
也称Swan—Ganz导管,Swan-Ganz导管经静脉插入上腔静脉或下腔静脉,通过右心房、右心室、肺动脉主干、放置于左或右脉动脉。用于评价患者的血流动力学状态,有助于鉴别心源性肺水肿和非心源性肺水肿。
正常位置:位于左/右肺动脉内,距离肺门2cm左右。
异常情况:肺梗死、心律失常肺动脉穿孔、导管在腔内折返、打结。

图:经腹植入肺动脉漂浮导管,黄箭-导管末端。

图:肺动脉漂浮导管在左肺动脉内折返(红箭),末端进入右心室(绿箭)。

图:肺动脉漂浮导管进入右肺动脉远端(红箭)。
六、胸腔引流管
广泛地应用于气胸、胸腔积液的引流。
正常位置:气胸的置管末端一般在前上胸腔,胸腔积液的置管末端一般在后下胸腔,任何一个侧孔均不应超出胸壁范围。
异常情况:损伤肋间动脉造成大出血,穿刺造成肝、脾损伤,气胸、肺挫伤、复张性肺水肿。

图:右侧气胸,胸腔引流管置入术后,黄箭—引流管末端位于右上胸腔,蓝箭—侧孔位于胸壁内。

图:胸腔引流管穿过纵隔进入左侧胸腔内(红箭)。
七、心脏起搏器
通过脉冲发生器发放由电池提供能量的电脉冲,通过导线电极的传导,刺激电极所接触的心肌,使心脏激动和收缩,从而达到治疗由于某些心律失常所致的心脏功能障碍的目的。
正常位置:正常电极导线的末端位于右心室,紧贴室壁,可能有轻度的弯曲,但并非尖锐的折弯。部分起搏器电极导线末端可位于右心房或冠状窦。
异常情况:断裂的电极导线可进入静脉内游走,或者刺破心脏。

图:红圈—双极起搏器,绿箭—右心房电极,红箭—右心室电极
八、植入型心律转复除颤器(ICD)
ICD具有支持性起搏和抗心动过速起搏、低能量心脏转复和高能量除颤等作用,能在几秒钟内识别病人的快速室性心律失常并能自动放电除颤,明显减少恶性室性心律失常的猝死发生率,挽救病人的生命。
正常位置:一电极导线位于上腔静脉或头臂静脉,另一电极导线位于右心室。
异常情况:电极导线脱落或移位。

图:红箭—电极导线,导线较心脏起搏器导线的密度低。
九、主动脉球囊反博(IACB或IABP)
是机械性辅助循环方法之一,通过物理作用,提高主动脉内舒张压,增加冠状动脉供血和改善心肌功能。已广泛应用于心功能不全等危重病患者的抢救和治疗。
正常位置:导管近端位于左锁骨下动脉末端,远端位于肾动脉开口附近。
异常情况:如果导管太近,球囊可能阻断大血管导致中风,如果球囊太远,作用降低;
还可能造成主动脉夹层。

图:主动脉球囊反博置入术后,球囊(黄箭)位于主动脉弓(蓝箭)下约2cm。

图:主动脉球囊反博置入,球囊近端(红箭)低于主动脉弓(绿箭)
十、胃管
胃管是由鼻孔插入,经由咽部,通过食管到达胃部,多是用来抽胃液,也可以用来往胃里注入液体提供给患者必须的食物。
正常位置:末端位于胃腔内,而且在胃腔内至少有10cm的管道。
异常情况:
1、 位置异常:误插入气管、支气管、或在食道内折返。
2、 穿孔:常见于颈段食管壁,也可位于胃壁。

图:正常胃管,黄箭-胃管末端
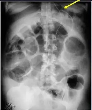
十一、肠内营养管
是经胃肠道提供代谢需要的营养物质及其他各种营养素的营养支持方式。
正常位置:可分为幽门前置管(胃内置管)和幽门后置管两大类,后者还可分为十二指肠内置管和空肠内置管,常见的置管末端位于十二指肠内。
并发症:胃肠道穿孔,吸入性肺炎。

图:正常肠内营养管,末端位于十二指肠球部(绿箭)。

图:肠内营养管进入右下叶支气管(绿箭),然后折返跨过气管隆突,末端位于左下叶支气管(红箭)。
来 源 : 鼎湖影像
查看更多