查看更多
密码过期或已经不安全,请修改密码
修改密码
壹生身份认证协议书
同意
拒绝
同意
拒绝
同意
不同意并跳过
50岁男性患者,身高1.72米,体重74kg,因下腹部腹痛腹胀,入院诊断为直肠肿瘤,拟行腹腔镜下直肠癌根治术及结肠造瘘术。
患者18年曾行直肠狭窄松解术,无冠心病、高血压等病史。
术前心电图、心脏超声、冠脉CT及血常规、生化、凝血谱等检查均无明显异常。
患者于下午4点15分进入手术室,入室心率89次/分,血压153/74 mmHg,氧饱和度97%。常规麻醉诱导后,4点50分手术开始,9点20分手术结束,过程顺利。术中血流动力学平稳,9点30分返回病房,出室心率75次/分,血压141/78mmHg,氧饱和度100%。手术入量1500ml,出血量200ml,尿量400ml。
9点35分患者进入复苏室,10分钟后神志清楚,完成指令性动作,遂拔除气管导管。9点55分,患者主诉恶心、呕吐,心率稍有增快,血压及氧饱和度尚可。10点时,患者出现大汗淋漓、烦躁、心率增快、血压下降,最低达80/47mmHg,呈现明显休克表现。10点至10点40分,血流动力学不稳定。期间引流液量少、呈血性,总量270ml,腹部柔软,无显著体征。10点45分,需用去甲肾上腺素维持血压。
针对此情况,首先暂停静脉镇静药物,快速补液,用血管活性药维持血流动力学稳定。同时,进行血气、血常规、凝血功能、肝肾功能、心肌酶谱等实验室检查,以及床边心电图和床旁FAST超声检查。

三次血气分析显示血红蛋白在9g/dL到11.6g/dL,虽无明显下降,但急性出血时血红蛋白反应可能不明显。床旁心电图、心肌酶谱、感染指标等检查无明显异常。
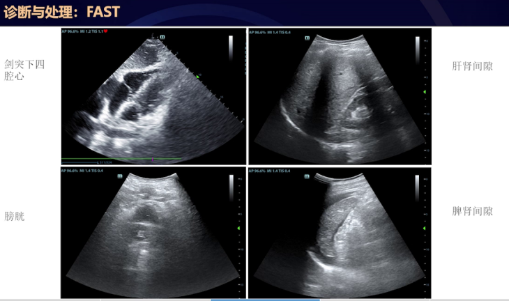
床旁FAST超声检查发现:剑突下四腔心图像显示心包腔内无明显积液,心脏收缩功能良好但容量欠;右上腹图像显示肝肾间隙、膈下无明显游离性液体;耻骨联合上图像显示膀胱周围无明显液性暗区;而左上腹图像显示脾脏周围有明显游离性积液。鉴于手术为下腹部手术,脾脏位置较高,与外科医生沟通后,持续监测脾脏周围游离性液体,发现其不断增加,高度怀疑为进行性出血。遂邀请外科和超声科医生,对脾脏周围游离性液体进行穿刺,抽出不凝血,证实为进行性出血。结合患者血流动力学不稳定,决定进行二次手术。


0点50分患者进入手术室,心率134次/分,血压93/49mmHg,去甲肾上腺素用量较大。0点55分进行偏小剂量的麻醉诱导,1点05分手术开始,腹腔内吸引出1500ml积血及血凝块。术中输红细胞1200ml、血浆920ml。最后一次血气分析血红蛋白为8.3g/dL,两次TEG结果显示凝血功能无明显异常。2点10分找到出血点,经输血输液,患者生命体征逐渐稳定,去甲肾上腺素逐渐减量。2点50分血管活性药停用,患者心率85次/分,血压130/70mmHg。3点15分手术结束,3点30分患者生命体征稳定,无血管活性药物情况下送至ICU继续治疗。术后第2天上午拔除气管导管,下午转回普通病房,术后第5天出院。
FAST是一种用于评估低血压和危重患者的超声检查,虽常用于创伤患者,但对任何危重患者都能提供关键信息。主要评估身体区域包括心包间隙、膈下间隙、肝肾间隙、脾肾间隙、结肠旁沟、盆腔(男性为膀胱直肠陷凹,女性为膀胱子宫陷凹即道格拉斯窝),以判断是否存在游离性液体,提示腹腔、腹膜后、胸腔内积血或心包积血,并评估心脏功能。



FAST超声探查体位主要为平卧位,适合围手术期患者。探查位置有右上腹、剑突下、左上腹、耻骨联合上。右上腹探头置于第8到第11肋间腋中线及腋后线,与肋骨平行,与身体长轴逆时针夹角45度,可观察右侧胸腔、膈下、肝肾隐窝等有无积液,还可观察膈肌判断胸腔与腹腔积液,以及判断膈神经阻滞情况。左上腹探头在左侧腋后线第6到9肋间,可让患者右侧卧位更好评估左侧相关区域。剑突下探头探查心包腔,评估心包积液及心脏功能,大量心包积液伴右室游离壁塌陷、心脏钟摆样运动等可能提示心包填塞。耻骨联合上探头可长轴或短轴扫查盆腔,寻找膀胱直肠陷凹或膀胱子宫陷凹的游离性液体。





自20世纪70年代起,腹部超声用于评估创伤患者,FAST已成为高级创伤生命支持课程一部分,是敏感且特异的腹腔积血筛查测试。规范化、流程化是危重症治疗特点,床旁超声以目标导向,有FAST、肺部流程等一系列方案。围手术期麻醉医生掌握床旁超声,有助于处理并发症、指导围手术期管理,为外科决策提供依据,尤其适用于血流动力学不稳定且不宜挪动做CT的患者。

查看更多
专家点评
麻醉复苏期低血压是常见临床状况,严重时可进展为休克,其处理关键在于查明并纠正根本病因。血压管理目标通常将收缩压维持在基线值的20%以内,且平均动脉压>65mmHg;对于脉压增大的血管硬化患者,需同时关注舒张压。当存在灌注不足证据时,需积极干预。
低血容量是复苏期低血压最常见原因,评估需综合观察引流液、回顾术中出入量、并借助中心静脉压、脉搏变异率及血红蛋白水平进行判断。药物影响亦不容忽视,包括术前未及时停用的长效降压药、具有负性频率作用的β受体阻滞剂、麻醉药物残留以及椎管内阻滞导致的交感神经抑制。此外,长期使用糖皮质激素患者可能存在肾上腺皮质功能不全,围术期补充不足也可能导致低血压。
若低血压进展为休克,需立即抢救并明确病因。外科患者以失血性低血容量性休克最为常见,但亦需鉴别分布性休克、过敏性休克、心源性休克、心包填塞、局麻药全身毒性反应、张力性气胸及肺栓塞等。
在此类危急情况下的快速评估中,床旁超声具有重要价值。尽管其对游离液体的敏感度不及CT,但可在床旁动态、重复监测心包、胸腔、腹腔及盆腔情况,尤其适用于不宜转运的高危患者。通过系列扫查观察积液动态变化,能为决策提供关键依据。