壹生大学

壹生身份认证协议书

本项目是由壹生提供的专业性学术分享,仅面向医疗卫生专业人士。我们将收集您是否是医疗卫生专业人士的信息,仅用于资格认证,不会用于其他用途。壹生作为平台及平台数据的运营者和负责方,负责平台和本专区及用户相关信息搜集和使用的合规和保护。
本协议书仅为了向您说明个人相关信息处理目的,向您单独征求的同意,您已签署的壹生平台《壹生用户服务协议》和《壹生隐私政策》,详见链接:
壹生用户服务协议:
https://apps.medtrib.cn/html/serviceAgreement.html
壹生隐私政策:
https://apps.medtrib.cn/html/p.html
如果您是医疗卫生专业人士,且点击了“同意”,表明您作为壹生的注册用户已授权壹生平台收集您是否是医疗卫生专业人士的信息,可以使用本项服务。
如果您不是医疗卫生专业人士或不同意本说明,请勿点击“同意”,因为本项服务仅面向医疗卫生人士,以及专业性、合规性要求等因素,您将无法使用本项服务。

同意

拒绝

同意

拒绝

知情同意书

同意

不同意并跳过

工作人员正在审核中,
请您耐心等待
审核未通过
重新提交
完善信息
{{ item.question }}
确定
收集问题
{{ item.question }}
确定
您已通过HCP身份认证和信息审核
(
5
s)

东方胸外MDT团队成功切除复杂巨大纵隔肿瘤,为患者点燃生命希望

2026-01-05作者:论坛报岳岳资讯
非原创
生的希望

面对二次手术粘连、肿瘤包绕大血管、紧邻脊柱神经等多重“生命禁区”的严峻挑战,上海市东方医院胸外科方文涛主任领衔的多学科诊疗(MDT)团队迎难而上,凭借精湛技术和紧密协作,成功为一位复杂巨大纵隔肿瘤患者实施高难度切除手术,再次彰显了团队在复杂纵隔肿瘤领域的领先实力。


绝望中的求索:巨大肿瘤威胁生命


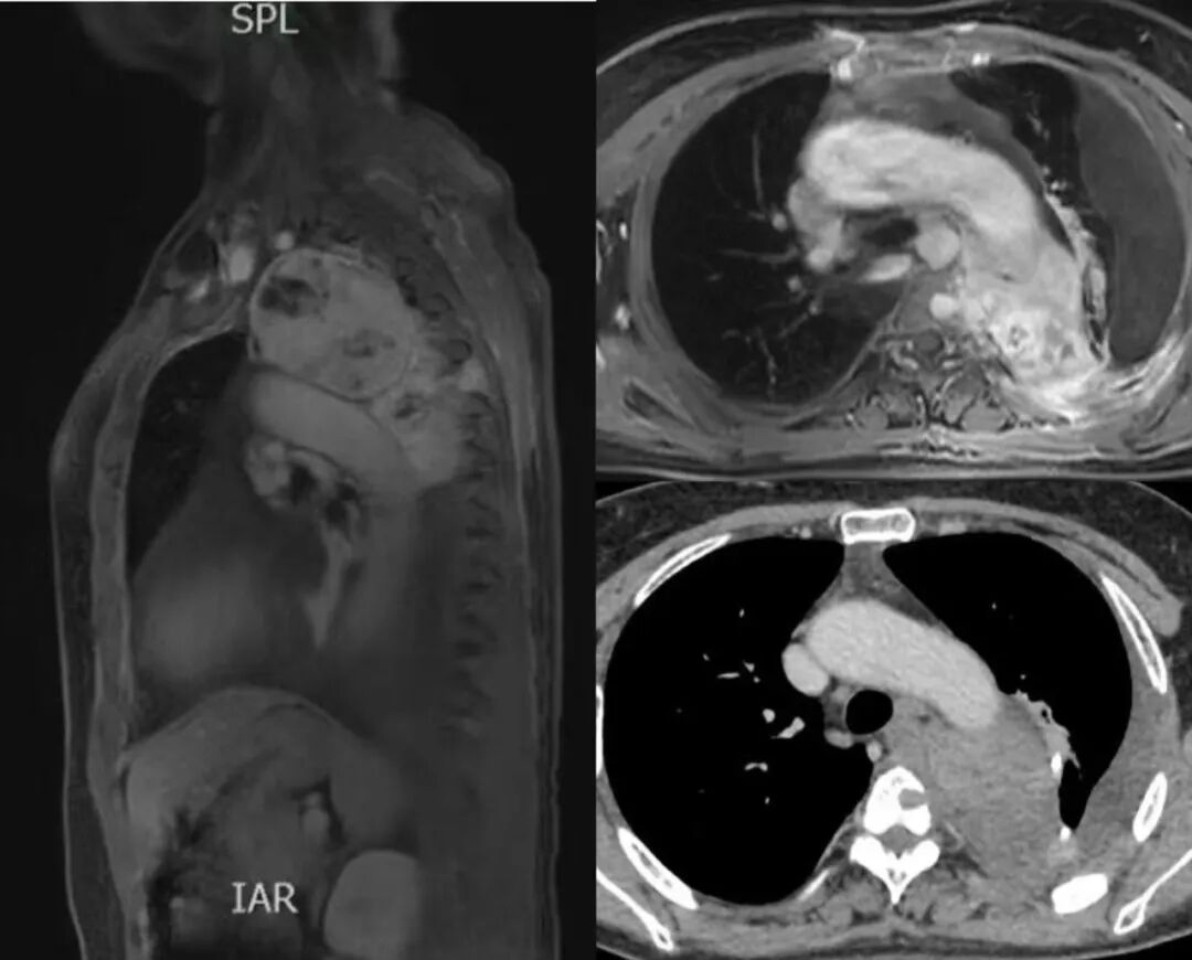
54岁的张女士(化名)是三个孩子的母亲,尤其牵挂尚未成年的小女儿。然而,“纵隔肿瘤”的诊断如同一道冰冷的枷锁。更令她忧心的是,1个月前她曾因左后纵隔巨大肿瘤在外院接受手术,但因肿瘤体积巨大、侵犯范围广泛、与重要血管神经关系密切,术中稍有不慎即可能导致致命性大出血或瘫痪,手术最终仅完成探查。术后肿瘤持续生长,严重威胁生命。


辗转多家医院,得到的答复均是“手术风险极高,难以切除”。那句对女儿“妈妈要看着你长大”的承诺,支撑着她带着最后一线希望,慕名来到上海市东方医院胸外科方文涛主任团队。



难点重重:手术如履薄冰


经过全面细致的检查评估,团队发现张女士的病情极其复杂凶险:


1、二次手术粘连难题:首次手术造成的胸腔内广泛粘连,使得手术视野暴露异常困难,如同在“瘢痕迷宫”中操作,大大增加了误伤风险。


2、“雷区”中的肿瘤:


1) 血管“零距离”:肿瘤包绕主动脉弓及部分降主动脉,与血管壁几乎“零距离”,术中剥离极易引发灾难性大出血。


2) 脊柱神经威胁:肿瘤邻近胸椎且造成骨质破坏,操作稍有不慎即可能损伤神经导致术后截瘫。


3) 肺脏受压: 巨大肿瘤已严重压迫左肺。


01
MDT显神威:多学科协作精准“拆弹”


面对如此棘手的病例,方文涛主任迅速组织了强大的MDT团队(胸外科、心外科、脊柱外科、麻醉科、手术室护理团队等),对术中可能出现的每一种风险都制定了周密的应急预案。


1. 精准麻醉护航:麻醉科主任姚俊岩团队成功实施全身麻醉。徐双双主治医师在超声引导下,沉稳完成桡动脉及股静脉穿刺置管,为术中实时血流动力学监测和抢救通路建立了坚实保障。


2. 血管“铠甲”先行:手术伊始,心外科主任刘俊、副主任施盛团队首先进行胸主动脉造影,并在主动脉弓及降主动脉被肿瘤包绕的关键部位精准植入覆膜支架,如同为血管穿上“铠甲”,有效隔绝了术中损伤大血管的风险。


3. 精细分离,步步为营:在血管保护到位后,方文涛主任主刀,带领团队迎难而上。凭借丰富的经验和娴熟的技术,耐心细致地分离胸腔致密粘连,逐步开辟安全通道。运用手术剪、超声刀、超声骨刀等精密器械,小心翼翼地剥离与血管神经紧密粘连的肿瘤组织。肿瘤周围密布易出血的“穿支”血管,每一步操作都力求毫米级的精准——既要彻底切除肿瘤,又要确保紧邻的大血管毫发无损,同时避免损伤致命神经。最终,这块巨大的“生命禁区”肿瘤被成功完整切除!



02
快速康复,重获新生


在多学科团队的精心治疗和护理下,张女士术后恢复顺利:

术后第二天即可下床活动。


术后一周,这位经历两次重大手术的患者,带着重获新生的喜悦康复出院!


03
技术高地:复杂纵隔肿瘤治疗的东方经验


纵隔神经鞘瘤虽多为良性,但如此巨大且广泛累及关键血管的病例,其切除难度堪称胸外科领域的顶尖挑战。本例手术的成功,充分体现了上海市东方医院胸外科MDT团队:


1. 深厚的技术积淀: 在纵隔肿瘤微创及复杂高难度手术领域拥有丰富经验和领先技术。


2. MDT模式的核心优势: 多学科紧密无间的协作是攻克此类复杂病例、保障患者安全并获得最佳疗效的基石。团队术前精准评估、术中默契配合、术后精心管理,环环相扣。


3. 以患者为中心的理念: 面对极高风险,团队勇于担当,用精湛技术和仁心仁术守护患者生命和家庭希望。

方文涛主任团队在同济大学附属东方医院肿瘤治疗领域积极倡导并践行MDT模式,致力于为每一位肿瘤患者提供与国际接轨的高质量、个体化诊疗服务。


来源:同济大学附属东方医院胸外科

200 评论

查看更多