壹生大学

壹生身份认证协议书

本项目是由壹生提供的专业性学术分享,仅面向医疗卫生专业人士。我们将收集您是否是医疗卫生专业人士的信息,仅用于资格认证,不会用于其他用途。壹生作为平台及平台数据的运营者和负责方,负责平台和本专区及用户相关信息搜集和使用的合规和保护。
本协议书仅为了向您说明个人相关信息处理目的,向您单独征求的同意,您已签署的壹生平台《壹生用户服务协议》和《壹生隐私政策》,详见链接:
壹生用户服务协议:
https://apps.medtrib.cn/html/serviceAgreement.html
壹生隐私政策:
https://apps.medtrib.cn/html/p.html
如果您是医疗卫生专业人士,且点击了“同意”,表明您作为壹生的注册用户已授权壹生平台收集您是否是医疗卫生专业人士的信息,可以使用本项服务。
如果您不是医疗卫生专业人士或不同意本说明,请勿点击“同意”,因为本项服务仅面向医疗卫生人士,以及专业性、合规性要求等因素,您将无法使用本项服务。

同意

拒绝

同意

拒绝

知情同意书

同意

不同意并跳过

工作人员正在审核中,
请您耐心等待
审核未通过
重新提交
完善信息
{{ item.question }}
确定
收集问题
{{ item.question }}
确定
您已通过HCP身份认证和信息审核
(
5
s)

12岁少女不痛不痒,一经发现肿瘤竟比拳头大!

2025-05-30作者:论坛报晶资讯
非原创

“孩子平常壮得像头小牛,感冒都没得过,哪曾想这次差点丢了命。”看着安安静静躺在病床上的女儿,小微(化名)妈妈心有余悸,“还好果断来了瑞金医院,还好有你们救命。”

01
一盘饺子下肚,12岁少女剧痛难忍


这天,12岁的小微刚刚一口气吃了15个饺子,笑着和父母打趣:“我还能再吃一盘!”可话音未落,剧烈的腹痛突然袭来,仿佛有人用刀子在肚子里搅动。这个170cm高,140斤重的小姑娘一下子蜷缩起身体,冷汗直流。“孩子平常身体极好,胃口也好。”妈妈回忆道。家人以为只是消化不良,连夜带小微到当地医院输液,可三天过去,小微的“胃肠炎”非但没有缓解,反而腹痛更严重,开始呕吐、全身发黄,眼白更黄得像熟透的枇杷。


这是典型的梗阻性黄疸信号!CT检查发现胰头上有肿物,疑似囊内出血。这可把她和家人吓坏了,“医生说情况不太好,让我们到大医院做进一步检查。”初闻噩耗,小微妈妈感觉天塌了。“第一次听说实性假乳头状瘤,啥都不知道。”她颤抖着上网查各种资料,“在线问诊了好些医生,都说孩子小肿瘤大,手术难度太大了。”就在一家人绝望时,朋友推荐了远在上海的瑞金医院胰腺外科,“说这里解决了很多疑难病例,有实力有经验。”没有丝毫犹豫,小微一家人挤上了拥挤的班车,从山东直奔千里之外的上海。


02
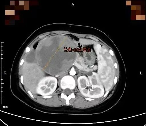
10厘米巨大肿瘤,藏在胰头的“定时炸弹”


增强CT检查显示,一个直径10厘米的肿瘤像狰狞的章鱼,触须般的包膜紧紧缠绕着小微的胰头部位,将十二指肠压成了“纸片”,消化道完全梗阻,肿瘤内部甚至出现渗血。胰腺外科王伟珅副主任医师为小微立即联系开通绿色通道,当天收治入院。



“这是胰腺实性假乳头状瘤,虽然属于低度恶性,但长在这个位置很凶险。”胰腺外科许志伟副主任医师解释道,胰头被十二指肠环抱,后方紧贴着门静脉和肠系膜血管,巨大的肿瘤在胰头这个“交通枢纽”位置,不仅压迫胆总管、胰管,还侵蚀了十二指肠乳头,就像卡住的巨石,阻断了消化液流动,还随时可能引发致命性出血或感染。更危险的是影像上可见肿瘤内部散在的出血点,意味着巨瘤随时可能破裂,情况十分危急。完善检查后,为了确定最适合的手术方案,胰腺外科迅速召集科室成员和重症医学科、放射科、麻醉科、输血科、手术室、医务处等科室进行多学科讨论。大家全面考虑手术中可能出现的突发情况和应对措施,为这场高风险手术做好了充足准备。


03
高技术“拆弹”,青少年腹痛要警惕


一切就绪,小微被推进手术室。许志伟、王伟珅、祝有位、丁锐医生要完成普外科最复杂的手术之一:胰十二指肠切除术。儿童的血管粗细仅为成人1/3,巨大肿瘤和门静脉等重要血管紧紧粘连,手术操作稍有不慎就会导致血管破裂,可能引发洪水般的大出血。凭借精湛技术和精准解剖,手术团队小心翼翼剥离出比成年男性拳头还大的肿瘤,切除胰头、十二指肠、部分胃和胆管,随后,再像重建生命桥般完成胰肠、胆肠和胃肠吻合。考虑患者年纪较轻,团队为她保留了胰体尾部,这意味着小微胰腺体外分泌功能得以留存,术后无需长期注射胰岛素,获得了更好的生活质量。


在麻醉科、输血科、手术室等配合下,经过6个小时奋战,手术顺利结束。术后,在重症监护室医护人员精心照料下,小微很快康复。“虽然是第一次,但我一个人在监护室从不害怕。大家都笑眯眯的,对我特别好。”小微的话听的妈妈直点头,“开始我们还不放心,没想到整个就医过程高效顺畅,医护们专业又和善,太感谢了!”



“胰腺实性假乳头状瘤好发于10-30岁年轻女性,早期常常无症状或轻微上腹隐痛,很容易被误诊。一旦急性发病,可能引发肿瘤破裂出血、消化道完全梗阻、梗阻性黄疸等危机。”王伟珅医生提醒大家,青少年持续腹痛加剧,伴随呕吐、发烧、黄疸等症状,一定要立即就医。


来源:上海交通大学医学院附属瑞金医院

200 评论

查看更多