壹生大学

壹生身份认证协议书

本项目是由壹生提供的专业性学术分享,仅面向医疗卫生专业人士。我们将收集您是否是医疗卫生专业人士的信息,仅用于资格认证,不会用于其他用途。壹生作为平台及平台数据的运营者和负责方,负责平台和本专区及用户相关信息搜集和使用的合规和保护。
本协议书仅为了向您说明个人相关信息处理目的,向您单独征求的同意,您已签署的壹生平台《壹生用户服务协议》和《壹生隐私政策》,详见链接:
壹生用户服务协议:
https://apps.medtrib.cn/html/serviceAgreement.html
壹生隐私政策:
https://apps.medtrib.cn/html/p.html
如果您是医疗卫生专业人士,且点击了“同意”,表明您作为壹生的注册用户已授权壹生平台收集您是否是医疗卫生专业人士的信息,可以使用本项服务。
如果您不是医疗卫生专业人士或不同意本说明,请勿点击“同意”,因为本项服务仅面向医疗卫生人士,以及专业性、合规性要求等因素,您将无法使用本项服务。

同意

拒绝

同意

拒绝

知情同意书

同意

不同意并跳过

工作人员正在审核中,
请您耐心等待
审核未通过
重新提交
完善信息
{{ item.question }}
确定
收集问题
{{ item.question }}
确定
您已通过HCP身份认证和信息审核
(
5
s)

紧贴心脏的肺部肿瘤怎么办?东方肿瘤35分钟完成高危机器人辅助下消融

2026-03-03作者:CMT琳资讯
原创

近日,上海市东方医院肿瘤科周彩存教授团队成功为一名高龄、肺功能基础差且病灶紧贴心脏的肺癌患者成功实施了机器人辅助下经皮穿刺消融手术。该案例不仅彰显团队在高危复杂部位肿瘤微创治疗领域的领先水平,更是学科在胸部肿瘤领域技术融合、团队协作与培训推广等多方面系统化成果的展现——数月前科室获评“中国医师协会肿瘤消融治疗技术培训基地”,并于去年年底牵头成立东方胸部肿瘤诊疗中心,致力于打造全病程、多学科融合的诊疗高地。


一、高危“心缘旁”病灶:

当肿瘤紧贴心脏搏动


今年77岁的陈老伯,其实是一位刚走下手术台不久的“抗癌老兵”。1年半前,他才经历了一场前列腺癌根治术,本以为能够卸下重担安享晚年。然而,命运的考验并未止步——在最近的一次术后随访PET-CT检查中,医生发现他左肺上叶那颗原本“沉睡”的结节突然代谢增高,这意味着:“(第二原发)恶性肿瘤”,也就是我们常说的“双原发癌”找上了门!


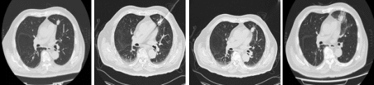
Shape1

从左至右:消融前、消融中、消融中、消融后一天


虽然陈老伯的肺部病灶尚属早期,若能精准消融即可根治,但是这个病灶紧邻心脏,随呼吸与心跳同步移动。“心缘旁病灶”的传统消融因易损伤心脏及大血管,风险极高,常让医生望而却步。面对“常规手术风险太大、传统消融CT复扫次数多易发生并发症等风险”的困局,陈老伯在家属的陪同下辗转求医,最终求助于上海市东方医院肿瘤科周彩存教授团队。


周彩存教授团队在充分评估后认为,病灶虽不大,但位于心脏旁“生命禁区”,临近重要心脏结构和大血管、大气道,任何物理局部处理手段都有一定的风险,必须实现亚毫米级精准穿刺与消融,方能兼顾安全与疗效并行。为此,团队决定启用穿刺手术导航定位系统(简称RC120),凭借其“CT影像与智能传感一体化”技术,解决传统定位方式的痛点,为陈老伯的肺部诊疗的微创化提供了更精准、更安全、更便捷的选择。


二、机器人导航下“爪针”稳进:

35分钟完成生命禁区消融


除肺的呼吸运动外,心脏搏动在穿刺时也是必须纳入考量的重要因素。手术开始,患者仰躺在CT床架上,胸部随着肺部的呼吸起伏,心脏也在持续有力的搏动,这也让进胸膜的第一针显得尤为关键。经过术前精心准备,在影像中心支持配合下,周彩存团队的熊安稳医生在RC120机器人的智能导航下,操作一根特制的 “爪针”(射频消融针),精准送达左肺上叶病灶中心。因系统实时感知并同步补偿因呼吸、心跳造成的器官位移,实现“一针到位”,且全程避开心脏及大血管。操作期间团队严密监护患者心电与生命体征,严防心脏损伤。



术中无气胸、咯血等并发症发生,整个操作过程平稳流畅、精准无误,最大限度降低了对周围正常组织的损伤。同时,得益于机器人辅助,显著减少了CT扫描次数,不仅缩短了手术时间,更切实减轻了患者的身心压力与经济负担。


从手术开始到结束,仅耗时35分钟。陈老伯安返病房,生命体征平稳。术后陈老伯状态良好,CT显示病灶区域密度增高,消融范围完美覆盖了病灶,而周边的肺组织安然无恙。


三、从培训基地到诊疗中心:

多学科融合助推技术规范化


陈老伯的“完美闯关”并非偶然,这一看似轻松,实则充满高风险的机器人导航手术的背后,是科室近年来在微创介入技术与多学科建设上的持续积累,作为“行业标杆”的身后积淀,利用人工智能与介入技术的深度融合,进一步提升诊疗效率与精准度,为更多患者提供更优质、安全的微创诊疗服务。


数月前,上海市东方医院肿瘤科、微创介入治疗中心正式获批成为“中国医师协会肿瘤消融治疗技术培训基地”,这标志着东方的这两支团队在肿瘤消融领域的规范化操作、技术创新及人才培养能力已达到“国家队”标准。而后,东方医院胸部肿瘤诊疗中心成立领衔专家周彩存教授深耕肺癌靶向与免疫治疗领域,协同胸外科方文涛、呼吸科李强、微创介入科翟博、放疗科向作林、病理科高金莉、影像科初曙光等多领域专家,整合多学科资源,共同打造真正的“内外融合、打破学科壁垒”的多学科(MDT)诊疗高地。这一创新架构打破学科壁垒,实现从诊断、治疗到康复的全病程、一站式管理,确保每位患者都能获得基于多学科协作的个性化治疗方案。实现了从“患者辗转于各科室”到“专家围绕患者协作”的服务模式变革,陈老伯的经历也正是这一协同模式在高危病例中的生动体现。


从“培训基地”的资质认证,到“胸部肿瘤诊疗中心”的多学科整合,东方医院肿瘤科正以技术为引擎、以协作为平台,推动肺癌微创治疗向更精准、更安全、更高效的方向持续迈进,为更多复杂部位胸部肿瘤患者提供“生命禁区”中的治愈希望。



通讯员 | 同济大学附属东方医院(上海市东方医院) 陈周可嘉

200 评论

查看更多