壹生大学

壹生身份认证协议书

本项目是由壹生提供的专业性学术分享,仅面向医疗卫生专业人士。我们将收集您是否是医疗卫生专业人士的信息,仅用于资格认证,不会用于其他用途。壹生作为平台及平台数据的运营者和负责方,负责平台和本专区及用户相关信息搜集和使用的合规和保护。
本协议书仅为了向您说明个人相关信息处理目的,向您单独征求的同意,您已签署的壹生平台《壹生用户服务协议》和《壹生隐私政策》,详见链接:
壹生用户服务协议:
https://apps.medtrib.cn/html/serviceAgreement.html
壹生隐私政策:
https://apps.medtrib.cn/html/p.html
如果您是医疗卫生专业人士,且点击了“同意”,表明您作为壹生的注册用户已授权壹生平台收集您是否是医疗卫生专业人士的信息,可以使用本项服务。
如果您不是医疗卫生专业人士或不同意本说明,请勿点击“同意”,因为本项服务仅面向医疗卫生人士,以及专业性、合规性要求等因素,您将无法使用本项服务。

同意

拒绝

同意

拒绝

知情同意书

同意

不同意并跳过

工作人员正在审核中,
请您耐心等待
审核未通过
重新提交
完善信息
{{ item.question }}
确定
收集问题
{{ item.question }}
确定
您已通过HCP身份认证和信息审核
(
5
s)

从影像学看机化性肺炎的特征

2026-02-18作者:论坛报小璐资讯
非原创

病例

    • 男,58岁

    • 诉:确诊食管癌2年,咳嗽3月余

    • 现病史:患者2年前(2023-10)确诊食管癌,予以依托泊、顺铂、斯鲁利单抗治疗,病情稳定后患者斯鲁利单抗免疫维持治疗。2024-9-21外院复查CT提示两下肺纵隔旁炎症,暂停免疫治疗。2024-12-02外院CT复查CT示两肺部分病灶较前吸收好转,部分较前明显或新见;2024-12-04号来我院住院治疗,支气管镜(左下叶前基底段活检)病理提示炎症伴机化,予以甲泼尼龙治疗症状好转后予以出院,2025-01-07复查CT提示两肺病灶明显吸收降;2025-04-12、05-03、05-24共3次使用斯鲁利单抗免疫治疗,患者06-10起出现咳嗽咳痰伴胸痛,06-17外院CT示左肺下叶炎症,后至我院住院,予哌拉西林钠他唑巴坦钠感染治疗;07-02复查胸部CT,病灶吸收不明显,建议患者行气管镜治疗,患者考虑后表示暂不行气管镜,要求出院(出院带药奈诺沙、溴己新)。出院后仍有反复咳嗽,08-12再次我院就诊

    • 实验室检查

      图片

    影像学表现

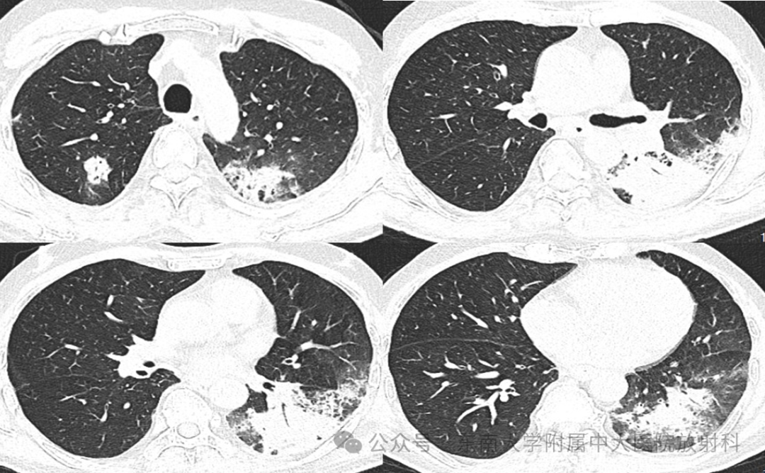
    2025-07-02 CT

    图片



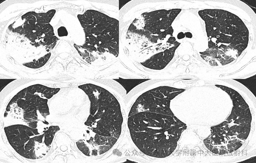
    2025-08-12 CT

    图片

    图片

    图片

     

    图片

    图片

    图片

    图片

    图片

    图片

    图片

    图片

    图片

    图片

    图片

    图片

    图片

    图片

    图片

    图片

    图片

    图片

    图片

    图片

    图片

    图片

    图片

    图片

    图片

    图片

    图片

    图片

    图片

    图片

    图片

    图片

    图片

    图片

    图片

    图片

    图片

    图片

    图片

    图片

    图片

    图片

    图片

    图片

    图片

    图片

    图片

    图片

    图片

    图片



    来源:东南大学附属中大医院放射科



    200 评论

    查看更多