查看更多
密码过期或已经不安全,请修改密码
修改密码
壹生身份认证协议书
同意
拒绝
同意
拒绝
同意
不同意并跳过
广州市红十字会医院 普内科 陈坚
【病史】
男性,71岁,胸闷痛伴气促2月
2月前在外院诊断:冠心病;急性广泛前壁、下壁心肌梗死;阵发性室性心动过速;全心扩大;HBP(+),DM(—),吸烟(+)
PE:BP:140/85mmHg ,HR 75bpm,律齐,二尖瓣听诊区可闻及3/6级收缩期杂音,双下肢中度凹陷性浮肿。
【影像学检查】
ECG
胸片

UCG (2016-1-3)

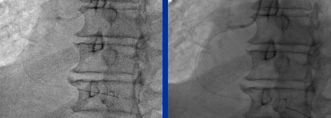
CAG (2016-1-4)

RCA-PCI

LCX-PCI (2016-1-7)

【其他辅助检查】

【入院诊断】
冠心病
亚急性广泛前壁、下壁心肌梗死
全心扩大
窦性心律 阵发性室性心动过速
主动脉瓣中度关闭不全
二、三尖瓣中度关闭不全
泵功能III级
高血压病2级 极高危组
【治疗方案】
术后

【出院带药】
2-(乙酰氧基)苯甲酸 30片 0.1g QD
硫酸氢氯吡格雷 30片 75mg QD
盐酸曲美他嗪片 90片 20mg TID
泮托拉唑 30片 40mg QD
瑞舒伐他汀钙片 60片 20mg QD
美托洛尔缓释片 30片 47.5mg QD
缬沙坦氢氯噻嗪片 30片 1片 QD
氢氯噻嗪片 30片 20mg QD
【1月后复诊】
男性,71岁,胸闷痛伴气促5月,加重伴双下肢浮肿3天
PE: BP:166/98mmHg ,HR 86bpm,律齐,二尖瓣听诊区可闻及3/6级收缩期杂音,双下肢重度凹陷性浮肿。
辅助检查:

ECG:
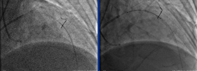
RE-CAG: (2016-2-10)

入路:右桡 6F JR4.0 右股7F EBU3.75

Fielder XT Finecross LEGEND 1.25*15mm
VOYAGER 2.5*15mm、Excel 2.5*36mm、Excel 2.75*36mm
术后

复查

2016.2.13出院带药
2-(乙酰氧基)苯甲酸 30片 0.1g QD
硫酸氢氯吡格雷 30片 75mg QD
盐酸曲美他嗪片 90片 20mg TID
泮托拉唑 30片 40mg QD
阿托伐他汀钙片 60片 20mg QD
美托洛尔缓释片 30片 95mg QD
缬沙坦氢氯噻嗪片 30片 1片 QD
氢氯噻嗪片 30片 20mg QD
单硝酸异山梨酯 60片 20mg QD
呋塞米片 30片 20mg QD
【诊断及治疗方案解析】
识别心力衰竭的病因(包括诱因)是我们治疗的基础。通过临床分析,我们认为该患者为缺血诱发的心力衰竭,所以在纠正心功能不全时并未停用倍他乐克缓释片,并在积极抗缺血药物治疗的基础上,尽早全面评估手术的风险及获益,经过充分准备,顺利完成PCI手术,开通血管改善缺血。
查看更多