壹生大学

壹生身份认证协议书

本项目是由壹生提供的专业性学术分享,仅面向医疗卫生专业人士。我们将收集您是否是医疗卫生专业人士的信息,仅用于资格认证,不会用于其他用途。壹生作为平台及平台数据的运营者和负责方,负责平台和本专区及用户相关信息搜集和使用的合规和保护。
本协议书仅为了向您说明个人相关信息处理目的,向您单独征求的同意,您已签署的壹生平台《壹生用户服务协议》和《壹生隐私政策》,详见链接:
壹生用户服务协议:
https://apps.medtrib.cn/html/serviceAgreement.html
壹生隐私政策:
https://apps.medtrib.cn/html/p.html
如果您是医疗卫生专业人士,且点击了“同意”,表明您作为壹生的注册用户已授权壹生平台收集您是否是医疗卫生专业人士的信息,可以使用本项服务。
如果您不是医疗卫生专业人士或不同意本说明,请勿点击“同意”,因为本项服务仅面向医疗卫生人士,以及专业性、合规性要求等因素,您将无法使用本项服务。

同意

拒绝

同意

拒绝

知情同意书

同意

不同意并跳过

工作人员正在审核中,
请您耐心等待
审核未通过
重新提交
完善信息
{{ item.question }}
确定
收集问题
{{ item.question }}
确定
您已通过HCP身份认证和信息审核
(
5
s)

血字的研究:McLeod综合征1例 | 协和神经科临床病例精粹

2026-03-05作者:论坛报寒夜资讯
原创

百年积淀、薪火赓续。 北京协和医院神经内科作为中国神经病学领域的标杆与引领者,以攻克疑难重症、领航学术前沿、培育医学人才为使命,是国内公认的神经内科学术与临床实践高地。

为系统传承协和神经科的临床精髓,分享疑难罕见病例的诊疗思辨,传播规范精准的临床思维,《中国医学论坛报》特邀朱以诚教授、戴毅教授倾力打造「协和神经科临床病例精粹」专栏。本专栏将聚焦神经内科经典病例、疑难重症及罕见病例,还原诊疗全流程逻辑,拆解鉴别诊断要点,凝练协和专家的临床经验与学术洞见,为全国神经科医师、基层医者及医学生提供实战化、高质量的学习范本,助力中国神经病学事业高质量发展。


PART 01
病例摘要



患者男性,59岁,主因“行走不稳、不自主运动8年,肢体麻木无力2年”收入神经科病房。



入院情况



患者8年前起逐渐出现行走摇晃,不自主运动,表现为甩手、晃头、叹气、拽袖子、挠痒等,不伴口周、眼周及下肢不自主运动,此后不自主运动频率增加。2年前起出现左手食指伸指无力,同期出现记忆下降、找词困难。2024年出现左手肌肉萎缩,当地完善头颅磁共振成像(MRI)见双侧尾状核头萎缩。2025年出现右侧上下肢麻木,右手著,右手无力、肌肉萎缩。2025年8月就诊我院,查血肌酸激酶3655 U/L↑;外周血涂片未见异常;遂收住入院。



既往史



2017年诊断2型糖尿病,目前恩格列净10 mg qd、诺和灵30R 24U qn,不规律监测血糖;2017年因左肾占位行左肾切除,病理示良性肿瘤;2023年车祸外伤,右肩骨折内固定术后。否认输血史。



个人家族史



父母非近亲结婚,育4男2女。其弟弟患有肌萎缩,发病10余年,50岁左右去世。



查体



神清语利,记忆力、计算力下降,简易精神状态量表(MMSE)17/30分,蒙特利尔认知评估(MoCA)21/30分,颅神经正常。

未见颚肌震颤及舌肌不自主运动,左上肢及右手肌萎缩,肌力见下表,四肢肌张力下降,四肢腱反射未引出,病理征阴性。

四肢针刺觉正常,音叉振动觉减退,双下肢远端为著。

双侧轮替慢,跟膝胫欠稳,行走时躯干不自主运动、偏斜。

肌力(级)

肩外展

伸肘

屈肘

伸腕

屈腕

伸指

分并指

握力

左上肢

5

3

5

2

3

2

0

3

右上肢

5

4

5

3

4+

3

1

3


屈髋

屈膝

伸膝

足背屈

足跖屈




左下肢

4

5

5

4+

5




右下肢

4

5

5

4+

5






辅助检查



  • 血常规、肝肾功、凝血、尿便常规、感染4项阴性。

  • 心肌酶:肌酸激酶同工酶(CK-MB)-mass 24.5 μg/l,肌红蛋白(Myo)838 μg/l,余阴性。

  • 抗核抗体(ANA)、抗中性粒细胞胞浆抗体(ANCA)、免疫球蛋白(Ig)G、T/B淋巴细胞亚群、肌炎抗体谱阴性。

  • 抗磷脂抗体谱6项:ACL-IgM(+)31.7 MPLU/ml,β2GP1-IgM(+)103.4 AU/ml,狼疮抗凝物(LA)阴性。

  • 血肿瘤标志物、M蛋白、甲状腺超声、胸腹盆计算机体层摄影(CT)阴性。

  • 糖化血红蛋白(HbA1c)8.1%,血脂、同型半胱氨酸(HCY)、叶酸、维生素B12、铜蓝蛋白、维生素A维生素E浓度阴性。

  • 盐水诱发试验:患者血中可见棘红细胞,占比60%(图1)。

  • 脑脊液压力、常规、生化、细胞学、寡克隆区带(OB)/特异IgG寡克隆区带(SOB)、病原学阴性;血及脑脊液自免脑副肿瘤、神经节苷脂抗体均阴性。

  • 血型:Kell抗原表型为Kk;红细胞抗体筛查阴性

  • 全外显子组测序:XK基因c.484C>T(p.Q162*) 无义突变;AR基因动态突变阴性;神经传导速度(NCV)+肌电图(EMG):上下肢周围神经源性损害(图2)。

  • 超声心动图:轻度二尖瓣关闭不全,左室肥厚,轻度主动脉瓣关闭不全,左室舒张功能减低(Ⅱ级);动态心电图:窦性心律,平均心率69 bpm,房早总数21次,室早总数32次。

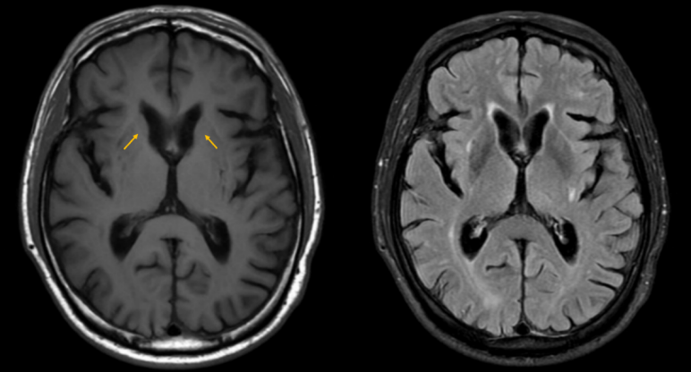
  • 头颅MRI+磁敏感加权成像(SWI):双侧尾状核头萎缩(图3)。

image.png

图1 盐水诱发试验:EDTA抗凝血2 ml(左图:患者;右图:健康对照),37℃孵育>1小时;血液样本等渗生理盐水1:1 稀释混匀,取适量稀释后的样本滴于载玻片上,加盖玻片镜检。结论:盐水诱发试验后患者血中可见棘红细胞,占比60%。


image.png

图2 NCV+EMG:上下肢周围神经源性损害


image.png

图3 头颅MRI+SWI:双侧尾状核头萎缩(左T1相,右FLAIR相)



诊治经过



原发病方面:患者全外显子测序提示XK基因无义突变,该突变尚未被报道致病。XK蛋白是由444个氨基酸构成的10次跨膜蛋白。蛋白质结构预测提示本患者突变后XK蛋白肽段大片段缺失,无法与Kell糖蛋白通过二硫键相连。因此红细胞膜表面无法表达Kell抗原。盐水试管法Kell血型检测提示患者K、k抗原均缺失,验证了本患者突变位点的致病性。结合不自主运动、认知障碍、棘红细胞、周围神经病变、CK升高,考虑神经棘红细胞增多症,McLeod综合征诊断明确,加用氯硝西泮改善不自主运动及睡眠障碍,用药后患者诉起夜时肢体乏力,遂停药。



出院诊断



1. 神经棘红细胞增多症

    1.1 McLeod综合征

2. 2型糖尿病

3. 左肾良性肿瘤切除术后



出院随访



患者仍有不自主运动,建议后续可考虑硫必利或氘代丁苯那嗪治疗。家系验证提示患者女儿携带XK基因相同位点突变,检测患者女儿Kell抗原表型同样为Kk,红细胞抗体筛查阴性。嘱其注意输血安全,警惕异体输血后发生溶血反应;如后续有妊娠计划建议产前遗传咨询;规律监测是否有新发心律失常、心肌病变。



PART 02
文献复习



神经棘红细胞增多症(NA)是一类血棘红细胞异常增多伴神经系统损害的遗传性疾病。盐水诱发试验有助于寻找棘红细胞,以缩小诊断范围。NA核心综合征包括舞蹈-棘红细胞增多症(ChAc)和McLeod综合征。舞蹈棘红由VPS13A突变导致舞蹈素的缺失或显著减少;McLeod综合征则由XK基因突变造成XK蛋白缺失,为X连锁隐性遗传,发病年龄25~60岁。

近期研究发现XK相关蛋白是磷脂翻转酶,参与细胞膜磷脂酰丝氨酸的外翻;而VPS13A蛋白属于大量脂质转运蛋白,像桥梁一样在细胞线粒体、内质网、脂滴之间转运脂质,调控细胞膜和细胞器的功能。XK可能是VPS13A的伴侣蛋白,在内质网与质膜接触位点发生相互作用。ChAc和Mcleod综合征相似的临床表现上均源于VPS13A-XK复合物形成的障碍。这类疾病现提出新的名称——大量脂质转运疾病。McLeod综合征患者存在神经细胞膜、肌肉细胞膜和红细胞膜功能障碍,从而出现血液系统(Kell抗原缺失、棘红细胞)、神经系统(舞蹈症、认知障碍)、周围神经、肌肉以及心脏受累。



专家简介




5aac03dfd8eb07f1dc705d20e8330e4.jpg

北京协和医院

严婧文 

  • 医学博士,中国医学科学院北京协和医院神经科临床博士后

  • 熟悉神经科常见病诊疗流程,主要课题方向为神经肌肉疾病,发表SCI及中文核心期刊论文数篇。


d0da1c12e2b92bbdbe54e6a437f1a75.png

北京协和医院

谭颖 副主任医师

  • 副主任医师,医学博士

  • 北京神经内科学会青年医师专业委员会常委,北京医学会神经免疫学组委员,中国老年医学会神经病学分会青年委员。

  • 主要从事重症肌无力,以及各类神经肌肉病的基础、临床研究及临床工作。

  • 曾先后参与十四五国家重点研发计划-罕见病临床队列研究、科技部国家人口健康科学数据共享平台-临床数据中心、北京市自然科学基金重大项目、北京市科委首都临床特色应用研究等相关课题,多次在ANA/AANEM、全国学术会议、北京学术会议等代表团队发言及壁报交流,以第一作者或通讯在国内外核心期刊发表文章十余篇。参与4项重症肌无力国际多中心临床试验,连续10年坚持参与全国/北京地区重症肌无力患者教育系列活动及讲座。




END




更多精彩病例,请持续关注「协和神经科临床病例精粹」专栏





200 评论

查看更多