壹生大学

壹生身份认证协议书

本项目是由壹生提供的专业性学术分享,仅面向医疗卫生专业人士。我们将收集您是否是医疗卫生专业人士的信息,仅用于资格认证,不会用于其他用途。壹生作为平台及平台数据的运营者和负责方,负责平台和本专区及用户相关信息搜集和使用的合规和保护。
本协议书仅为了向您说明个人相关信息处理目的,向您单独征求的同意,您已签署的壹生平台《壹生用户服务协议》和《壹生隐私政策》,详见链接:
壹生用户服务协议:
https://apps.medtrib.cn/html/serviceAgreement.html
壹生隐私政策:
https://apps.medtrib.cn/html/p.html
如果您是医疗卫生专业人士,且点击了“同意”,表明您作为壹生的注册用户已授权壹生平台收集您是否是医疗卫生专业人士的信息,可以使用本项服务。
如果您不是医疗卫生专业人士或不同意本说明,请勿点击“同意”,因为本项服务仅面向医疗卫生人士,以及专业性、合规性要求等因素,您将无法使用本项服务。

同意

拒绝

同意

拒绝

知情同意书

同意

不同意并跳过

工作人员正在审核中,
请您耐心等待
审核未通过
重新提交
完善信息
{{ item.question }}
确定
收集问题
{{ item.question }}
确定
您已通过HCP身份认证和信息审核
(
5
s)

超声探头下的脂肪肝:那些看得见的肝病“隐患”

2025-10-29作者:论坛报马山资讯
非原创

现在很多人的体检结果中都能看到“脂肪肝”的字样,简单来说,这就是肝正在悄悄“发胖”—— 它们在超声图像上不再是健康的“清瘦模样”,而是被脂肪包裹成了“胖子”。而超声科医生的探头就像一双精准的“透视眼”,能清晰捕捉肝的每一处细微变化。今天,我们就从超声视角,聊聊“脂肪肝”那些看得见的特征。


一、超声如何“看穿”脂肪肝?


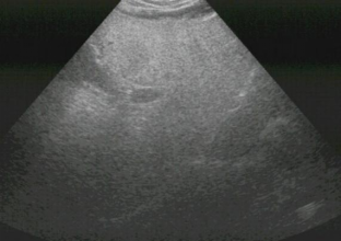
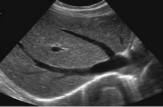
正常的肝在超声图像中呈现出均匀的低回声(类似灰黑色),就像一块质地细腻的绸缎,内部的门静脉、肝静脉等血管结构清晰可辨,走行自然流畅。而脂肪肝则截然不同:由于肝细胞内堆积了过量脂肪(主要是甘油三酯),超声波遇到脂肪颗粒时反射增强,肝在图像上会显得更亮高回声,医学上称为“肝回声增强”。


严重的脂肪肝患者,肝内部的血管结构会变得模糊不清,就像隔着一层厚厚的油雾观察,连肝静脉的分支都难以辨认。通过这种 “回声增强” 和 “血管模糊” 的特征,超声能快速筛查出脂肪肝的存在。


正常肝超声图    

  脂肪肝超声图


二、超声能直接判断脂肪肝的轻重吗?


超声是筛查脂肪肝最便捷的手段,但要区分轻度、中度、重度,却不能仅靠超声图像。超声能发现肝“变亮”这一核心特征,但具体的严重程度,需要结合其他检查综合判断:


轻度脂肪肝:超声下肝回声轻度增强,血管结构仍较清晰;

中度脂肪肝:回声明显增强,部分血管分支开始模糊;

重度脂肪肝:回声显著增强,血管几乎无法辨认,甚至肝深部的回声会出现衰减。


这时,医生往往会建议结合肝功能检查(看转氨酶是否升高)、肝弹性检测(判断是否有纤维化),才能更精准地评估脂肪肝的严重程度。


三、超声检查对脂肪肝的意义


很多人觉得脂肪肝“不痛不痒”,没必要做超声检查,但实际上,超声正是发现早期脂肪肝的“利器”:


它能在脂肪肝还未出现任何症状时,就捕捉到肝的脂肪堆积迹象;


对于瘦子、快速减肥者等 “隐形高危人群”(约20%的瘦子存在内脏脂肪超标导致的脂肪肝),超声检查能及时发现潜在风险;


定期超声复查还能监测脂肪肝的变化,评估干预效果,比如通过图像对比,观察肝回声是否减弱、血管是否变得清晰,以此判断肝是否在 “瘦身”。


四、超声医生的建议


做超声.jpg


肝是个“沉默的器官”,等出现疼痛时,脂肪肝可能已经进展到肝炎甚至纤维化阶段。建议每年体检时,都让超声探头“看一看”你的肝——早发现、早通过调整饮食(少吃高糖高脂食物)、坚持运动(避免久坐)、戒酒等方式干预,早期脂肪肝完全可以逆转,让肝重新变回健康的 “瘦子“。


别让脂肪悄悄“占领”你的肝,超声检查就是守护肝健康的第一道防线。


作者丨医技科 陈凤娟医师

来源丨广州中医药大学一附院



200 评论

查看更多