查看更多
密码过期或已经不安全,请修改密码
修改密码
壹生身份认证协议书
同意
拒绝
同意
拒绝
同意
不同意并跳过
武汉亚洲心脏病医院 戴阳阳
【病史】
患者:男性,44岁
与疾病相关的既往史:高血压病7年余,血压最高150/120mmhg,平素口服“利血平”,血压控制欠佳。无烟酒史,高血压病家族史。
【入院时情况及体格检查】
体温:36.0℃ 血压:109/73mmHg 脉搏:99次/分
肺部体征:双肺呼吸音清,双下肺可闻及湿罗音;
心脏体征:心界不大,心率:99次/分,律齐,各瓣膜听诊区未闻及杂音;
其他系统未见阳性体征:腹软,无压痛、反跳痛,肝脾肋下未及,肝脾区无叩痛,双下肢无水肿。
【生化检查】
NTproBNP 331.9 pg/ml;
cTNI 790.521ng/ml;
TCHO 7.17mmol/l;LDL-C 4.91mmol/l;TG 2.52 mmol/l;
肌酐 73umol/l;UA 389umol/l;
超敏CRP 10.05mg/l;
【影像学检查】
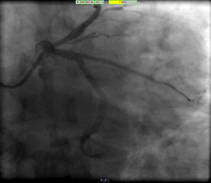
8月3日急诊PCI,术中造影
右冠脉近段次全闭塞(C)

8月3日急诊PCI,术中造影
LAD近段可见血栓性完全闭塞(C).
OM近段可见钙化、弥漫性、偏心狭窄,程度90%。

8月3日急诊PCI术,术后处理罪犯血管LAD,植入一枚Firebird 33mm*3.0mm支架
前降支远端慢血流
【其他辅助检查】
2015.08.03日我院急诊心电图


2015.08.03我院急诊心脏超声

【入院诊断】
1.冠状动脉粥样硬化性心脏病 三支病变 急性ST段抬高型广泛前壁心肌梗死 心功能II级(Killip分级) 急诊PCI术后
2.高血压病3级 极高危组
3.高脂血症
【治疗方案】

【病情进展】
Β受体阻滞剂的滴定过程


【调整治疗方案】

【出院随访】【治疗后一般情况及辅助检查】
9月17日行择期PCI术,OM-1
【后续治疗方案】
1、患者9月14日遵医嘱再入院,行择期PCI,处理OM -1;
2、琥珀酸美托洛尔缓释片剂量滴定至142.5mg 出院
第二次住院BB剂量滴定与血压、心率关系
【诊断及治疗方案解析】

查看更多