查看更多
密码过期或已经不安全,请修改密码
修改密码
壹生身份认证协议书
同意
拒绝
同意
拒绝
同意
不同意并跳过
病例详情:
患者为老年男性,78岁。糖尿病史多年,吸烟30余年,每日1包。10年前已戒烟。2008年7月初体检时发现右下肺阴影,当地医院考虑为肺结核,予抗结核治疗半年后无明显好转,自行停药。2009年8月复查胸部CT发现右下肺阴影较前增大,于外院行右下肺部分切除术,术后病理:右下肺细支气管肺泡癌,粘液亚型为主,局灶呈乳头状腺癌,大小4.8*2.8cm;切缘未见癌累及,送检(隆突下)淋巴结反应性增生(0/1)。术后定期随访未发现异常。2014.11.28胸部CT:肺癌术后,两肺多发转移。为求进一步治疗收入院。
体格检查:
ECOG1分,全身浅表淋巴结未扪及明显增大,双肺呼吸音清,未闻及干湿罗音。心律齐,各瓣膜听诊区未闻及杂音。腹软,全腹部无压痛及反跳痛,肝脾肋下未及,双下肢无水肿。
其他影像学检查:腹部CT:双肾小囊肿。脑MR和ECT未见异常。
基因检测: EGFR、ALK野生型。
目前诊断:右肺腺癌术后两肺转移,EGFR、ALK野生型。
治疗经过:
一线治疗:2014.12.18~2015.03.01给予培美曲塞930mg d1+卡铂AUC=5 d1,疗效评价SD,2015.03.25~2016.04-18培美曲塞维持治疗,疗效评价SD。2016.05.23复查胸部CT:两肺下叶多发空洞结节影,较前实性成分增多,左肺下叶较大者约38*45mm。
二线治疗:入组nivolumab对比多西他赛治疗既往接受过治疗的晚期或转移性非小细胞肺癌的随机、III期临床研究,随机入组nivolumab组,2016.06.06~2018.12.14给予nivolumab 234mg静脉滴注(体重78kg),q2w,每2个月进行疗效评价。

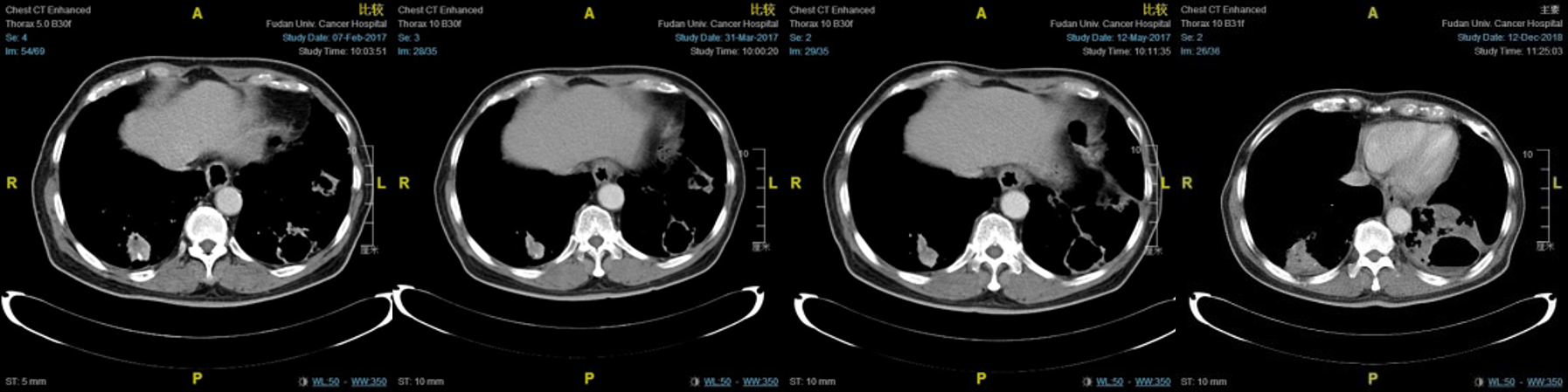
图1:治疗前(2016.05.20)胸部CT图像


图2:4次nivolumab治疗后(2016.08.29)胸部CT图像


图3:治疗10周期后(2016.12.29)胸部CT图像


图4:后续治疗的CT比较(至2018.12.12)
疗效评估:缓慢增大的SD
不良反应:血糖I度升高,考虑跟患者糖尿病史有关,与nivolumab无关。
生活质量:ECOG1分,治疗过程中监测肝肾功能、血脂、甲状腺功能和心肌酶谱等均正常。
后续治疗:因患者疗效评估两次进展,因此退出试验。但患者仍强烈要求使用PD-1,后续继续使用nivolumab,末次评估时间:2019.09.09。
点评与思考:纳武利尤单抗二线治疗晚期NSCLC患者SD依然获益

肺癌是全球癌症死亡的首要原因,手术、化疗、放疗和靶向治疗是之前主要的四大治疗手段。随着肺癌发病率和死亡率的不断攀升,现有的治疗手段已经无法满足需求,临床亟需创新的治疗方式。免疫检查点抑制剂的出现为肺癌治疗增添了新的重要的治疗手段,已经改变了临床治疗格局。
纳武利尤单抗是第一个证实为NSCLC患者带来生存获益的PD-1抑制剂。通过抑制免疫T细胞表面的PD-1与肿瘤细胞表面的PD-L1/PD-L2结合,重新激活人体自身免疫系统抗击肿瘤,在晚期NSCLC患者中已显示出长期生存的优势,且安全性和耐受性良好。最新的汇总分析报道了Checkmate-017和-057纳武利尤单抗二线单药治疗晚期NSCLC,5年总生存率为13.4%,而多西他赛组只有2.6%,在接受纳武利尤单抗治疗的所有亚组,包括PD1表达、PR或者SD、吸烟状态等等,均观察到总生存(OS)获益。安全性方面和既往报道的研究结果一致,并且在长期随访中未发现新的不良事件。
Checkmate-078是第一个在中国启动的PD-1抑制剂的临床研究,90%为中国患者。在该研究中,证实了纳武利尤单抗在中国人群的有效性和安全性均优于标准化疗,东西方人群无显著差异。无论PD-L1表达与否,无论鳞癌或非鳞患者,无论PR或者SD均能获益。纳武利尤单抗为中国晚期NSCLC患者提供了新的治疗选择和长期生存获益的希望,肺癌有望成为可控的慢性疾病不再是遥不可及的梦想。
再来回顾一下Checkmate-017和-057研究中,纳武利尤单抗不同的疗效对OS的影响如何。根据2019年美国癌症研究协会年会最新发布的数据来看,CR/PR患者4年OS率为58%,是多西他赛的5倍,而SD患者,4年OS率为19%,是多西他赛的10倍。说明无论CR/PR或者SD,均能显示出长久的生存获益。
结合本例患者,这是一位老年男性,既往有吸烟史,ECOG1分,诊断为右肺腺癌术后两肺转移,EGFR、ALK野生型。一线接受4个周期培美曲塞联合卡铂4个周期,疗效评价SD,培美曲塞维持治疗1年后疾病进展。二线参加Checkmate-078临床研究,随机入组nivolumab组,接受3年的nivolumab 3mg/kg,q2w治疗,疗效评价为SD,病情发展是极为缓慢增长的趋势,在CT中我们可以明显看到空洞在缓慢增大。即使退出临床试验后该患者仍继续使用nivolumab治疗至今,二线的PFS已经超过3年。该患者生活质量极高,在整个治疗过程中未出现与免疫相关的不良反应。因此在该病例中,我们得出以下结论:1、年龄不是使用PD-1的影响因素,该患者为78岁高龄,使用纳武利尤单抗单药治疗3年余,生活如常人。2、SD依然能从纳武利尤单抗治疗中获得长期的生存获益,即使有缓慢增大趋势,但只要患者PS评分无显著下降,依然可以继续使用免疫治疗。3、活得长,活得好才是硬道理,Checkmate-017和-057,Checkmate-078研究结果告诉我们,纳武利尤单抗对比标准化疗,5年生存率显著高于化疗,并且不良反应远远低于化疗,不仅是各大指南的I类推荐,更是真正为中国肺癌患者提供了一种全新的治疗手段,造福于中国患者。
查看更多