查看更多
密码过期或已经不安全,请修改密码
修改密码
壹生身份认证协议书
同意
拒绝
同意
拒绝
同意
不同意并跳过
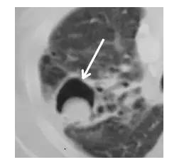
空气新月征
空腔内生长出肿块,从而形成空气新月征,提示侵袭性曲霉感染,也可见于肺癌、结核、Wegener肉芽肿等。


空气支气管征
支气管或细支气管成线状穿过不含有气体的肺实质,提示腺癌和淋巴瘤,也可见于肺炎(大叶性肺炎)、肺出血、肺水肿、肺实变。这一病变提示位置在肺实质,而不在胸膜或纵隔。


叶间裂膨出征
肺炎等病变可导致大面积肺实变,随着病情进展,可出现叶间裂膨胀并挤压正常肺,例如右肺上叶病变时叶间裂往下膨胀挤压右肺中叶。肺炎克雷伯菌感染可出现这一征象。

膈肌(横膈)连续征
心脏和膈肌之间出现透气影,提示纵隔气肿。气肿形成的原因有:自发性(剧烈咳嗽)、外伤性(气胸)、医源性(气管切开过程中气体进入纵隔)、其他疾病(肺气肿气体随着血管鞘进入纵隔)。


彗星尾征
支气管血管束向形似肿块的肺不张区域走形,形成彗星尾一样的表现(血管束被牵拉进入肿块),如同吸尘器吸入这些血管,支气管血管束从边缘进入肿块。

指套征
手指状密度增高影,呈现放射状分布,CT显示扩张的支气管内有低密度等物质堆积(痰液、菌丝、细胞碎片)。形成的原因是支气管扩张近端梗阻,远端支气管内物质无法排出。可见于支气管曲霉菌感染、支气管肿瘤、支气管闭锁等。


反S征
右肺上叶支气管堵塞所致,右肺上叶不张,水平裂外侧向上抬起,与肺门处突出的肿块一起,形成反S征,提示中央型梗阻。


晕轮征
实性病变周围出现毛玻璃渗出,形成晕环。大多数肺结节出血时候可形成这种表现,但提示曲霉菌感染可能。

印戒征
支气管扩张患者,正常大小的肺动脉和扩张的支气管在CT上表现出印戒一样的改变。

蜂窝征
肺纤维化时候,肺泡壁被大量纤维蛋白取代,显影出蜂窝样的改变,提示肺纤维化。囊腔大小不一,边界清晰,管壁约1~3mm,高度提示肺纤维化。在这种影像上,可出现支气管牵拉性扩张。

间隔增厚
小叶间隔是次级肺小叶的一部分,一般厚0.1mm,肺纤维化、水肿等时候,可出现小叶间隔增厚。

铺路石征
呈地图样分布、重叠、有网状光滑细线影,像水泥块铺成的小路(磨玻璃影上有网格影,提示肺泡蛋白沉积)。

树芽征
小叶中心细支气管被黏液填充并扩张,形成类似于春天里挂满枝丫的树,常见于肺外侧。其中,树指的是扩张的细支气管,芽指的是呼吸性细支气管和肺泡管内的黏液等物质。可见于多种疾病,例如感染(细菌、病毒、真菌)、过敏性支气管曲霉菌病、弥漫性泛细支气管炎等。



本文首发于慢慢学重症 作者徐州市中心医院 李祥全
查看更多