查看更多
密码过期或已经不安全,请修改密码
修改密码
壹生身份认证协议书
同意
拒绝
同意
拒绝
同意
不同意并跳过
病史摘要
52岁中年男性,主诉腹胀腹痛1月余。
2020年5月行结肠多发息肉摘除术。

2020年9月行结肠息肉EMR术。

查体:神清,精神可,腹稍微膨隆,无明显压痛及反跳痛。肛诊:进指7cm未及明显占位,退指无明显血染。
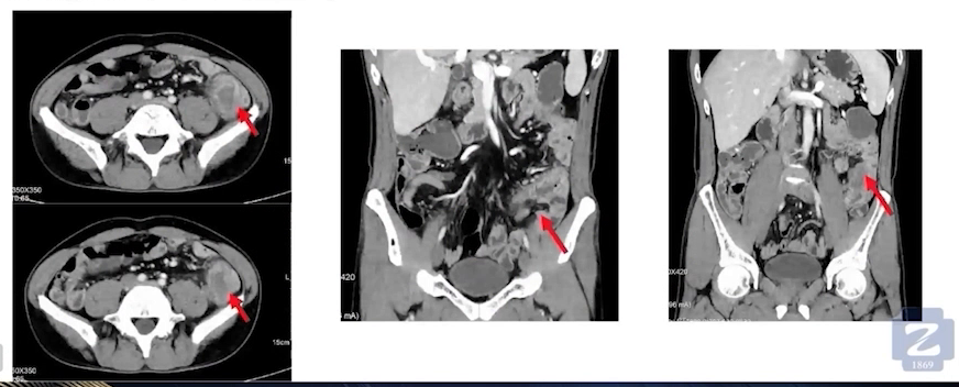
肠镜:插镜至40cm降结肠处有菜花样肿物,肠腔明显狭窄,肿块导致肠镜进镜无法通过。

腹部CT:右半结肠癌术后改变。降结肠癌考虑,伴肠旁淋巴结转移,cT4aN1M0。

诊断
降结肠癌(cT4aN1-2M0);右半结肠癌术后(pT1N0M0);结肠多发息肉摘除术后
治疗经过
(1)新辅助免疫治疗
依据现有的NCCN指南,对于MSI-H和dMMR的患者,可考虑新辅助免疫治疗。

2022年6月7日,经大肠外科MDT讨论,建议患者进行新辅助免疫治疗,患者同意。
2022年6月8日,给予患者第一次PD-1(帕博利珠单抗)200mg治疗。治疗过程基本顺利,6月16日患者在家随访期间出现便血,自觉量较多,伴有贫血头晕症状,无梗阻、恶心呕吐等明显症状。当地给予补液对症支持治疗后,患者6月18日来我院,予以补液、补铁保守治疗,便血明显停止,期间血红蛋白比较稳定。6月29日,进行帕博利珠单抗200mg的第二次治疗,过程顺利,无明显腹痛腹胀、便血黑便。7月20日,间隔21天后进行第三次帕博利珠单抗200mg注射,过程顺利。
(2)手术治疗
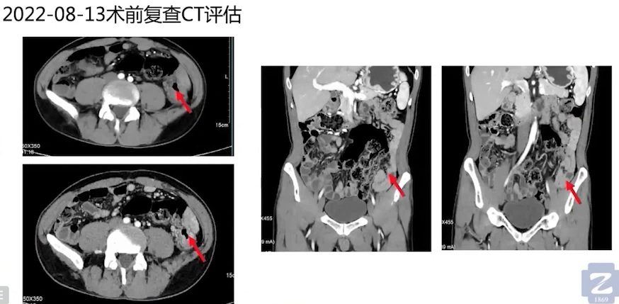
术前评估:经过3次术前新辅助免疫治疗后,2022年8月13日复查CT评估显示,左侧肿块及肠腔肿瘤明显缩小,梗阻症状明显缓解。8月16日肠镜复查,降结肠处仍可见肿块,肠腔缩窄,黏膜呈弥漫性增厚伴狭窄性改变,肠腔堵塞,进镜无法通过。


排除禁忌后,2022年8月17日为患者进行腹腔镜下左半结肠癌根治术。术中可见肿块位于降结肠远端,大小约3cm×3.5cm,局部浆膜明显缩窄呈竖形,近端肠管系膜可见一大小1cm×1.5cm结节,肠系膜内及系膜根部血管旁可见数枚可疑肿大淋巴结。考虑患者曾做过右半结肠手术,手术离断左结肠动脉,保留乙状结肠和直肠上动脉分支,并清扫第253组淋巴结。

术后病理显示瘤床区域黏膜表面仅为炎性表现,淋巴细胞浸润,病灶未见明确肿瘤残留。清扫区域共清扫37枚淋巴结,其中3枚淋巴结阳性,可见肿瘤残余,其余8枚可见坏死和纤维组织增生,术后病理分期为ypT0N1期,新辅助治疗后放化疗效果评估为TRG0级。心膜旁白色箭头所指结节送检,3枚淋巴结病理均为阴性。

查看更多
专家点评
本病例为一例多发性结肠息肉癌变患者,确诊为dMMR/MSI-H型肠癌。在首次接受局部根治性治疗后,患者于术后第3年在远离原手术部位的降结肠区域出现了新的局部进展期病灶,该病灶已达T4期并伴有淋巴结转移。值得注意的是,该病灶进展极为迅速,前一年肠镜检查尚无异常,一年内即发展至晚期阶段,这充分体现了该亚型肠癌进展迅猛的临床特点。
整个诊疗过程充满了挑战并取得了关键突破,可概括为“三大意外”。首先,病灶进展速度之快出乎意料,在一年内从无到有发展为局部晚期肠癌,超出了对此亚型常规进展速度的预期,提示其可能存在特殊的生物学行为。其次,免疫治疗的疗效令人惊喜。患者接受了3个周期术前新辅助免疫治疗后,局部病灶显著退缩,不但缩小了手术切除范围、提高了根治性切除的可行性,也降低了局部种植转移的风险。术后病理显示原发灶已无癌细胞残留,达到了病理完全缓解。然而,第三个意外也随之出现:尽管原发灶及邻近癌结节已显著退缩,但仍有3枚淋巴结存在癌细胞残留,其背后的分子机制与生理学行为尚不明确,这为后续研究提出了新的课题。
基于此病例,其核心治疗策略可归纳为三个方面。在新辅助治疗阶段,对于dMMR/MSI-H型进展期肠癌,可优先尝试免疫治疗。其疗效机制与细胞毒化疗完全不同,能为后续的根治性手术创造极为有利的条件,甚至能使部分患者达到病理完全缓解。在手术治疗方面,团队贯彻了“保器官、保血管”的理念,先后实施了保留回盲部的右半结肠根治术和保留直肠上血管的左半结肠根治术,在确保根治效果的同时,最大限度地维护了患者的肠道功能与生活质量。在术后辅助治疗方面,建议对术前免疫治疗应答良好的患者,继续给予半年以上的免疫治疗作为辅助方案,这对于存在淋巴结残留的病例尤为重要,有助于延长生存期并降低复发风险。
该病例也引发了一些临床争议与深入思考。首先,关于手术范围的抉择存在讨论。对于具有林奇综合征倾向的多发性dMMR/MSI-H型肠癌,常规推荐进行全结肠切除术。而本例通过精准治疗与保留性手术提升了患者的生活质量,但这无疑对术后更严密的随访监测和复发预防提出了更高的要求。其次,关于术后辅助免疫治疗的具体时长、以及是否需要联合其他方案,目前尚无统一标准,亟待通过多中心临床研究积累高质量证据。最后,一个普遍的未满足需求在于,结直肠癌整体对免疫治疗的有效率仍然有限,如何为非敏感患者打开免疫治疗的“敏感窗口”,让更多患者从中获益,是当前面临的重要课题。