查看更多
密码过期或已经不安全,请修改密码
修改密码
壹生身份认证协议书
同意
拒绝
同意
拒绝
同意
不同意并跳过

近年来,伴随着免疫治疗在晚期胃癌一线治疗中地位的确立,胃癌总体治疗格局也因此发生着翻天覆地的变化。然而,探索不停歇,一方面,胃癌临床研究继续走在免疫治疗从晚期、局部进展期,再到围手术期不断前移的道路之上,正如已在ESMO 2023上公布的全球首个探究胃癌围术期靶向+免疫+化疗疗效的III期临床研究DRAGON-IV/AHEAD-G208,开拓了全新治疗格局;另一方面,合理化药物间联合、序贯等排兵布阵方式以增强免疫治疗疗效的研究也在如火如荼开展中,以期为晚期胃癌一线治疗带来新的重大突破。
值此契机,本期特分享一例由福建省肿瘤医院苏丽玉教授整理、福建省肿瘤医院林榕波教授点评的阿帕替尼联合FLOT方案用于晚期胃癌一线治疗的精彩病例,患者应用阿帕替尼+FLOT方案化疗后肿瘤明显缩小,疗效评估持续部分缓解(PR),无进展生存期(PFS)超过10个月,患者生存获益十分显著。下面为详细资料:
病例分享医生:
福建省肿瘤医院
苏丽玉 教授
病例点评专家:
福建省肿瘤医院
林榕波 教授
苏丽玉 教授
福建省肿瘤医院腹部内科医师
福建省抗癌协会癌痛专委会秘书
福建省抗癌协会中西医整合肿瘤专业委员会青年委员会秘书
基本情况

患者:男性,50岁
主诉:发现“胃癌”27天。于2021.03.30入院。
既往史:无特殊。
辅助检查
查体:ECOG 0分,心肺、腹部(-)。
实验室检查:糖类抗原19-9 100.30 U/ml;AFP、CEA、CA724均正常。
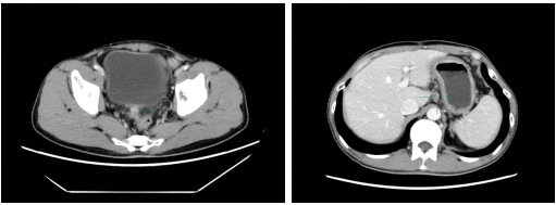
影像检查:
外院2021-03-01胸腹部CT示:1.右肺上叶前段小结节。2.双侧胸膜局部增厚。3.胃体-胃窦部占位,考虑恶性肿瘤累及浆膜面可能,胃周多发淋巴结增大,淋巴结转移可能。
我院2021.04.01胸部增强CT:1. 双肺多发小结节。腹盆腔增强CT:1. 胃癌术后,腹膜不规则增厚,考虑转移(2.0cm*1.7cm)。
病理:(胃窦黏膜活检组织)查见异型腺体,结合形态学及免疫组化染色结果,倾向腺癌。IHC:AE1/3(+),HER2(1+),Ki67(20%),CDX2(部分+),P53(30%+)。2021.03.11病理:(脐部腹腔肿物)查见腺癌,结合免疫组化结果及临床病史,考虑胃来源可能性大。IHC:HER2(0),KI67(+,30%),P53(+,20%),CDX2(+),CK7(+),CK20(-),VILLIN(+),SATB2(-)。
诊断
胃癌伴腹膜转移
一线治疗
外院2021.03.03行“腹腔镜检查+胃空肠吻合术(旁路)+空肠空肠吻合术+腹壁病损切除术”,术中见腹膜多发转移灶,多发肿大淋巴结,术顺。
2021.04.08-2021.10.10予“阿帕替尼 0.75g 口服 qd”靶向治疗+“卡瑞利珠单抗 200mg q3w”配合“氟尿嘧啶 3.4g+奥沙利铂 125mg+左亚叶酸钙 300mg+紫杉醇 200mg”方案全身化疗12周期,过程顺利。
疗效评估
影像学:持续部分缓解(PR)
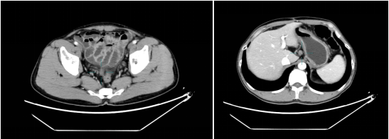
2021.05.20胸部CT示:双肺多发小结节;
腹部CT示:胃癌术后,腹膜不规则增厚转移较前退缩(1.4cm×0.9cm)。
2021.07.02胸部CT示:双肺多发小结节,与前相仿;
腹部CT示:1. 胃癌术后,胃壁增厚较前变薄、腹膜转移灶较前略退缩(1.2cm×0.9cm),盆腔少量积液;2. 肝胃间隙稍大淋巴结(1.3×1.4cm)。
2021.08.16 胸部CT示:双肺多发小结节,与前相仿;
腹部CT示:1. 胃癌术后,胃壁增厚较前变薄、腹膜转移灶(1.2×0.9cm),与前相仿;2. 肝胃间隙稍大淋巴结(1.3×1.4cm),与前相仿。
2021.10.18 胸部CT示:双肺多发小结节与前相仿;
腹部CT示:1. 胃癌术后,腹膜转移灶(1.2×0.9cm),与前相仿;2. 肝胃间隙稍大淋巴结(1.3×1.4cm),与前相仿。
2022.01.05 胸部CT示:双肺多发小结节与前相仿;
腹部CT示:1. 胃癌术后,腹膜转移灶(1.2×0.9cm),与前相仿;2. 肝胃间隙稍大淋巴结(1.3×1.4cm),与前相仿。
2022.03.08 胸部CT示:双肺多发小结节与前相仿;
腹部CT示:1. 胃癌术后,腹膜转移灶(1.3×0.9cm),与前相仿;2. 肝胃间隙稍大淋巴结(1.3×1.0cm),与前相仿。
2022.05.10胸部CT示:双肺多发小结节,与前相仿;
腹部CT示:1. 胃癌术后改变,并腹膜转移灶较前明显;2. 右横膈区、腹腔及腹膜后多发淋巴结较前增大(1.1cm*1.5cm),并继发肝内胆管扩张、胆囊增大。
二线治疗
2022.05.14-2022.12.14予“氟尿嘧啶3.5g+奥沙利铂128mg+左亚叶酸钙300mg+紫杉醇200mg”全身化疗11周期,配合“替雷利珠单抗”免疫治疗,过程顺利。
疗效评估
影像学:2023.01.10复查CT,疗效评价:PD。
三线治疗
入组临床研究:“评价SYSA1801注射液治疗CLDN18.2表达晚期恶性实体瘤患者的安全性、耐受性、药代动力学特征、免疫原性和初步疗效的I期临床试验”(方案编号:SYSA1801-CSP-001,版本号:V1.0,版本日期:2021年10月22日)”
2023.3.10-7.13给予“SYSA1801注射液,q3w”治疗5周期,过程顺利。
疗效评估
影像学:2023.07.18复查CT,疗效评价:PD。
四线治疗
2023.08.25-2023.09.15给予“syONC-392注射液 440mg ivgtt d1”免疫治疗2周期,过程顺利。
病例总结
本次分享的是一例胃癌伴腹膜转移患者,明确诊断后行胃空肠吻合术(旁路)+空肠空肠吻合术+腹壁病损切除术治疗。术后一线治疗应用阿帕替尼+卡瑞利珠单抗+FLOT方案化疗12周期,影像学检查示患者胃壁增厚较前变薄、腹膜转移灶较前退缩,疗效评估持续PR。13个月后复查提示转移淋巴结增大,二线治疗行替雷利珠单抗+FLOT方案化疗11周期,疗效评估疾病进展(PD)。三线治疗入组临床研究接受免疫治疗,评效PD。后续患者继续接受四线免疫治疗至今。
林榕波 教授
福建省肿瘤医院肿瘤内科主任医师
中国抗癌协会肿瘤整体评估专业委员会副主任委员
福建省抗癌协会癌痛专委会主任委员
CSCO胃癌专家委员会委员;CSCO胃癌诊疗指南执笔人
中国抗癌协会肿瘤靶向治疗专委会常委
中国抗癌协会中西整合神经内分泌肿瘤专委会常委
中国抗癌协会癌症康复和姑息治疗专委会委员
中国抗癌协会中西医整合肿瘤专委会委员
中国医疗保健国际交流促进会肿瘤舒缓治疗学分会常委
中国康复医学会慢病康复专委会委员
福建省抗癌协会肿瘤心理专委会副主任委员
福建省中西医结合学会消化系统疾病学分会委员会副主任委员
福建省抗癌协会中西医整合肿瘤专委会常委
福建省抗癌协会肿瘤内科专业委员会委员
福建省肿瘤转化医学重点实验室成员
2012-2015年援博茨瓦纳公主玛丽娜医院
免疫联合模式已成大势所趋 提升基石性化疗疗效亟待攻坚
胃癌作为一种预后极差的难治性肿瘤,每年全球死亡病例数在所有癌症类型中排名第三,而亚洲的胃癌发病率和死亡率分别高达75.3%和74.8%,中国胃癌治疗也存在大量未被满足的治疗需求。
以晚期胃癌一线为例,包括FLOT、XELOX、SOX在内的多种化疗方案长期以来是广大患者的基石性手段。直至2021年,CheckMate-649研究成果的公布标志着晚期胃癌一线治疗正式走进免疫时代,塑造了“免疫+化疗”的全新治疗格局,显著改善患者预后结局。尽管如此,着眼真实临床实践来看,仍有较大比例患者受限于当地医疗条件、药物可及性等因素,依旧采取以单纯化疗为主的治疗方案,生存获益提升有限。基于此,如何进一步优化治疗模式,保障患者生存获益是值得深入探索的攻坚方向。
疗效确切 安全耐受 “阿帕替尼+”模式开拓胃癌一线治疗全新选择
靶向抗血管生成药物阿帕替尼早于2014年即获批晚期或转移性胃或食管胃结合部腺癌三线及以上治疗适应证(无论HER2表达情况),临床使用经验丰富、疗效确切且安全性良好,受到广大临床工作者的青睐与认可。
从机制角度看,阿帕替尼是新一代小分子血管内皮生长因子受体-2(VEGFR-2)酪氨酸激酶抑制剂,也是全球第一个在晚期胃癌治疗中被证实安全有效的小分子抗血管生成靶向药物,其主要作用机制是竞争性结合该受体胞内酪氨酸ATP结合位点,高度选择性地抑制VEGFR-2酪氨酸激酶活性,阻断VEGF结合后的信号传导,从而强效抑制肿瘤血管生成。
基于此,在胃癌领域,阿帕替尼联合基石性化疗能否实现协同增效,提升晚期胃癌患者生存获益是十分值得关注的。近期,上海交通大学医学院附属瑞金医院朱正纲教授牵头开展的SOX联合甲磺酸阿帕替尼和卡瑞利珠单抗用于可切除局部进展期胃、胃食管结合部腺癌围手术期治疗的临床研究(DRAGON-Ⅳ / AHEAD-G208)成果以口头报告形式重磅亮相2023欧洲肿瘤内科学会(ESMO)年会,表明阿帕替尼联合卡瑞利珠单抗与化疗具有良好的治疗反应且安全性和耐受性良好,提示着靶免化联合治疗机制切实可行,有望成为晚期胃癌极具潜力的替代治疗方法。在一线治疗领域,由本中心领衔开展的阿帕替尼联合POF方案(紫杉醇、奥沙利铂、5-FU)一线治疗晚期胃癌的I期研究结果也初步证明,在强化患者管理的前提下,阿帕替尼联合三药化疗表现出了较高的总体有效率,为胃癌一线治疗带来更多有益的启示。
此外,结合本例患者诊疗过程可以发现,一线治疗采用阿帕替尼+卡瑞利珠单抗联合FLOT方案12周期后,患者胃部原发灶以及转移淋巴结均发生明显退缩,疗效评估PR,提示着阿帕替尼联合免疫+化疗具有出色的肿瘤控制效果,超过10个月PFS数据也是明显优于既往单纯化疗的2-3个月,可以说,阿帕替尼联合免疫+化疗的模式具有切实可靠的疗效,潜力十足,可为单纯化疗患者提供一个全新的优效治疗选择。
期待“阿帕替尼+”未来可以继续在胃癌领域大放异彩,破解晚期胃癌治疗困局,为更多患者带来重磅福音与希望。
查看更多