壹生大学

壹生身份认证协议书

本项目是由壹生提供的专业性学术分享,仅面向医疗卫生专业人士。我们将收集您是否是医疗卫生专业人士的信息,仅用于资格认证,不会用于其他用途。壹生作为平台及平台数据的运营者和负责方,负责平台和本专区及用户相关信息搜集和使用的合规和保护。
本协议书仅为了向您说明个人相关信息处理目的,向您单独征求的同意,您已签署的壹生平台《壹生用户服务协议》和《壹生隐私政策》,详见链接:
壹生用户服务协议:
https://apps.medtrib.cn/html/serviceAgreement.html
壹生隐私政策:
https://apps.medtrib.cn/html/p.html
如果您是医疗卫生专业人士,且点击了“同意”,表明您作为壹生的注册用户已授权壹生平台收集您是否是医疗卫生专业人士的信息,可以使用本项服务。
如果您不是医疗卫生专业人士或不同意本说明,请勿点击“同意”,因为本项服务仅面向医疗卫生人士,以及专业性、合规性要求等因素,您将无法使用本项服务。

同意

拒绝

同意

拒绝

知情同意书

同意

不同意并跳过

工作人员正在审核中,
请您耐心等待
审核未通过
重新提交
完善信息
{{ item.question }}
确定
收集问题
{{ item.question }}
确定
您已通过HCP身份认证和信息审核
(
5
s)

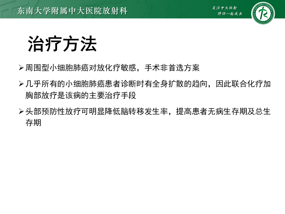
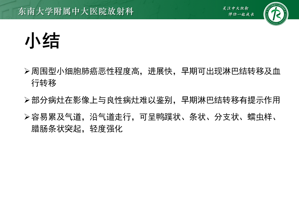
周围型肺小细胞肺癌1例|影像读片

2025-12-31作者:论坛报小璐资讯
非原创

病例1

    • 男,80岁

    • 主诉:发现肺结节7月余,增大2月

    • 现病史:患者7月前发现肺结节,后定期复查,未特殊治疗,2月前发现结节增大伴胸闷气促,无头晕头痛,无胸痛咯血,无发热乏力,无双下肢水肿。现患者为求进一步治疗,至我院门诊就诊,门诊拟“肺结节”收治入院。病程中,患者神清、精神可,睡眠一般,食欲可,二便正常,体重无明显改变

    • 个人史:既往吸烟饮酒史,现已戒烟

    • 实验室检查

      图片



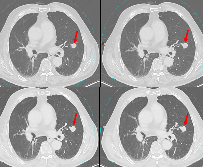
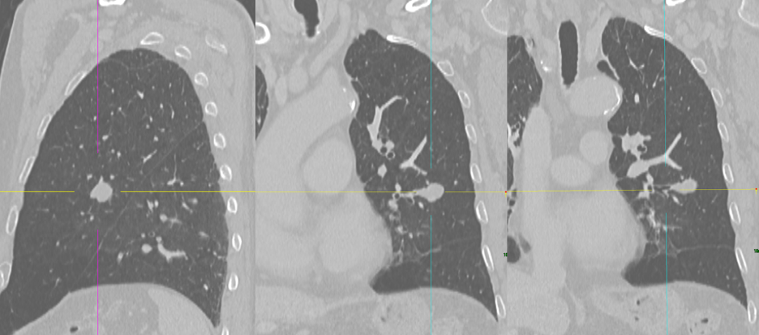
    • 影像学检查:3536585,2025-11-10 胸部CT增强

    影像学表现

    图片
    图片
    图片
    图片
    图片
    图片
    图片
    图片
    图片
    图片
    图片
    图片
    图片
    图片
    图片
    图片
    图片
    图片
    图片
    图片
    图片
    图片
    图片
    图片
    图片
    图片
    图片
    图片
    图片
    图片
    图片
    图片
    图片
    图片
    图片
    图片
    图片
    图片
    图片
    图片
    图片
    图片
    图片
    图片
    图片
    图片
    图片
    图片
    图片
    图片
    图片
    图片
    图片
    图片
    图片
    图片
    图片
    图片
    图片

    图片来源:东南大学附属中大医院放射科



    200 评论

    查看更多