查看更多
密码过期或已经不安全,请修改密码
修改密码
壹生身份认证协议书
同意
拒绝
同意
拒绝
同意
不同意并跳过

【病史摘要】
男性,34岁。浮肿伴尿检异常、血压升高4个月余。

【CT征象】
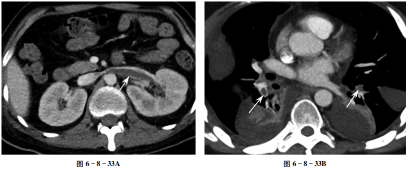
增强扫描髓质期左肾肿大,左肾静脉管腔内可见一无强化的长条状充盈缺损(箭头,图6-8-33A);两下肺动脉分支管腔内见不规则充盈缺损(箭头),两下肺见片状实变影,双侧胸腔积液(图6-8-33B)。
【重要征象】
肾静脉充盈缺损。
【CT拟诊】
①肾静脉血栓,两下肺动脉分支血栓。②肾静脉癌栓。③肾盂内血块。
【最终诊断】
肾静脉血栓,两下肺动脉分支血栓。
【评述】
肾静脉血栓是指肾静脉主干和(或)属支内血栓形成,导致肾静脉部分或全部阻塞而引起一系列病理改变和临床表现。常见原因:一是血液高凝状态,常见有肾病综合征、脱水、妊娠等;二是肾静脉受压,常见邻近病变压迫、血流淤滞;三是静脉壁受损,常见有肿瘤侵犯肾静脉、外伤等。可见单或双肾静脉,累及主干或属支,可伴其他血管(下腔静脉、肺动脉等)血栓。急性肾静脉血栓临床表现为典型“三联征”,即剧烈腹痛或腰痛、肉眼血尿、肾功能突然恶化。慢性肾静脉血栓临床症状常不明显,仅为蛋白尿持续不缓解或增加,常伴镜下血尿,进行性肾功能受损,如血肌酐升高、肾小管功能障碍。左侧多见,可有腹壁静脉和左侧精索静脉曲张。大多数肾静脉血栓患者并存肺栓塞,且肺栓塞可为首发症状。CT静脉成像(CTV)是肾静脉血栓诊断的重要手段。
CT表现
①急性肾静脉血栓:肾外形增大,肾实质强化减低,皮髓质分界不清,肾静脉扩张,内见条带状充盈缺损,可延伸到下腔静脉。②慢性肾静脉血栓:肾静脉纤细或充盈不均匀,可见钙化,肾周可见侧支血管,肾萎缩。③肾静脉属支(精索静脉、卵巢静脉、腰升静脉等)增粗迂曲,肾周“蜘蛛网”样静脉扩张。本例为肾静脉血栓急性期。
鉴别诊断
①肾盂内血块:平扫肾盂内稍高密度影,边缘光整,境界清晰,增强扫描无强化,不超过中线水平。②肾静脉癌栓:常继发于恶性肿瘤,尤其是肾癌;CTV上受累段血管常增粗,管腔内不规则充盈缺损并不均匀强化。
本文摘选自《CT读片指南》

查看更多