查看更多
密码过期或已经不安全,请修改密码
修改密码
壹生身份认证协议书
同意
拒绝
同意
拒绝
同意
不同意并跳过
1) 患者基本情况
47岁女性,因言语不清、走路缓慢四月余就诊。无特殊工作性质,既往史、个人史、家族史及查体无特殊。实验室检查显示巨细胞病毒、风疹病毒、单纯疱疹病毒抗体升高,骨髓造血细胞增生减低,补体C3、C4下降。
2) 影像学检查
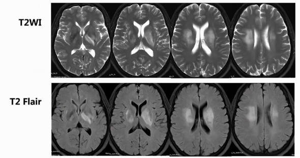
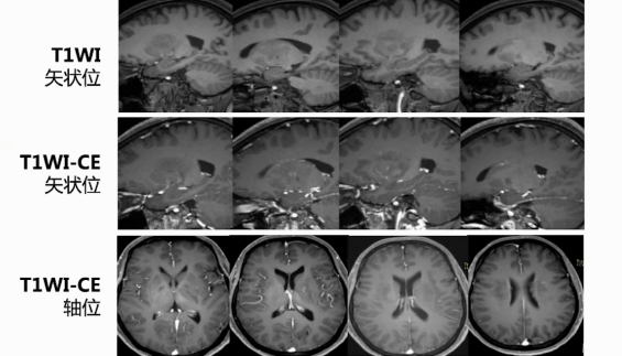
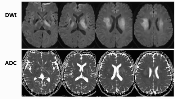
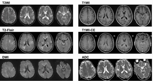
颅脑磁共振:双侧基底节区、放射冠区域片状长T2高信号,累积部位深,无显著占位效应,呈长T1长T2信号。增强后,仅见小斑片状轻度强化影,左侧基底节区及放射冠区域较明显,脑岛区无明显异常强化。DWI信号增高,部分区域ADC信号减低,提示弥散受限。多体素MR波谱扫描多数区域胆碱峰升高,部分体素N - 乙酰天门冬氨酸峰降低。SWI和颅脑MRA扫描未见明显微出血及血管异常。颅脑灌注加权成像显示病灶区域脑血流量CBF、脑血容量CBV轻度升高,达峰时间TTP及平均通过时间MTT稍延迟。
总结:中年女性,病灶大致对称分布,双侧深部区域受累为主,有明显弥散受限,波谱扫描Cho峰升高,血管检查无异常。




3) 鉴别诊断
·弥漫性星形细胞瘤:占位效应和水肿轻,但应有大致肿瘤轮廓,该病例不明显。
·病毒性脑炎:患者虽相关病毒抗体升高,但病毒性脑炎以皮质受累为主,基底节受累少见;且巨细胞病毒多见于免疫缺陷患者,主要围绕脑室、脑室旁分布,可伴视网膜炎症。
·中毒性脑病:患者无中毒病史,且中毒性脑病病灶分布更对称。
·视神经脊髓炎谱系疾病:通常伴有环形强化,该病例无此特征。
·中枢神经系统血管炎:多皮质和皮质下同时受累,伴有多发梗死灶和出血灶,增强后部分皮质强化,此病例血管相关检查未见异常,可排除。
·原发性中枢神经系统淋巴瘤:年龄、病灶分布特点、弥散及波谱等特点支持淋巴瘤诊断,虽增强及灌注扫描不典型,但仍高度怀疑。后续脑活检确诊为弥漫大B细胞淋巴瘤。

4) 随访情况
一月后:病灶呈明显团块样,效应和水肿加重,出现轻度握拳征、局部凹陷脐凹征,增强后左侧基底节区与右侧额顶叶皮层线样结节样强化。

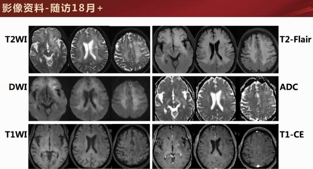
18个月后:经规律治疗,病灶实性区域缩小,出现局部囊变,强化区域呈点状,水肿范围扩大。激素治疗后FDG - PET代谢显像,病灶区域代谢未见明显升高。

1) 患者基本情况
男性,51岁,头晕、行走不稳六个月,加重伴呼吸困难一月就诊。查体认知功能下降,多项神经征阳性,CT显示双肺炎症。
2) 影像学检查
颅脑磁共振可见双侧额顶叶区域椎体束、胼胝体、右侧丘脑及脑干多发斑片状稍高信号,胼胝体压部异常信号影,Flair呈高信号,弥散轻度受限。增强扫描部分强化,灌注成像CBV、CBF稍增高,SWI未见明显出血及顺磁性沉着,MRS见Cho峰升高,NAA峰降低,局部Cho/NAA比值大于2,可见典型脂峰。


3) 分析
病灶累及范围深且相对对称,以双侧顶叶、额叶椎体束、前肢体、右侧丘脑、脑干等区域为主,部位和年龄与淋巴瘤相符,累及胼胝体膝部可见蝶翼征,增强扫描也符合淋巴瘤特征,但未见到典型的明显灌注减低,属不典型特征。



1) 弓形虫感染:单发病灶时,淋巴瘤可能性高于感染;多发病灶时考虑感染可能,感染后易出现出血等征象,可与淋巴瘤鉴别,治疗后需及时随访。
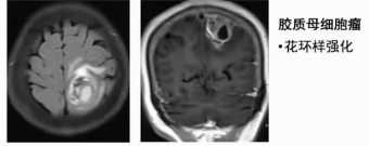
2) 胶质母细胞瘤:有明显占位效应,肿瘤内部多伴出血坏死和囊变,增强后呈花环样强化。
3) 脱髓鞘疾病:灌注较淋巴瘤更低,增强常可见开环征,但要注意淋巴瘤的前哨脱髓鞘病变,鉴别困难时推荐活检。
4) 中枢神经系统血管炎:常同时累及大脑皮质及深部白质区域,伴随多发梗死、出血等病灶,SWI扫描可清晰显示,与淋巴瘤鉴别。
5) 转移瘤:与淋巴瘤的鉴别要点总结在相关表格中,多参数磁共振标准扫描方案有助于提高鉴别效率,必要时活检诊断。

查看更多
专家点评
1) 特征总结:PCNSL影像特征多变,常见于中线区域深部脑区受累,有弥散受限、团块样或环形强化伴脐凹征、握拳征等特点,MRS波谱可能出现脂质峰,灌注多为低灌注。
2) 诊断关键:诊断需综合考虑患者年龄、免疫状态、影像特征及鉴别诊断要点,避免在确诊前使用激素治疗。多参数磁共振标准扫描结合活检,有助于准确诊断。
3) 临床要点:临床医生面对深部脑区病变,尤其是具有上述典型或不典型特征时,应考虑PCNSL可能,及时准确诊断对改善患者预后至关重要。